DYRK4 Antibody - BSA Free

Images

 
Immunocytochemistry/ Immunofluorescence: DYRK4 Antibody [NBP1-89511] - Immunofluorescent staining of human cell line U-251 MG shows localization to vesicles.
Independent Antibodies: Staining of human gastrointestinal, kidney, placenta and testis using Anti-DYRK4 antibody NBP1-89511 (A) shows similar protein distribution across tissues to independent antibody ...read more
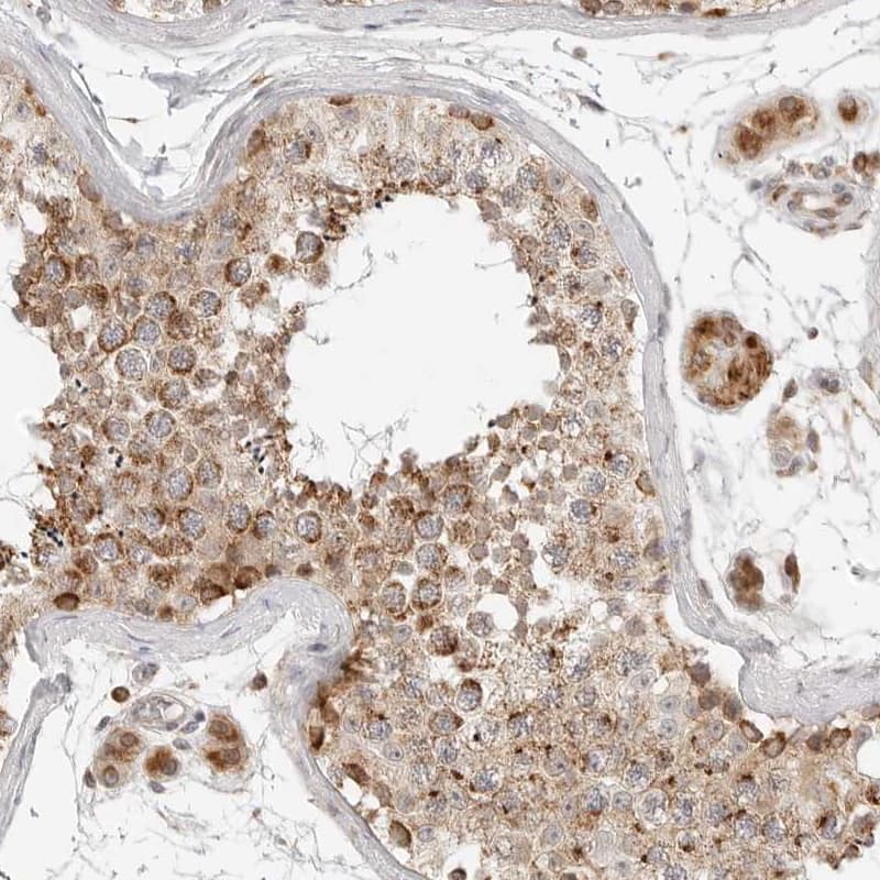
Staining of human testis shows strong cytoplasmic positivity in cells in seminiferous ducts.
