C1qTNF1/CTRP1 Antibody

Images

 
Western Blot: C1qTNF1/CTRP1 Antibody [NBP1-03120] - Western blot of C1qTNF1/CTRP1 in human kidney cell lysate with C1qTNF1/CTRP1 Antibody at (A) 1 and (B) 2 ug/ml.
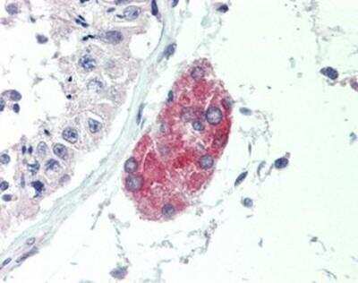
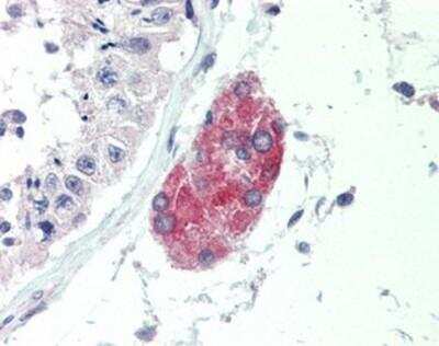
Immunohistochemistry-Paraffin: C1qTNF1/CTRP1 Antibody [NBP1-03120] - Staining of human testis. Immunohistochemistry of formalin-fixed, paraffin-embedded tissue after heat-induced antigen retrieval. Antibody ...read more
Immunofluorescence: C1qTNF1/CTRP1 Antibody [NBP1-03120] - Immunofluorescence of C1qTNF1/CTRP1 in Human Kidney cells with C1qTNF1/CTRP1 antibody at 20 ug/ml.

Product Details

Summary
Product Discontinued
View other related C1qTNF1/CTRP1 Primary Antibodies

Order Details


    • Catalog Number
      NBP1-03120
    • Availability
      Product Discontinued

    Can't find what you are looking for? Use our Antibody Concierge Service & we will help you locate your antibody!

    Or feel free to contact us for alternative products.

C1qTNF1/CTRP1 Antibody Summary

Immunogen
A 15 aa synthetic peptide near the amino-terminus of human C1qTNF1/CTRP1. The immunogen is located within aa 40 - 90 of C1qTNF1/CTRP1.
Specificity
15 amino acid peptide from near the amino-terminus of human CTRP1
Isotype
IgG
Clonality
Polyclonal
Host
Rabbit
Gene
C1QTNF1
Purity
Peptide affinity purified
Innovator's Reward
Test in a species/application not listed above to receive a full credit towards a future purchase.

Applications/Dilutions

Dilutions
  • ELISA
  • Immunocytochemistry/ Immunofluorescence
  • Immunohistochemistry 1:10-1:500
  • Immunohistochemistry-Paraffin 10 ug/ml
  • Western Blot 1 ug/ml

Packaging, Storage & Formulations

Storage
Store at 4C short term. Aliquot and store at -20C long term. Avoid freeze-thaw cycles.
Buffer
PBS
Preservative
0.02% Sodium Azide
Concentration
1.0 mg/ml
Purity
Peptide affinity purified

Alternate Names for C1qTNF1/CTRP1 Antibody

  • C1q and tumor necrosis factor related protein 1
  • C1qTNF1
  • CTRP1
  • CTRP1G protein-coupled receptor-interacting protein
  • FLJ90694
  • G protein coupled receptor interacting protein
  • GIPcomplement C1q tumor necrosis factor-related protein 1
  • ZSIG37

Limitations

This product is for research use only and is not approved for use in humans or in clinical diagnosis. Primary Antibodies are guaranteed for 1 year from date of receipt.

Customers Who Viewed This Item Also Viewed...

MAB1417
Species: Bv, Hu, Mu
Applications: ICC, IHC
MAB1249
Species: Hu, Mu
Applications: CyTOF-ready, ICC, ICFlow
AF1180
Species: Hu
Applications: ICC, IHC, Simple Western, WB
NBP2-62664
Species: Hu
Applications: IHC,  IHC-P
NBP2-46349
Species: Hu
Applications: IHC,  IHC-P, WB
NB100-1793
Species: Hu, Pm, Mu, Rt
Applications: Flow, IB, ICC/IF, IHC, IHC-Fr,  IHC-P, PEP-ELISA
NBP2-37447
Species: Hu
Applications: CyTOF-ready, ELISA, Flow, ICC/IF, IHC,  IHC-P
NBP3-12223
Species: Hu, Pm, Rt
Applications: ELISA, ICC/IF, IHC,  IHC-P, IP, WB
NBP2-48988
Species: Hu
Applications: IHC,  IHC-P
NBP1-80865
Species: Hu
Applications: IHC,  IHC-P
MAB8210
Species: Hu
Applications: Block, CyTOF-ready, Flow, IHC
H00008767-M02
Species: Hu, Mu, Rt
Applications: ELISA, IHC,  IHC-P, WB
NBP1-97308
Species: Ca, Hu, Mu, Rt
Applications: DB, ICC/IF, IHC,  IHC-P, KD, Simple Western, WB
NBP2-33903
Species: Hu
Applications: IHC,  IHC-P
NBP2-93868
Species: Hu, Mu
Applications: IHC,  IHC-P, WB
NBP3-03282
Species: Hu, Mu, Rt
Applications: ELISA, ICC/IF, IHC,  IHC-P, WB
NBP1-31348
Species: Hu, Mu, Rt
Applications: ICC/IF, IHC,  IHC-P, WB
NBP1-03120
Species: Hu, Mu, Rt
Applications: WB, ELISA, ICC/IF, IHC

Publications for C1qTNF1/CTRP1 Antibody (NBP1-03120) (0)

There are no publications for C1qTNF1/CTRP1 Antibody (NBP1-03120).
By submitting your publication information earn gift cards and discounts for future purchases.

Reviews for C1qTNF1/CTRP1 Antibody (NBP1-03120) (0)

There are no reviews for C1qTNF1/CTRP1 Antibody (NBP1-03120). By submitting a review you will receive an Amazon e-Gift Card or Novus Product Discount.
  • Review with no image -- $10/€7/£6/$10 CAD/¥70 Yuan/¥1110 Yen
  • Review with an image -- $25/€18/£15/$25 CAD/¥150 Yuan/¥2500 Yen

Product General Protocols

Find general support by application which include: protocols, troubleshooting, illustrated assays, videos and webinars.

Video Protocols

WB Video Protocol
ICC/IF Video Protocol

FAQs for C1qTNF1/CTRP1 Antibody (NBP1-03120) (0)

There are no specific FAQs related to this product. Read our general customer & technical service FAQs.

Secondary Antibodies

 

Isotype Controls

Additional C1qTNF1/CTRP1 Products

Research Areas for C1qTNF1/CTRP1 Antibody (NBP1-03120)

Find related products by research area.

Blogs on C1qTNF1/CTRP1

There are no specific blogs for C1qTNF1/CTRP1, but you can read our latest blog posts.

Contact Information

Product PDFs

Calculators

Concentration Calculator

The concentration calculator allows you to quickly calculate the volume, mass or concentration of your vial. Simply enter your mass, volume, or concentration values for your reagent and the calculator will determine the rest.

=
÷

Review this Product

Be the first to review our C1qTNF1/CTRP1 Antibody and receive a gift card or discount.

Bioinformatics

Gene Symbol C1QTNF1
Entrez
Uniprot