BHLHB5 Antibody

Images

 
Immunohistochemistry-Paraffin: BHLHB5 Antibody [NBP2-39085] - Staining of human liver.
Immunohistochemistry: BHLHB5 Antibody [NBP2-39085] - Staining of human cerebellum shows strong nuclear positivity in cells in molecular layer.
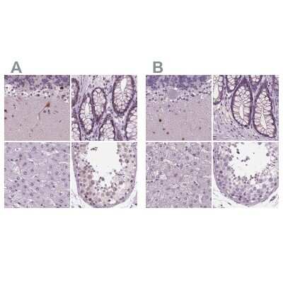
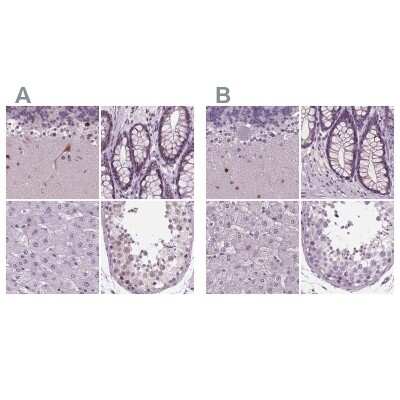
Independent Antibodies: Immunohistochemistry-Paraffin: BHLHB5 Antibody [NBP2-39085] - Staining of human cerebellum, colon, liver and testis using Anti-BHLHE22 antibody NBP2-39085 (A) shows similar protein ...read more
Immunohistochemistry-Paraffin: BHLHB5 Antibody [NBP2-39085] - Staining of human cerebellum.
Immunohistochemistry-Paraffin: BHLHB5 Antibody [NBP2-39085] - Staining of human testis.
Immunohistochemistry-Paraffin: BHLHB5 Antibody [NBP2-39085] - Staining of human colon.

Product Details

Summary
Product Discontinued
View other related BHLHB5 Primary Antibodies
Validated by:
 

Independent Antibodies

       

Order Details


    • Catalog Number
      NBP2-39085
    • Availability
      Product Discontinued

    Can't find what you are looking for? Use our Antibody Concierge Service & we will help you locate your antibody!

    Or feel free to contact us for alternative products.

BHLHB5 Antibody Summary

Immunogen
This antibody was developed against a recombinant protein corresponding to amino acids: GLLVGSAGVGGDPSLSSLPAGAALCLKYGESASRGSVAESSGGEQSPDDDSDGRCELVLRAGV
Predicted Species
Mouse (95%), Rat (94%). Backed by our 100% Guarantee.
Isotype
IgG
Clonality
Polyclonal
Host
Rabbit
Gene
BHLHE22
Purity
Immunogen affinity purified
Innovator's Reward
Test in a species/application not listed above to receive a full credit towards a future purchase.

Applications/Dilutions

Dilutions
  • Immunohistochemistry 1:500 - 1:1000
  • Immunohistochemistry-Paraffin 1:500 - 1:1000
Application Notes
For IHC-Paraffin, HIER pH 6 retrieval is recommended.
Control Peptide
BHLHB5 Protein (NBP2-39085PEP)

Packaging, Storage & Formulations

Storage
Store at 4C short term. Aliquot and store at -20C long term. Avoid freeze-thaw cycles.
Buffer
PBS (pH 7.2) and 40% Glycerol
Preservative
0.02% Sodium Azide
Purity
Immunogen affinity purified

Alternate Names for BHLHB5 Antibody

  • Basic Helix-Loop-Helix Domain Containing, Class B, 5
  • basic helix-loop-helix family, member e22
  • Beta3
  • BHLHE22
  • CAGL85
  • Class B Basic Helix-Loop-Helix Protein 5
  • Class E Basic Helix-Loop-Helix Protein 22
  • TNRC20
  • Trinucleotide Repeat Containing 20
  • Trinucleotide Repeat-Containing Gene 20 Protein

Limitations

This product is for research use only and is not approved for use in humans or in clinical diagnosis. Primary Antibodies are guaranteed for 1 year from date of receipt.

Customers Who Viewed This Item Also Viewed...

NBP3-48614
Species: Hu, Mu
Applications: IHC,  IHC-P, WB
AF2746
Species: Hu, Mu
Applications: ICC, WB
MAB3314
Species: Hu, Rt
Applications: IHC
H00028299-P01
Species: Hu
Applications: ELISA, AP, PA, WB
AF8150
Species: Hu
Applications: ICC, ICFlow, Simple Western, WB
NBP2-15133
Species: Mu, Rt
Applications: ICC/IF, IHC, IHC-Fr,  IHC-P, WB
NBP1-47871
Species: Hu, Mu, Rt
Applications: ICC/IF, IHC,  IHC-P, IP, WB
MAB1417
Species: Bv, Hu, Mu
Applications: ICC, IHC
H00007071-M15
Species: Hu, Mu, Rt
Applications: ELISA, WB
NBP1-83619
Species: Hu
Applications: IHC,  IHC-P, Simple Western, WB
AF5415
Species: Hu
Applications: ICC, IHC, Simple Western, WB
NBP2-83997
Species: Hu
Applications: IHC,  IHC-P, WB
NBP2-13957
Species: Hu
Applications: IHC,  IHC-P, WB
NBP1-84717
Species: Hu, Mu
Applications: ChIP, ICC/IF, IHC,  IHC-P, WB
NBP2-45511
Species: Hu, Mu, Rt
Applications: IHC,  IHC-P, WB
NBP2-29865
Species: Hu, Mu
Applications: ICC/IF, IHC,  IHC-P, WB
NBP2-22478
Species: Hu, Mu
Applications: ICC/IF, IHC, IHC-Fr,  IHC-P, WB
NBP2-39085
Species: Hu, Mu, Rt
Applications: IHC

Publications for BHLHB5 Antibody (NBP2-39085) (0)

There are no publications for BHLHB5 Antibody (NBP2-39085).
By submitting your publication information earn gift cards and discounts for future purchases.

Reviews for BHLHB5 Antibody (NBP2-39085) (0)

There are no reviews for BHLHB5 Antibody (NBP2-39085). By submitting a review you will receive an Amazon e-Gift Card or Novus Product Discount.
  • Review with no image -- $10/€7/£6/$10 CAD/¥70 Yuan/¥1110 Yen
  • Review with an image -- $25/€18/£15/$25 CAD/¥150 Yuan/¥2500 Yen

Product General Protocols

Find general support by application which include: protocols, troubleshooting, illustrated assays, videos and webinars.

FAQs for BHLHB5 Antibody (NBP2-39085) (0)

There are no specific FAQs related to this product. Read our general customer & technical service FAQs.

Contact Information

Product PDFs

Calculators

Concentration Calculator

The concentration calculator allows you to quickly calculate the volume, mass or concentration of your vial. Simply enter your mass, volume, or concentration values for your reagent and the calculator will determine the rest.

=
÷

Review this Product

Be the first to review our BHLHB5 Antibody and receive a gift card or discount.

Bioinformatics

Gene Symbol BHLHE22
Uniprot