DMAP1 Antibody

Images

 
Western Blot: DMAP1 Antibody [NBP2-03982] - Analysis of DMAP1 in human brain lysate in the 1) absence and 2) presence of immunizing peptide, 3) mouse brain and 4) rat brain using this antibody. 0 ug/ml, 1.0 ug/ml and ...read more
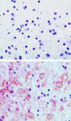
Immunohistochemistry-Paraffin: DMAP1 Antibody [NBP2-03982] - Analysis of DMAP1 in paraffin-embedded formalin-fixed mouse brain tissue using an isotype control (top) and this antibody (bottom) at 5 ug/ml.

Product Details

Summary
Product Discontinued
View other related DMAP1 Primary Antibodies

Order Details


    • Catalog Number
      NBP2-03982
    • Availability
      Product Discontinued

    Can't find what you are looking for? Use our Antibody Concierge Service & we will help you locate your antibody!

    Or feel free to contact us for alternative products.

DMAP1 Antibody Summary

Immunogen
A portion of amino acids 250-300 of human DMAP1 was used as the immunogen.
Isotype
IgG
Clonality
Polyclonal
Host
Rabbit
Gene
DMAP1
Purity
Protein G purified
Innovator's Reward
Test in a species/application not listed above to receive a full credit towards a future purchase.

Applications/Dilutions

Dilutions
  • Immunohistochemistry 1:10-1:500
  • Immunohistochemistry-Paraffin 5 ug/ml
  • Western Blot 1.0-4.0 ug/ml
Application Notes
The approximately 27 kD band seen in brain lysate is also seen in the prebleed and not thought to be relevant.

Reactivity Notes

Immunogen displays the following percentage of sequence identity for non-tested species: Chicken (88%).

Packaging, Storage & Formulations

Storage
Store at 4C short term. Aliquot and store at -20C long term. Avoid freeze-thaw cycles.
Buffer
0.2 ml PBS and 0.05% BSA
Preservative
0.05% Sodium Azide
Concentration
0.5 mg/ml
Purity
Protein G purified

Alternate Names for DMAP1 Antibody

  • DNA methyltransferase 1 associated protein 1
  • DNA methyltransferase 1-associated protein 1
  • DNMAP1DNMT1-associated protein 1
  • DNMT1 associated protein 1
  • DNMTAP1
  • EAF2
  • FLJ11543
  • KIAA1425DKFZp686L09142
  • MEAF2
  • SWC4

Background

DNA methyltransferase 1-associated protein 1 (DMAP1) is involved in the repression or activation of transcription. The encoded protein can independently repress transcription and is targeted to replication foci throughout S phase by interacting directly with the N-terminus of DNA methyltransferase 1. During late S phase, histone deacetylase 2 is added to this complex, providing a means to deacetylate histones in transcriptionally inactive heterochromatin following replication. The protein also specifically potentiates DAXX-mediated repression of glucocorticoid receptor-dependent transcription. The encoded protein is also a component of the nucleosome acetyltransferase of H4 complex and interacts with the transcriptional corepressor tumor susceptibility gene 101 and the pro-apoptotic death-associated protein 6, among others. DMAP1 is found in a wide variety of living organisms from yeasts to humans. The human DMAP1 gene is localized on chromosome 1p34.

Limitations

This product is for research use only and is not approved for use in humans or in clinical diagnosis. Primary Antibodies are guaranteed for 1 year from date of receipt.

Customers Who Viewed This Item Also Viewed...

NB100-56519
Species: Bv, Hu, Mu, Po, Rt, Sh
Applications: ChIP, CyTOF-ready, Flow-IC, Flow, ICC/IF, IHC-FrFl, IHC, IHC-Fr,  IHC-P, IP, KD, Simple Western, WB
NBP1-84063
Species: Hu
Applications: ChIP-EXO-SEQ, IHC,  IHC-P
NB300-516
Species: Hu, Mu, Rt
Applications: ChIP, IHC,  IHC-P, KD, Simple Western, WB
NBP3-46605
Species: Hu, Mu, Rt
Applications: ELISA, ICC/IF, IHC, IP, WB
NBP1-85482
Species: Hu
Applications: ICC/IF, IHC,  IHC-P, WB
NBP2-13955
Species: Hu
Applications: IHC,  IHC-P, WB
NB200-103
Species: Hu, Mu, Rt, Xp(-), Ye
Applications: CyTOF-ready, ELISA, Flow-IC, Flow, ICC/IF, IHC, IHC-Fr,  IHC-P, IP, WB
NB100-56326
Species: Hu, Mu
Applications: ICC/IF, IHC,  IHC-P, WB
NB120-13888
Species: Hu, Mu, Rt
Applications: ChIP, ChIP, CyTOF-ready, Flow, ICC/IF, IHC-WhMt, IHC, IHC-Fr,  IHC-P, KD, KO, WB
NB500-106
Species: Ch, Dr, Fi, Hu, Mar, Mu, Po, Pm, Rb, Rt, Ye, Ze
Applications: ChIP, ChIP, ELISA, Flow, ICC/IF, IHC-FrFl, IHC, IHC-Fr,  IHC-P, IP, Simple Western, WB
NB100-56340
Species: Hu, Mu, Rt
Applications: IHC, IHC-Fr,  IHC-P, KO, Simple Western, WB
NBP2-07996
Species: Hu
Applications: WB
NBP2-52486
Species: Hu
Applications: CyTOF-ready, ELISA, Flow, ICC/IF, IHC,  IHC-P, WB
NB100-1307
Species: Hu, Mu, Po, Rt
Applications: IHC,  IHC-P, PEP-ELISA, WB
DKK300
Species: Hu
Applications: ELISA
NBP2-03982
Species: Hu, Mu, Rt, Bv, Ca, Pm
Applications: WB, IHC
Supplier Logo

Publications for DMAP1 Antibody (NBP2-03982) (0)

There are no publications for DMAP1 Antibody (NBP2-03982).
By submitting your publication information earn gift cards and discounts for future purchases.

Reviews for DMAP1 Antibody (NBP2-03982) (0)

There are no reviews for DMAP1 Antibody (NBP2-03982). By submitting a review you will receive an Amazon e-Gift Card or Novus Product Discount.
  • Review with no image -- $10/€7/£6/$10 CAD/¥70 Yuan/¥1110 Yen
  • Review with an image -- $25/€18/£15/$25 CAD/¥150 Yuan/¥2500 Yen

Product General Protocols

Find general support by application which include: protocols, troubleshooting, illustrated assays, videos and webinars.

Video Protocols

WB Video Protocol

FAQs for DMAP1 Antibody (NBP2-03982) (0)

There are no specific FAQs related to this product. Read our general customer & technical service FAQs.

Secondary Antibodies

 

Isotype Controls

Additional DMAP1 Products

Research Areas for DMAP1 Antibody (NBP2-03982)

Find related products by research area.

Blogs on DMAP1

There are no specific blogs for DMAP1, but you can read our latest blog posts.

Contact Information

Product PDFs

Calculators

Concentration Calculator

The concentration calculator allows you to quickly calculate the volume, mass or concentration of your vial. Simply enter your mass, volume, or concentration values for your reagent and the calculator will determine the rest.

=
÷

Review this Product

Be the first to review our DMAP1 Antibody and receive a gift card or discount.

Bioinformatics

Gene Symbol DMAP1
Uniprot