BPIFB3 Antibody - BSA Free

Images

 
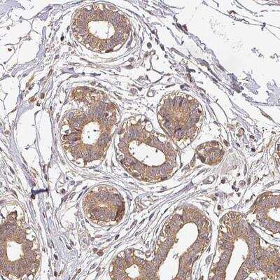
Immunohistochemistry-Paraffin: BPIFB3 Antibody [NBP2-14554] - Staining of human breast shows moderate cytoplasmic positivity in glandular cells.

Product Details

Summary
Reactivity HuSpecies Glossary
Applications IHC
Clonality
Polyclonal
Host
Rabbit
Conjugate
Unconjugated
Format
BSA Free

Order Details

View Available Formulations
Catalog# & Formulation Size Price

BPIFB3 Antibody - BSA Free Summary

Description
Novus Biologicals Rabbit BPIFB3 Antibody - BSA Free (NBP2-14554) is a polyclonal antibody validated for use in IHC. All Novus Biologicals antibodies are covered by our 100% guarantee.
Immunogen
This antibody was developed against a recombinant protein corresponding to the amino acids: VSLGALGSVEFSLATLPLISNQYIELDINPIVKSVAGDIIDFPKSRAPAKVPPKKDHTSQVMVPLYLFNTTFGL
Isotype
IgG
Clonality
Polyclonal
Host
Rabbit
Gene
BPIFB3
Purity
Immunogen affinity purified
Innovator's Reward
Test in a species/application not listed above to receive a full credit towards a future purchase.

Applications/Dilutions

Dilutions
  • Immunohistochemistry 1:50 - 1:200
  • Immunohistochemistry-Paraffin 1:50 - 1:200
Application Notes
For IHC-Paraffin, HIER pH 6 retrieval is recommended.
Control Peptide
BPIFB3 Protein (NBP2-14554PEP)

Reactivity Notes

Immunogen displays the following percentage of sequence identity for non-tested species: Mouse (84%), Rat (84%)

Packaging, Storage & Formulations

Storage
Store at 4C short term. Aliquot and store at -20C long term. Avoid freeze-thaw cycles.
Buffer
PBS (pH 7.2) and 40% Glycerol
Preservative
0.02% Sodium Azide
Purity
Immunogen affinity purified

Alternate Names for BPIFB3 Antibody - BSA Free

  • BPIFB3 BPI fold containing family B, member 3
  • C20orf185
  • dJ726C3.4
  • LPLUNC3
  • RYA3

Limitations

This product is for research use only and is not approved for use in humans or in clinical diagnosis. Primary Antibodies are guaranteed for 1 year from date of receipt.

Customers Who Viewed This Item Also Viewed...

H00149954-P01
Species: Hu
Applications: ELISA, AP, PA, WB
7468-BP
Species: Hu
Applications: BA
AF4274
Species: Mu
Applications: IHC, WB
NB300-558
Species: Bv, Hu, Rb
Applications: ELISA, ICC/IF, IP, WB
NBP1-28872
Species: Hu
Applications: ELISA, ICC/IF, IHC, IHC-Fr,  IHC-P, WB
NBP2-37493
Species: Hu, Mu, Po
Applications: CyTOF-ready, ELISA, Flow, ICC/IF, IHC,  IHC-P, WB
NBP2-35208
Species: Hu
Applications: BA, PAGE
AF5659
Species: Hu
Applications: WB
NBP2-02450
Species: Hu
Applications: ICC/IF, IHC,  IHC-P, WB
NBP1-87203
Species: Hu
Applications: IHC,  IHC-P, WB
MAB4937
Species: Hu
Applications: CyTOF-ready, ICFlow, WB
NBP3-46078
Species: Hu, Rt
Applications: ELISA, IHC, WB
NBP2-14358
Species: Hu
Applications: ICC/IF, IHC,  IHC-P
NBP2-37489
Species: Hu
Applications: CyTOF-ready, ELISA, Flow, ICC/IF, IHC,  IHC-P, WB
DY870-05
Species: Hu
Applications: ELISA
NBP1-81696
Species: Hu, Mu, Rt
Applications: ICC/IF, IHC,  IHC-P, WB

Publications for BPIFB3 Antibody (NBP2-14554) (0)

There are no publications for BPIFB3 Antibody (NBP2-14554).
By submitting your publication information earn gift cards and discounts for future purchases.

Reviews for BPIFB3 Antibody (NBP2-14554) (0)

There are no reviews for BPIFB3 Antibody (NBP2-14554). By submitting a review you will receive an Amazon e-Gift Card or Novus Product Discount.
  • Review with no image -- $10/€7/£6/$10 CAD/¥70 Yuan/¥1110 Yen
  • Review with an image -- $25/€18/£15/$25 CAD/¥150 Yuan/¥2500 Yen

Product General Protocols

Find general support by application which include: protocols, troubleshooting, illustrated assays, videos and webinars.

FAQs for BPIFB3 Antibody (NBP2-14554) (0)

There are no specific FAQs related to this product. Read our general customer & technical service FAQs.

Customers Who Bought This Also Bought

Contact Information

Product PDFs

Calculators

Concentration Calculator

The concentration calculator allows you to quickly calculate the volume, mass or concentration of your vial. Simply enter your mass, volume, or concentration values for your reagent and the calculator will determine the rest.

=
÷

Review this Product

Be the first to review our BPIFB3 Antibody - BSA Free and receive a gift card or discount.

Bioinformatics

Gene Symbol BPIFB3