CSE1L/CAS/Exportin-2 Antibody (JU34-33)

Images

 
Western Blot: CSE1L/CAS/Exportin-2 Antibody (JU34-33) [NBP2-75451] - Analysis of Cellular Apoptosis Susceptibility on different lysates using anti-Cellular Apoptosis Susceptibility antibody at 1/500 dilution.Positive ...read more
Immunocytochemistry/ Immunofluorescence: CSE1L/CAS/Exportin-2 Antibody (JU34-33) [NBP2-75451] - Staining Cellular Apoptosis Susceptibility in SH-SY5Y cells (green). The nuclear counter stain is DAPI (blue). Cells were ...read more
Immunohistochemistry-Paraffin: CSE1L/CAS/Exportin-2 Antibody (JU34-33) [NBP2-75451] - Analysis of paraffin-embedded mouse testis tissue using anti-Cellular Apoptosis Susceptibility antibody. Counter stained with ...read more
Flow Cytometry: CSE1L/CAS/Exportin-2 Antibody (JU34-33) [NBP2-75451] - Analysis of LOVO cells with Cellular Apoptosis Susceptibility antibody at 1/100 dilution (red) compared with an unlabelled control (cells without ...read more
Immunocytochemistry/ Immunofluorescence: CSE1L/CAS/Exportin-2 Antibody (JU34-33) [NBP2-75451] - Staining Cellular Apoptosis Susceptibility in LOVO cells (green). The nuclear counter stain is DAPI (blue). Cells were ...read more
Immunocytochemistry/ Immunofluorescence: CSE1L/CAS/Exportin-2 Antibody (JU34-33) [NBP2-75451] - Staining Cellular Apoptosis Susceptibility in PC-3M cells (green). The nuclear counter stain is DAPI (blue). Cells were ...read more
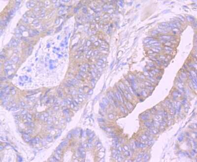
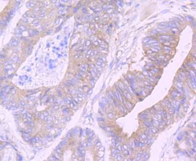
Immunohistochemistry-Paraffin: CSE1L/CAS/Exportin-2 Antibody (JU34-33) [NBP2-75451] - Analysis of paraffin-embedded human colon cancer tissue using anti-Cellular Apoptosis Susceptibility antibody. Counter stained with ...read more

Product Details

Summary
Product Discontinued
View other related CSE1L/CAS/Exportin-2 Primary Antibodies

Order Details


    • Catalog Number
      NBP2-75451
    • Availability
      Product Discontinued

    Can't find what you are looking for? Use our Antibody Concierge Service & we will help you locate your antibody!

    Or feel free to contact us for alternative products.

CSE1L/CAS/Exportin-2 Antibody (JU34-33) Summary

Additional Information
Recombinant Monoclonal Antibody.
Immunogen
Recombinant protein within Human CSE1L/CAS/Exportin-2 aa 860-971 / 971. (SwissProt: P55060 Human; SwissProt: Q9ERK4 Mouse)
Localization
Cytoplasm. Nucleus.
Isotype
IgG
Clonality
Monoclonal
Host
Rabbit
Gene
CSE1L
Purity
Protein A purified
Innovator's Reward
Test in a species/application not listed above to receive a full credit towards a future purchase.

Applications/Dilutions

Dilutions
  • Flow Cytometry 1:50-1:100
  • Immunocytochemistry/ Immunofluorescence 1:50-1:200
  • Immunohistochemistry
  • Immunohistochemistry-Paraffin 1:50-1:200
  • Western Blot 1:500-1:1000
Theoretical MW
110 kDa.
Disclaimer note: The observed molecular weight of the protein may vary from the listed predicted molecular weight due to post translational modifications, post translation cleavages, relative charges, and other experimental factors.
Publications
Read Publication using
NBP2-75451 in the following applications:

  • WB
    1 publication

Packaging, Storage & Formulations

Storage
Store at 4C short term. Aliquot and store at -20C long term. Avoid freeze-thaw cycles.
Buffer
TBS (pH7.4), 0.05% BSA, 40% Glycerol
Preservative
0.05% Sodium Azide
Concentration
1 mg/ml
Purity
Protein A purified

Alternate Names for CSE1L/CAS/Exportin-2 Antibody (JU34-33)

  • CAS
  • CASMGC117283
  • Cellular apoptosis susceptibility protein
  • chromosome segregation 1 (yeast homolog)-like
  • Chromosome segregation 1-like protein
  • CSE1 chromosome segregation 1-like (yeast)
  • CSE1
  • CSE1L
  • exp2
  • exportin-2
  • Importin-alpha re-exporter
  • MGC130037
  • XPO2
  • XPO2MGC130036

Background

Proteins that carry a nuclear localization signal (NLS) are transported into the nucleus by the importin-alpha/beta heterodimer. Importin-alpha binds the NLS, while importin-beta mediates translocation through the nuclear pore complex. After translocation, RanGTP binds importin-beta and displaces importin-alpha. Importin-alpha must then be returned to the cytoplasm, leaving the NLS protein behind. The protein encoded by this gene binds strongly to NLS-free importin-alpha, and this binding is released in the cytoplasm by the combined action of RANBP1 and RANGAP1. In addition, the encoded protein may play a role both in apoptosis and in cell proliferation.