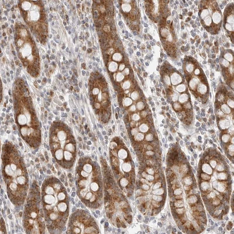
Staining of human duodenum shows strong cytoplasmic positivity in glandular cells.
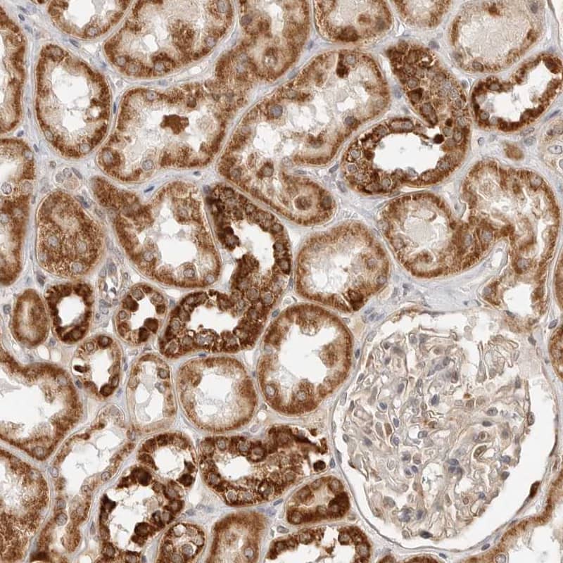
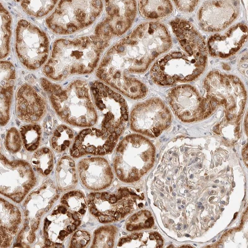
Staining of human kidney shows strong cytoplasmic positivity in cells in tubules.
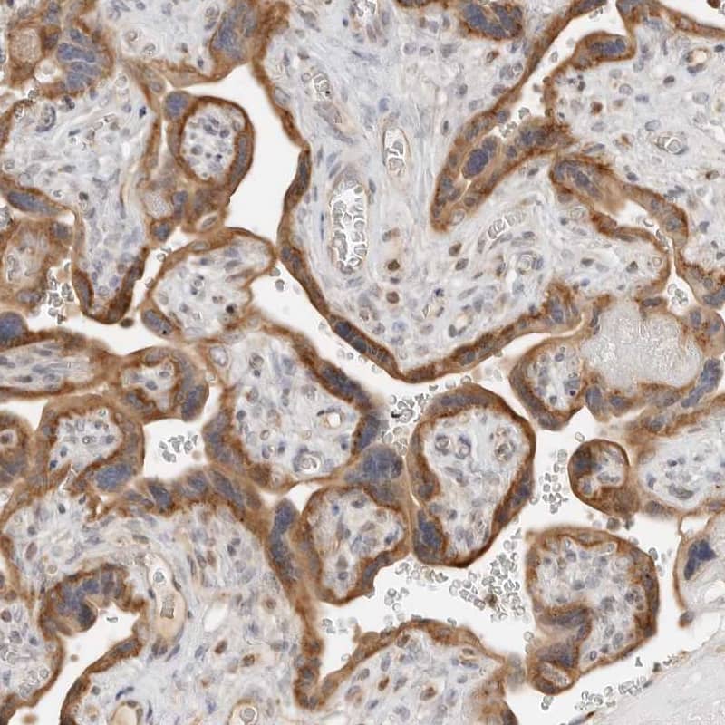
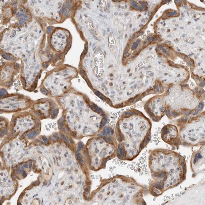
Staining of human placenta shows strong cytoplasmic positivity in trophoblastic cells.
Analysis in human testis tissue.

