CLCA2 Antibody

Images

 
Orthogonal Strategies: Immunohistochemistry-Paraffin: CLCA2 Antibody [NBP2-33482] - Analysis in human esophagus and stomach tissues. Corresponding CLCA2 RNA-seq data are presented for the same tissues.
Immunocytochemistry/ Immunofluorescence: CLCA2 Antibody [NBP2-33482] - Staining of human cell line HaCaT shows localization to nucleus & cell junctions. Antibody staining is shown in green.
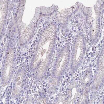
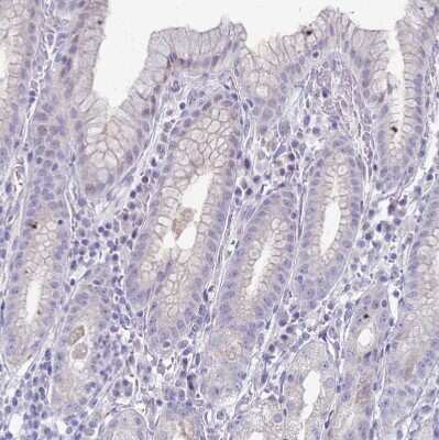
Immunohistochemistry-Paraffin: CLCA2 Antibody [NBP2-33482] - Staining of human stomach shows no positivity in glandular cells as expected.
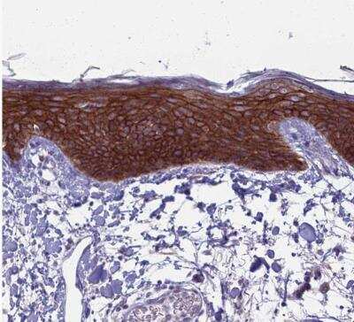
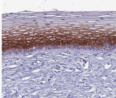
Immunohistochemistry-Paraffin: CLCA2 Antibody [NBP2-33482] - Staining of human skin shows strong membranous positivity in squamous epithelial cells.
Immunohistochemistry-Paraffin: CLCA2 Antibody [NBP2-33482] - Staining of human cervix, uterine shows strong membranous positivity in squamous epithelial cells.
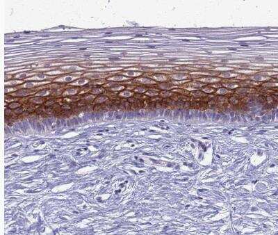
Immunohistochemistry-Paraffin: CLCA2 Antibody [NBP2-33482] - Staining of human esophagus shows strong membranous positivity in squamous epithelial cells.
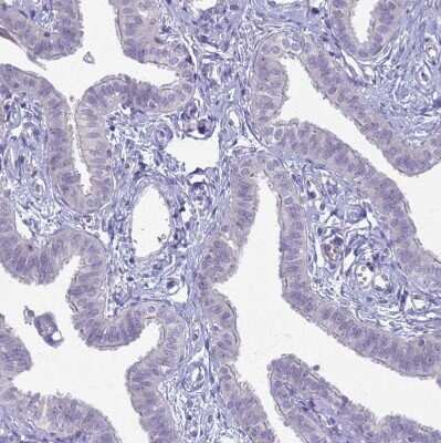
Immunohistochemistry-Paraffin: CLCA2 Antibody [NBP2-33482] - Staining of human Fallopian tube shows no positivity in glandular cells as expected.

Product Details

Summary
Product Discontinued
View other related CLCA2 Primary Antibodies
Validated by:
       

Orthogonal Strategies

 

Order Details


    • Catalog Number
      NBP2-33482
    • Availability
      Product Discontinued

    Can't find what you are looking for? Use our Antibody Concierge Service & we will help you locate your antibody!

    Or feel free to contact us for alternative products.

CLCA2 Antibody Summary

Immunogen
This antibody was developed against a recombinant protein corresponding to amino acids: EELTLSWTAPGEDFDQGQATSYEIRMSKSLQNIQDDFNNAILVNTSKRNPQQAGIREIFTFSPQISTNGPEHQPNGETHESHRIYVAIRAMDRNSLQSAVSNIAQAPLFIPPNSDPVPARDYLILKGVLTAMGL
Isotype
IgG
Clonality
Polyclonal
Host
Rabbit
Gene
CLCA2
Purity
Immunogen affinity purified
Innovator's Reward
Test in a species/application not listed above to receive a full credit towards a future purchase.

