CDKL5 Antibody (CL4888) - Azide and BSA Free

Images

 
Staining of cerebral cortex shows strong cytoplasmic immunoreactivity in neurons.
Staining of skeletal muscle shows absence of positivity in muscle fibers as expected (negative control).
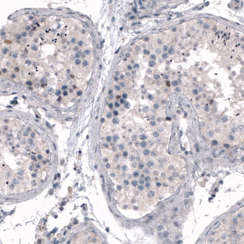
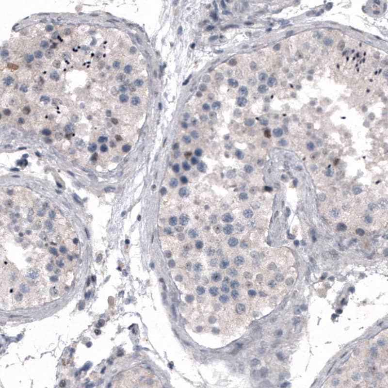
Staining of human testis shows weak nuclear positivity in a subset of cells in seminiferous tubules.
Analysis in human cell line A-549.

Product Details

Summary
Reactivity HuSpecies Glossary
Applications WB, IHC
Clone
CL4888
Clonality
Monoclonal
Host
Mouse
Conjugate
Unconjugated
Format
Azide and BSA Free
Concentration
LYOPH

Order Details

CDKL5 Antibody (CL4888) - Azide and BSA Free Summary

Description
Novus Biologicals Mouse CDKL5 Antibody (CL4888) - Azide and BSA Free (NBP2-61146) is a monoclonal antibody validated for use in IHC and WB. All Novus Biologicals antibodies are covered by our 100% guarantee.
Immunogen
This antibody was generated using a recombinant protein sequence of O76039, with the exact immunogen sequence remaining proprietary.
Isotype
IgG1
Clonality
Monoclonal
Host
Mouse
Gene
CDKL5
Purity
Protein A purified
Innovator's Reward
Test in a species/application not listed above to receive a full credit towards a future purchase.

Applications/Dilutions

Dilutions
  • Immunohistochemistry-Paraffin 1:200 - 1:500
  • Western Blot 1 ug/ml
Application Notes
For IHC-Paraffin, HIER pH 6 retrieval is recommended.

Packaging, Storage & Formulations

Storage
Store at 4C short term. Aliquot and store at -20C long term. Avoid freeze-thaw cycles.
Buffer
Lyophilized from a 0.2 um filtered solution in PBS with Trehalose
Preservative
No Preservative
Concentration
LYOPH
Purity
Protein A purified
Reconstitution Instructions
Centrifuge the vial of lyophilized antibody at 12,000 x g for 20 seconds. Reconstitute by adding sterile, distilled water to achieve a final antibody concentration of 1mg/ml.

Alternate Names for CDKL5 Antibody (CL4888) - Azide and BSA Free

  • CDKL5
  • cyclin-dependent kinase-like 5
  • serine/threonine kinase 9
  • serine/threonine-protein kinase 9
  • STK9

Background

CDKL5 - cyclin-dependent kinase-like 5

Limitations

This product is for research use only and is not approved for use in humans or in clinical diagnosis. Primary Antibodies are guaranteed for 1 year from date of receipt.

Customers Who Viewed This Item Also Viewed...

NB100-56326
Species: Hu, Mu
Applications: ICC/IF, IHC,  IHC-P, WB
AF7068
Species: Hu
Applications: ICC, IHC, WB
NBP2-03688
Species: Ca, Hu, Pm, Mu, Pm, Rt
Applications: ICC/IF, IHC,  IHC-P, WB
NBP1-56594
Species: Hu, Mu
Applications: IHC,  IHC-P, WB
AF5675
Species: Hu, Mu, Rt
Applications: IHC, IP, KO, WB
NBP3-29042
Species: Hu, Mu
Applications: IP, WB
DBD00
Species: Hu
Applications: ELISA
AF1166
Species: Mu
Applications: WB
NB100-56519
Species: Bv, Hu, Mu, Po, Rt, Sh
Applications: ChIP, CyTOF-ready, Flow-IC, Flow, ICC/IF, IHC-FrFl, IHC, IHC-Fr,  IHC-P, IP, KD, Simple Western, WB
MAB27441
Species: Mu
Applications: IHC, WB
6510-CA
Species: Hu
Applications: BA
H00007337-M01
Species: Hu, Mu, Rt
Applications: ELISA, ICC/IF, IHC, IHC-Fr,  IHC-P, KD, WB
H00055777-M01
Species: Hu
Applications: ELISA, ICC/IF, S-ELISA, WB
H00004810-M05
Species: Hu
Applications: ELISA, ICC/IF, WB
NBP2-93603
Species: Hu, Mu
Applications: WB
NBP1-84880
Species: Hu
Applications: ICC/IF, IHC,  IHC-P, WB
NBP1-87257
Species: Hu, Mu
Applications: ICC/IF, IHC,  IHC-P, KD, KO, Simple Western, WB
NBP2-13304
Species: Hu
Applications: ICC/IF, IHC,  IHC-P, WB

Publications for CDKL5 Antibody (NBP3-44087) (0)

There are no publications for CDKL5 Antibody (NBP3-44087).
By submitting your publication information earn gift cards and discounts for future purchases.

Reviews for CDKL5 Antibody (NBP3-44087) (0)

There are no reviews for CDKL5 Antibody (NBP3-44087). By submitting a review you will receive an Amazon e-Gift Card or Novus Product Discount.
  • Review with no image -- $10/€7/£6/$10 CAD/¥70 Yuan/¥1110 Yen
  • Review with an image -- $25/€18/£15/$25 CAD/¥150 Yuan/¥2500 Yen

Product General Protocols

Find general support by application which include: protocols, troubleshooting, illustrated assays, videos and webinars.

Video Protocols

WB Video Protocol

FAQs for CDKL5 Antibody (NBP3-44087) (0)

There are no specific FAQs related to this product. Read our general customer & technical service FAQs.

Secondary Antibodies

 

Isotype Controls

Additional CDKL5 Products

Research Areas for CDKL5 Antibody (NBP3-44087)

Find related products by research area.

Blogs on CDKL5

There are no specific blogs for CDKL5, but you can read our latest blog posts.

Customers Who Bought This Also Bought

Contact Information

Product PDFs

Calculators

Concentration Calculator

The concentration calculator allows you to quickly calculate the volume, mass or concentration of your vial. Simply enter your mass, volume, or concentration values for your reagent and the calculator will determine the rest.

=
÷

Review this Product

Be the first to review our CDKL5 Antibody (CL4888) - Azide and BSA Free and receive a gift card or discount.

Bioinformatics

Gene Symbol CDKL5