BLTP2 Antibody (A0-F3)

Images

 
Western Blot: K0100 Antibody (A0-F3) [NBP2-66915] - Analysis on recombinant protein using anti-KIAA0100 Mouse mAb.
Immunocytochemistry/ Immunofluorescence: K0100 Antibody (A0-F3) [NBP2-66915] - Staining of Hela cells using anti-KIAA0100 Mouse mAb.
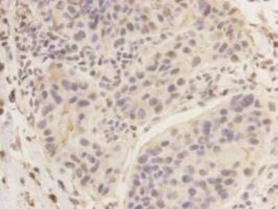
Immunohistochemistry-Paraffin: K0100 Antibody (A0-F3) [NBP2-66915] - Analysis of paraffin- embedded human breast carcinoma tissue using anti-KIAA0100 Mouse mAb.

Product Details

Summary
Product Discontinued
View other related BLTP2 Primary Antibodies

Order Details


    • Catalog Number
      NBP2-66915
    • Availability
      Product Discontinued

    Can't find what you are looking for? Use our Antibody Concierge Service & we will help you locate your antibody!

    Or feel free to contact us for alternative products.

BLTP2 Antibody (A0-F3) Summary

Additional Information
Recombinant Monoclonal Antibody
Immunogen
Recombinant protein within Human Breast cancer-overexpressed gene 1 protein aa 1,947-2,235 / 2,235. (SwissProt: Q14667 Human)
Localization
secreted
Isotype
IgG1
Clonality
Monoclonal
Host
Mouse
Gene
KIAA0100
Purity
Protein A purified
Innovator's Reward
Test in a species/application not listed above to receive a full credit towards a future purchase.

Applications/Dilutions

Dilutions
  • Immunocytochemistry/ Immunofluorescence 1:100-1:500
  • Immunohistochemistry
  • Immunohistochemistry-Paraffin 1:200
  • Western Blot 1:1000-1:10000

Packaging, Storage & Formulations

Storage
Store at 4C short term. Aliquot and store at -20C long term. Avoid freeze-thaw cycles.
Buffer
PBS (pH7.4), 0.2% BSA, 40% Glycerol
Preservative
0.05% Sodium Azide
Concentration
2 mg/ml
Purity
Protein A purified

Alternate Names for BLTP2 Antibody (A0-F3)

  • Antigen MLAA-22
  • BCOX
  • BCOX1
  • breast cancer overexpressed gene 1
  • Breast cancer-overexpressed gene 1 protein
  • bridge-like lipid transfer protein family member 2
  • cancer/testis antigen 101
  • CT101
  • DKFZp686M0843
  • FMP27
  • Hob
  • hypothetical protein LOC9703
  • KIAA0100
  • MGC111488
  • MGC134981
  • protein hobbit homolog
  • U937-associated antigen

Background

This gene was initially characterized in human as having high expression levels in breast carcinomas and breast cancer cell lines. This gene also has increased expression in prostrate cancer cells relative to normal prostrate tissues. Expression of this gene is negatively regulated by direct binding of the microRNA miR-195 to its 3' UTR. miR-195 has been shown to modulate the invasiveness of prostrate cancer cells and xenograft metastases by downgrading expression of this gene. In mouse, the protein encoded by this gene was identified as an antigen on acute monocytic leukemia cells. In human, alternative splicing results in multiple transcript variants encoding distinct isoforms; some of these isoforms are predicted to contain an RNA pol II promoter FMP27 protein domain and a Golgi-body-localization APT1 domain.

Limitations

This product is for research use only and is not approved for use in humans or in clinical diagnosis. Primary Antibodies are guaranteed for 1 year from date of receipt.

Customers Who Viewed This Item Also Viewed...

AF276
Species: Hu
Applications: Block, CyTOF-ready, Flow, ICC, IHC, KO, Simple Western, WB
NBP2-38464
Species: Hu
Applications: ICC/IF, IHC,  IHC-P, KD, WB
AF5129
Species: Hu
Applications: WB
NB110-41404
Species: Bv, Hu, Mu, Rt
Applications: ICC/IF, IHC, WB
H00008731-M01
Species: Hu
Applications: ELISA, ICC/IF, IHC,  IHC-P, S-ELISA, WB
NBP2-20486
Species: Hu, Mu
Applications: ICC/IF, IHC,  IHC-P, IP, WB
NBP2-25160
Species: Bv, Ca, Eq, Hu, Mu, Po, Rt
Applications: ICC/IF, IHC, WB
NBP3-41290
Species: Hu, Po, Rt
Applications: IHC,  IHC-P, WB
NB300-223
Species: Bv, Ca, Ch, Eq, Hu, Mu, Po, Rt
Applications: ICC/IF, IHC, IHC-Fr,  IHC-P, WB
H00003930-B01P
Species: Hu, Mu
Applications: ICC/IF, IHC,  IHC-P, WB
NBP2-38172
Species: Hu
Applications: ICC/IF, IHC,  IHC-P, Simple Western
NBP2-66915
Species: Hu
Applications: WB, ICC/IF, IHC

Publications for BLTP2 Antibody (NBP2-66915) (0)

There are no publications for BLTP2 Antibody (NBP2-66915).
By submitting your publication information earn gift cards and discounts for future purchases.

Reviews for BLTP2 Antibody (NBP2-66915) (0)

There are no reviews for BLTP2 Antibody (NBP2-66915). By submitting a review you will receive an Amazon e-Gift Card or Novus Product Discount.
  • Review with no image -- $10/€7/£6/$10 CAD/¥70 Yuan/¥1110 Yen
  • Review with an image -- $25/€18/£15/$25 CAD/¥150 Yuan/¥2500 Yen

Product General Protocols

Find general support by application which include: protocols, troubleshooting, illustrated assays, videos and webinars.

Video Protocols

WB Video Protocol
ICC/IF Video Protocol

FAQs for BLTP2 Antibody (NBP2-66915) (0)

There are no specific FAQs related to this product. Read our general customer & technical service FAQs.

Contact Information

Product PDFs

Calculators

Concentration Calculator

The concentration calculator allows you to quickly calculate the volume, mass or concentration of your vial. Simply enter your mass, volume, or concentration values for your reagent and the calculator will determine the rest.

=
÷

Review this Product

Be the first to review our BLTP2 Antibody (A0-F3) and receive a gift card or discount.

Bioinformatics

Gene Symbol KIAA0100