Applications/Dilutions

Dilutions
  • Immunocytochemistry/ Immunofluorescence 0.25-2 ug/ml
  • Immunohistochemistry 1:500 - 1:1000
  • Immunohistochemistry-Paraffin 1:500 - 1:1000
Application Notes
For IHC-Paraffin, HIER pH 6 retrieval is recommended. ICC/IF Fixation Permeabilization: Use PFA/Triton X-100.

Packaging, Storage & Formulations

Storage
Store at 4C short term. Aliquot and store at -20C long term. Avoid freeze-thaw cycles.
Buffer
PBS (pH 7.2) and 40% Glycerol
Preservative
0.02% Sodium Azide
Purity
Immunogen affinity purified

Alternate Names for CLCA2 Antibody

  • CACC
  • CACC3
  • CaCC-3
  • Calcium-activated chloride channel family member 2
  • Calcium-activated chloride channel protein 3
  • calcium-activated chloride channel regulator 2
  • calcium-activated chloride channel-2
  • chloride channel accessory 2
  • chloride channel regulator 2
  • chloride channel, calcium activated, family member 2
  • CLCA family member 2, chloride channel regulator
  • CLCA2
  • CLCRG2
  • FLJ97885
  • hCaCC-3
  • hCLCA2

Limitations

This product is for research use only and is not approved for use in humans or in clinical diagnosis. Primary Antibodies are guaranteed for 1 year from date of receipt.

Customers Who Viewed This Item Also Viewed...

NBP2-46527
Species: Hu, Mu, Rt
Applications: IHC,  IHC-P
NBP2-38869
Species: Hu
Applications: IHC,  IHC-P
NB300-164
Species: Ca, Hu, Mu, Po, Pm, Rt(-)
Applications: Dual ISH-IHC, ICC/IF, IHC, IHC-Fr,  IHC-P, IP, KO, PLA, WB
NBP2-37380
Species: Hu
Applications: CyTOF-ready, ELISA, Flow, IHC,  IHC-P, WB
NB600-232
Species: Hu, Mu
Applications: ChIP, IHC,  IHC-P, IP, WB
3047-CC
Species: Hu
Applications: BA
DPSG10
Species: Hu
Applications: ELISA
NBP1-47492
Species: Pm, Hu
Applications: ChIP, ELISA, ICC/IF, IHC,  IHC-P, WB
AF4928
Species: Hu
Applications: CyTOF-ready, Flow, WB
NBP1-86688
Species: Hu
Applications: IHC,  IHC-P
NBP2-33694
Species: Hu
Applications: ICC/IF, IHC,  IHC-P
NBP2-14081
Species: Hu
Applications: ICC/IF, IHC,  IHC-P
NBP3-12272
Species: Hu, Mu, Pm, Rt
Applications: ELISA, ICC/IF, IHC, IP, WB
NBP1-87991
Species: Hu
Applications: IHC,  IHC-P, WB
H00001181-M01
Species: Hu
Applications: ELISA, KD, S-ELISA, WB
AF3880
Species: Hu
Applications: ICC, WB
NBP2-33482
Species: Hu
Applications: ICC/IF, IHC

Publications for CLCA2 Antibody (NBP2-33482) (0)

There are no publications for CLCA2 Antibody (NBP2-33482).
By submitting your publication information earn gift cards and discounts for future purchases.

Reviews for CLCA2 Antibody (NBP2-33482) (0)

There are no reviews for CLCA2 Antibody (NBP2-33482). By submitting a review you will receive an Amazon e-Gift Card or Novus Product Discount.
  • Review with no image -- $10/€7/£6/$10 CAD/¥70 Yuan/¥1110 Yen
  • Review with an image -- $25/€18/£15/$25 CAD/¥150 Yuan/¥2500 Yen

Product General Protocols

Find general support by application which include: protocols, troubleshooting, illustrated assays, videos and webinars.

Video Protocols

ICC/IF Video Protocol

FAQs for CLCA2 Antibody (NBP2-33482) (0)

There are no specific FAQs related to this product. Read our general customer & technical service FAQs.

Secondary Antibodies

 

Isotype Controls

Additional CLCA2 Products

Array NBP2-33482

Research Areas for CLCA2 Antibody (NBP2-33482)

Find related products by research area.

Blogs on CLCA2

There are no specific blogs for CLCA2, but you can read our latest blog posts.

Contact Information

Product PDFs

Calculators

Concentration Calculator

The concentration calculator allows you to quickly calculate the volume, mass or concentration of your vial. Simply enter your mass, volume, or concentration values for your reagent and the calculator will determine the rest.

=
÷

Review this Product

Be the first to review our CLCA2 Antibody and receive a gift card or discount.

Bioinformatics

Gene Symbol CLCA2
Uniprot