Desmoglein-3 Antibody (5G11) - Azide and BSA Free

Images

 
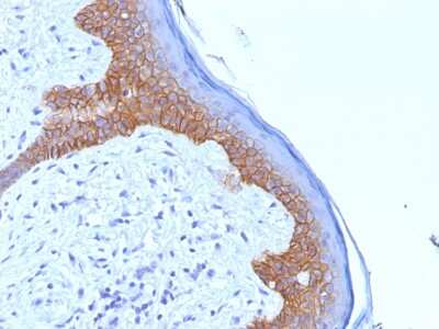
Immunohistochemistry-Paraffin: Desmoglein-3 Antibody (5G11) - Azide and BSA Free [NBP3-08408] - Formalin-fixed, paraffin-embedded human Skin stained with Desmoglein-3 Monoclonal Antibody (5G11).

Product Details

Summary
Reactivity HuSpecies Glossary
Applications WB, Flow, ICC/IF, IHC
Clone
5G11
Clonality
Monoclonal
Host
Mouse
Conjugate
Unconjugated
Format
Azide and BSA Free
Concentration
1 mg/ml

Order Details

Desmoglein-3 Antibody (5G11) - Azide and BSA Free Summary

Description
1.0 mg/ml of antibody purified from Bioreactor Concentrate by Protein A/G. Prepared in 10mM PBS WITHOUT BSA & azide. Also available at 200 ug/ml WITH BSA & azide (NBP3-07872).

Antibody with azide - store at 2 to 8C. Antibody without azide - store at -20 to -80C.
Immunogen
Recombinant human Desmoglein-3 extracellular protein fragment (Uniprot: P32926)
Localization
Cell surface
Marker
Squamous Cell Marker
Specificity
Recognizes a protein of 130kDa, identified as Desmoglein-3 (DSG3). This monoclonal antibody is highly specific to Desmoglein-3 and does not cross-react with other members of the Desmoglein-family. DSG3 is a calcium-binding transmembrane glycoprotein component of desmosomes in vertebrate epithelial cells. Desmosomes are cell-cell junctions between epithelial, myocardial, and certain other cell types. Currently, three desmoglein subfamily members are identified and all are members of the cadherin cell adhesion molecule superfamily.
Isotype
IgG1 Kappa
Clonality
Monoclonal
Host
Mouse
Gene
DSG3
Purity
Protein A or G purified
Innovator's Reward
Test in a species/application not listed above to receive a full credit towards a future purchase.

Applications/Dilutions

Dilutions
  • Flow Cytometry 1-2 ug/million cells
  • Immunocytochemistry/ Immunofluorescence 1-2 ug/ml
  • Immunohistochemistry
  • Immunohistochemistry-Paraffin
  • Western Blot 1-2 ug/ml
Application Notes
Immunohistochemistry Formalin-fixed: 1-2ug/ml for 30 minutes at RT. Staining of formalin-fixed tissues requires heating tissue sections in 10mM Tris with 1mM EDTA, pH 9.0, for 45 min at 95C followed by cooling at RT for 20 minutes.
Theoretical MW
130 kDa.
Disclaimer note: The observed molecular weight of the protein may vary from the listed predicted molecular weight due to post translational modifications, post translation cleavages, relative charges, and other experimental factors.

Packaging, Storage & Formulations

Storage
Store at -20 to -80C. Avoid freeze-thaw cycles.
Buffer
10 mM PBS
Preservative
No Preservative
Concentration
1 mg/ml
Purity
Protein A or G purified

Alternate Names for Desmoglein-3 Antibody (5G11) - Azide and BSA Free

  • Cadherin family member 6
  • CDHF6
  • CDHF6130-kD pemphigus vulgaris antigen
  • desmoglein 3 (pemphigus vulgaris antigen)
  • desmoglein 3
  • Desmoglein3
  • Desmoglein-3
  • DKFZp686P23184,130 kDa pemphigus vulgaris antigen
  • DSG3
  • pemphigus vulgaris antigen
  • PVA

Background

Desmoglein 3 is a calcium-binding transmembrane glycoprotein component of desmosomes in vertebrate epithelial cells. Currently, three desmoglein subfamily members have been identified and all are members of the cadherin cell adhesion molecule superfamily. These desmoglein gene family members are located in a cluster on chromosome 18. This protein has been identified as the autoantigen of the autoimmune skin blistering disease pemphigus vulgaris.