Product Details

Summary
Reactivity Hu, MuSpecies Glossary
Applications WB, ICC/IF, IHC
Clonality
Polyclonal
Host
Rabbit
Conjugate
Unconjugated
Format
BSA Free
Validated by:
 

Independent Antibodies

       

Order Details

View Available Formulations
Catalog# & Formulation Size Price

DYRK4 Antibody - BSA Free Summary

Description
Novus Biologicals Rabbit DYRK4 Antibody - BSA Free (NBP1-89511) is a polyclonal antibody validated for use in IHC, WB and ICC/IF. All Novus Biologicals antibodies are covered by our 100% guarantee.
Immunogen
This antibody was developed against Recombinant Protein corresponding to amino acids: AELYTGYPLFPGENEVEQLACIMEVLGLPPAGFIQTASRRQTFFDSKGFPKNITNNRGKKRYPDSKDLTMVLKTYDTSFLDFLRRCLVWEP
Predicted Species
Mouse (91%). Backed by our 100% Guarantee.
Isotype
IgG
Clonality
Polyclonal
Host
Rabbit
Gene
DYRK4
Purity
Affinity purified
Innovator's Reward
Test in a species/application not listed above to receive a full credit towards a future purchase.

Applications/Dilutions

Dilutions
  • Immunocytochemistry/ Immunofluorescence 0.25-2 ug/ml
  • Immunohistochemistry 1:50 - 1:200
  • Immunohistochemistry-Paraffin 1:50 - 1:200
  • Western Blot 0.04-0.4 ug/ml
Application Notes
For IHC-Paraffin, HIER pH 6 retrieval is recommended. Immunocytochemistry/Immunofluorescence Fixation Permeabilization: Use PFA/Triton X-100.
Control Peptide
DYRK4 Protein (NBP1-89511PEP)

Reactivity Notes

Immunogen displays the following percentage of sequence identity for non-tested species: Rat (88%)

Packaging, Storage & Formulations

Storage
Store at 4C short term. Aliquot and store at -20C long term. Avoid freeze-thaw cycles.
Buffer
PBS (pH 7.2) and 40% Glycerol
Preservative
0.02% Sodium Azide
Purity
Affinity purified

Alternate Names for DYRK4 Antibody - BSA Free

  • dual specificity tyrosine-phosphorylation-regulated kinase 4
  • dual-specificity tyrosine-(Y)-phosphorylation regulated kinase 4
  • EC 2.7.12
  • EC 2.7.12.1

Background

Dual-specificity kinases, such as DYRK4, play key roles in cell proliferation, survival, and development (Zhang et al., 2005 [PubMed 15607427]).[supplied by OMIM]

Limitations

This product is for research use only and is not approved for use in humans or in clinical diagnosis. Primary Antibodies are guaranteed for 1 year from date of receipt.

Customers Who Viewed This Item Also Viewed...

H00001859-M01
Species: Hu, Mu, Rt
Applications: ELISA, Func, ICC/IF, IHC, IHC-Fr,  IHC-P, WB
MAB5408
Species: Hu, Rt
Applications: IHC, WB
NBP1-33464
Species: Hu, Mu
Applications: ICC/IF, WB
NBP1-92589
Species: Dr, Hu
Applications: ICC/IF, IHC,  IHC-P, WB
AF5409
Species: Hu, Mu, Rt
Applications: WB
NBP1-72042
Species: Hu, Mu, Rt
Applications: ICC/IF, IHC,  IHC-P, PEP-ELISA, WB
NBP1-89396
Species: Hu
Applications: ICC/IF, IHC,  IHC-P, WB
NBP1-82803
Species: Hu
Applications: IHC,  IHC-P, WB
NBP1-77127
Species: Hu, Mu, Rt
Applications: ELISA, ICC/IF, IHC,  IHC-P, WB
NBP1-88927
Species: Hu, Mu
Applications: ICC/IF, IHC,  IHC-P, WB
NBP2-67753
Species: Hu, Mu, Rt
Applications: Flow, ICC/IF, IHC,  IHC-P, IP, WB
AF2940
Species: Hu
Applications: CyTOF-ready, ELISA, Flow, WB

Publications for DYRK4 Antibody (NBP1-89511) (0)

There are no publications for DYRK4 Antibody (NBP1-89511).
By submitting your publication information earn gift cards and discounts for future purchases.

Reviews for DYRK4 Antibody (NBP1-89511) (0)

There are no reviews for DYRK4 Antibody (NBP1-89511). By submitting a review you will receive an Amazon e-Gift Card or Novus Product Discount.
  • Review with no image -- $10/€7/£6/$10 CAD/¥70 Yuan/¥1110 Yen
  • Review with an image -- $25/€18/£15/$25 CAD/¥150 Yuan/¥2500 Yen

Product General Protocols

Find general support by application which include: protocols, troubleshooting, illustrated assays, videos and webinars.

Video Protocols

WB Video Protocol
ICC/IF Video Protocol

FAQs for DYRK4 Antibody (NBP1-89511) (0)

There are no specific FAQs related to this product. Read our general customer & technical service FAQs.

Secondary Antibodies

 

Isotype Controls

Additional DYRK4 Products

Research Areas for DYRK4 Antibody (NBP1-89511)

Find related products by research area.

Blogs on DYRK4

There are no specific blogs for DYRK4, but you can read our latest blog posts.

Customers Who Bought This Also Bought

Contact Information

Product PDFs

Calculators

Concentration Calculator

The concentration calculator allows you to quickly calculate the volume, mass or concentration of your vial. Simply enter your mass, volume, or concentration values for your reagent and the calculator will determine the rest.

=
÷

Review this Product

Be the first to review our DYRK4 Antibody - BSA Free and receive a gift card or discount.

Bioinformatics

Gene Symbol DYRK4