CATSPER4 Antibody - BSA Free

Images

 
Immunohistochemistry-Paraffin: CATSPER4 Antibody [NBP1-91751] - Staining of human endometrium shows low expression as expected.
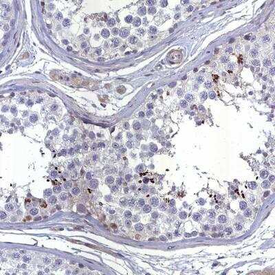
Immunohistochemistry-Paraffin: CATSPER4 Antibody [NBP1-91751] - Staining of human testis shows strong cytoplasmic positivity in spermatids.
Orthogonal Strategies: Analysis in human testis and endometrium tissues using Anti-CATSPER4 antibody. Corresponding CATSPER4 RNA-seq data are presented for the same tissues.
Staining of human testis shows high expression.

Product Details

Summary
Reactivity HuSpecies Glossary
Applications IHC
Clonality
Polyclonal
Host
Rabbit
Conjugate
Unconjugated
Format
BSA Free
Validated by:
       

Orthogonal Strategies

 

Order Details

View Available Formulations
Catalog# & Formulation Size Price

CATSPER4 Antibody - BSA Free Summary

Description
Novus Biologicals Rabbit CATSPER4 Antibody - BSA Free (NBP1-91751) is a polyclonal antibody validated for use in IHC. All Novus Biologicals antibodies are covered by our 100% guarantee.
Immunogen
This antibody was developed against Recombinant Protein corresponding to amino acids: GQQQRITFSETGAEEEEENDQLPLVHCVVARSEKSGLLQEPLAGGPLSNLSENTCDNFCLVLEAIQENLRQYKEIRD
Isotype
IgG
Clonality
Polyclonal
Host
Rabbit
Gene
CATSPER4
Purity
Immunogen affinity purified
Innovator's Reward
Test in a species/application not listed above to receive a full credit towards a future purchase.

Applications/Dilutions

Dilutions
  • Immunohistochemistry 1:500 - 1:1000
  • Immunohistochemistry-Paraffin 1:500 - 1:1000
Application Notes
For IHC-Paraffin, HIER pH 6 retrieval is recommended.
Control Peptide
CATSPER4 Protein (NBP1-91751PEP)

Packaging, Storage & Formulations

Storage
Store at 4C short term. Aliquot and store at -20C long term. Avoid freeze-thaw cycles.
Buffer
PBS (pH 7.2) and 40% Glycerol
Preservative
0.02% Sodium Azide
Purity
Immunogen affinity purified

Alternate Names for CATSPER4 Antibody - BSA Free

  • cation channel sperm-associated protein 4
  • cation channel, sperm associated 4

Background

Voltage-gated calcium channel that plays a central role in sperm cell hyperactivation. Controls calcium entryto mediate the hyperactivated motility, a step needed for sperm motility which is essential late in the preparation ofsperm for fertilization. Activated by intracellular alkalinization

Limitations

This product is for research use only and is not approved for use in humans or in clinical diagnosis. Primary Antibodies are guaranteed for 1 year from date of receipt.

Customers Who Viewed This Item Also Viewed...

NBP3-10367
Species: Hu
Applications: WB
H00347732-Q01
Species: Hu
Applications: ELISA, AP, PA, WB
H00008398-D01P
Species: Hu, Mu
Applications: WB
NBP1-97766
Species: Hu
Applications: PEP-ELISA, WB
NBP1-85407
Species: Hu, Pm, RM
Applications: ICC/IF, IHC,  IHC-P, WB
NBP2-02401
Species: Hu, Mu, Rt
Applications: Flow, ICC/IF, IHC,  IHC-P, WB
NBP1-82036
Species: Hu
Applications: IHC,  IHC-P
NBP1-83086
Species: Hu, Po
Applications: ICC, IHC,  IHC-P, WB
NBP2-93039
Species: Hu, Mu, Rt
Applications: ELISA, ICC/IF, IHC,  IHC-P, WB
NBP3-48449
Species: Hu, Mu
Applications: ICC/IF, IHC,  IHC-P
AF5415
Species: Hu
Applications: ICC, IHC, Simple Western, WB
NBP1-81765
Species: Hu
Applications: IHC,  IHC-P
NBP3-13885
Species: Hu
Applications: Flow, ICC/IF,  IHC-P, IP, PA, WB
NB110-57586
Species: Bv, Ch, Hu, Mu, Pm, Rb, Rt
Applications: IHC,  IHC-P, KD, WB
NBP3-03329
Species: Hu, Mu, Rt
Applications: IHC,  IHC-P, WB
NBP3-46892
Species: Hu, Mu, Rt
Applications: ELISA, ICC/IF, IHC, WB
NBP3-48068
Species: Hu
Applications: ELISA, IHC, WB
NBP1-91751
Species: Hu
Applications: IHC

Publications for CATSPER4 Antibody (NBP1-91751) (0)

There are no publications for CATSPER4 Antibody (NBP1-91751).
By submitting your publication information earn gift cards and discounts for future purchases.

Reviews for CATSPER4 Antibody (NBP1-91751) (0)

There are no reviews for CATSPER4 Antibody (NBP1-91751). By submitting a review you will receive an Amazon e-Gift Card or Novus Product Discount.
  • Review with no image -- $10/€7/£6/$10 CAD/¥70 Yuan/¥1110 Yen
  • Review with an image -- $25/€18/£15/$25 CAD/¥150 Yuan/¥2500 Yen

Product General Protocols

Find general support by application which include: protocols, troubleshooting, illustrated assays, videos and webinars.

FAQs for CATSPER4 Antibody (NBP1-91751) (0)

There are no specific FAQs related to this product. Read our general customer & technical service FAQs.

Customers Who Bought This Also Bought

Contact Information

Product PDFs

Calculators

Concentration Calculator

The concentration calculator allows you to quickly calculate the volume, mass or concentration of your vial. Simply enter your mass, volume, or concentration values for your reagent and the calculator will determine the rest.

=
÷

Review this Product

Be the first to review our CATSPER4 Antibody - BSA Free and receive a gift card or discount.

Bioinformatics

Gene Symbol CATSPER4