Limitations

This product is for research use only and is not approved for use in humans or in clinical diagnosis. Primary Antibodies are guaranteed for 1 year from date of receipt.

Customers Who Viewed This Item Also Viewed...

NBP2-34594
Species: Hu, Pm
Applications: CyTOF-ready, Flow, ICC/IF, IHC,  IHC-P
AF4478
Species: Hu
Applications: IHC, WB
NBP3-41306
Species: Hu, Mu, Rt
Applications: WB
NBP2-67327
Species: Hu, Mu, Rt
Applications: Flow, ICC/IF, IHC,  IHC-P, IP, WB
NBP2-00532
Species: Ca, Hu, Pm, Mu, Rt
Applications: Flow, ICC/IF, IHC,  IHC-P, WB
NBP1-82455
Species: Hu
Applications: ICC/IF, IHC,  IHC-P, WB
NBP3-38210
Species: Hu, Mu, Rt
Applications: ELISA, ICC/IF, IHC,  IHC-P, WB
NBP2-38206
Species: Hu
Applications: IHC,  IHC-P, KD, WB
AF2685
Species: Hu
Applications: IHC, Simple Western, WB
AF4259
Species: Hu, Mu, Rt
Applications: ICC, Simple Western, WB
MAB6210
Species: Hu
Applications: Simple Western, WB
NBP2-37568
Species: Hu
Applications: ELISA, Flow, ICC/IF, IHC,  IHC-P, WB
NB100-1699
Species: Hu, Mu, Rt
Applications: ELISA, ICC/IF, IHC,  IHC-P, IP, WB
MAB1417
Species: Bv, Hu, Mu
Applications: ICC, IHC
NB200-103
Species: Hu, Mu, Rt, Xp(-), Ye
Applications: CyTOF-ready, ELISA, Flow-IC, Flow, ICC/IF, IHC, IHC-Fr,  IHC-P, IP, WB
MAB1455
Species: Hu
Applications: CyTOF-ready, Dual ISH-IHC, ICC, IHC, ICFlow, Simple Western, WB
NBP1-31329
Species: Hu, Mu, Rt
Applications: ICC/IF, IHC, IHC-Fr,  IHC-P, WB

Publications for CSE1L/CAS/Exportin-2 Antibody (NBP2-75451)(1)

We have publications tested in 1 confirmed species: Human.

We have publications tested in 1 application: WB.


Filter By Application
WB
(1)
All Applications
Filter By Species
Human
(1)
All Species

Reviews for CSE1L/CAS/Exportin-2 Antibody (NBP2-75451) (0)

There are no reviews for CSE1L/CAS/Exportin-2 Antibody (NBP2-75451). By submitting a review you will receive an Amazon e-Gift Card or Novus Product Discount.
  • Review with no image -- $10/€7/£6/$10 CAD/¥70 Yuan/¥1110 Yen
  • Review with an image -- $25/€18/£15/$25 CAD/¥150 Yuan/¥2500 Yen

Product General Protocols

Find general support by application which include: protocols, troubleshooting, illustrated assays, videos and webinars.

Video Protocols

WB Video Protocol
ICC/IF Video Protocol

FAQs for CSE1L/CAS/Exportin-2 Antibody (NBP2-75451) (0)

There are no specific FAQs related to this product. Read our general customer & technical service FAQs.

Secondary Antibodies

 

Isotype Controls

Additional CSE1L/CAS/Exportin-2 Products

Research Areas for CSE1L/CAS/Exportin-2 Antibody (NBP2-75451)

Find related products by research area.

Blogs on CSE1L/CAS/Exportin-2

There are no specific blogs for CSE1L/CAS/Exportin-2, but you can read our latest blog posts.

Contact Information

Product PDFs

Calculators

Concentration Calculator

The concentration calculator allows you to quickly calculate the volume, mass or concentration of your vial. Simply enter your mass, volume, or concentration values for your reagent and the calculator will determine the rest.

=
÷

Review this Product

Be the first to review our CSE1L/CAS/Exportin-2 Antibody (JU34-33) and receive a gift card or discount.

Bioinformatics

Gene Symbol CSE1L