Limitations

This product is for research use only and is not approved for use in humans or in clinical diagnosis. Primary Antibodies are guaranteed for 1 year from date of receipt.

Customers Who Viewed This Item Also Viewed...

AF944
Species: Hu
Applications: IHC, WB
MAB7265
Species: Mu
Applications: IHC, WB
AF947
Species: Hu
Applications: Simple Western, WB
NBP2-48836
Species: Ca, Hu
Applications: ICC/IF, IHC,  IHC-P
AF748
Species: Hu, Mu
Applications: CyTOF-ready, Dual ISH-IHC, Flow, ICC, IHC, Simple Western, WB
MAB1455
Species: Hu
Applications: CyTOF-ready, Dual ISH-IHC, ICC, IHC, ICFlow, Simple Western, WB
AF7490
Species: Mu
Applications: IHC
NBP2-13795
Species: Hu
Applications: IHC,  IHC-P
NBP1-89946
Species: Hu
Applications: ICC/IF, IHC,  IHC-P
6507-IL/CF
Species: Hu
Applications: BA
NBP1-88099
Species: Hu
Applications: IHC,  IHC-P, Simple Western, WB
NBP1-91800
Species: Hu
Applications: IHC,  IHC-P, WB
NBP2-34270
Species: Hu, Mu, Rt
Applications: Flow, ICC/IF, IHC, IHC-Fr,  IHC-P, Simple Western
NB200-540
Species: Ec, Mu
Applications: CyTOF-ready, Flow-IC, Flow, IA, ICC/IF, IHC, IHC-Fr,  IHC-P, IP
NBP2-92546
Species: Hu, Mu, Rt
Applications: ELISA, ICC/IF, IHC, WB
NBP2-43666
Species: Hu, Rt
Applications: ICC/IF, IHC,  IHC-P, WB
AF960
Species: Hu
Applications: CyTOF-ready, Flow, ICC, IHC, Simple Western, WB
NBP3-08408
Species: Hu
Applications: WB, Flow, ICC/IF, IHC

Publications for Desmoglein-3 Antibody (NBP3-08408) (0)

There are no publications for Desmoglein-3 Antibody (NBP3-08408).
By submitting your publication information earn gift cards and discounts for future purchases.

Reviews for Desmoglein-3 Antibody (NBP3-08408) (0)

There are no reviews for Desmoglein-3 Antibody (NBP3-08408). By submitting a review you will receive an Amazon e-Gift Card or Novus Product Discount.
  • Review with no image -- $10/€7/£6/$10 CAD/¥70 Yuan/¥1110 Yen
  • Review with an image -- $25/€18/£15/$25 CAD/¥150 Yuan/¥2500 Yen

Product General Protocols

Find general support by application which include: protocols, troubleshooting, illustrated assays, videos and webinars.

Video Protocols

WB Video Protocol
ICC/IF Video Protocol

FAQs for Desmoglein-3 Antibody (NBP3-08408) (0)

There are no specific FAQs related to this product. Read our general customer & technical service FAQs.

Secondary Antibodies

 

Isotype Controls

Additional Desmoglein-3 Products

Research Areas for Desmoglein-3 Antibody (NBP3-08408)

Find related products by research area.

Blogs on Desmoglein-3.

Epithelial-Mesenchymal Transition (EMT) Markers
Epithelial-Mesenchymal Transition (EMT) is the trans-differentiation of stationary epithelial cells into motile mesenchymal cells. During EMT, epithelial cells lose their junctions and apical-basal polarity, reorganize their cytoskeleton, undergo a...  Read full blog post.

Customers Who Bought This Also Bought

Contact Information

Product PDFs

Calculators

Concentration Calculator

The concentration calculator allows you to quickly calculate the volume, mass or concentration of your vial. Simply enter your mass, volume, or concentration values for your reagent and the calculator will determine the rest.

=
÷

Review this Product

Be the first to review our Desmoglein-3 Antibody (5G11) - Azide and BSA Free and receive a gift card or discount.

Bioinformatics

Gene Symbol DSG3