Begain Antibody - Azide and BSA Free Summary
| Immunogen |
Recombinant fusion protein containing a sequence corresponding to amino acids 1-280 of human BEGAIN (NP_065887.1). MEKLSALQEQKGELRKRLSYTTHKLEKLETEFDSTRHYLEIELRRAQEELEKVTEKLRRIQSNYMALQRINQELEDKLYRMGQHYEEEKRALSHEIVALNSHLLEAKVTIDKLSEDNELYRKDCNLAAQLLQCSQTYGRVHKVSELPSDFQERVSLHMEKHGCSLPSPLCHPAYADSVPTCVIAKVLEKPDPASLSSRLSDASARDLAFCDGVEKPGPRPPYKGDIYCSDTALYCPEERRRDRRPSVDAPVTDVGFLRAQNSTDSAAEEEEEAEAAAFPA |
| Isotype |
IgG |
| Clonality |
Polyclonal |
| Host |
Rabbit |
| Gene |
BEGAIN |
| Purity |
Affinity purified |
| Innovator's Reward |
Test in a species/application not listed above to receive a full credit towards a future purchase. |
Applications/Dilutions
| Dilutions |
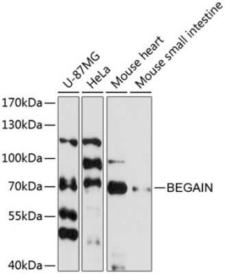
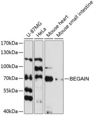
- Western Blot 1:500-1:2000
|
| Theoretical MW |
64 kDa. Disclaimer note: The observed molecular weight of the protein may vary from the listed predicted molecular weight due to post translational modifications, post translation cleavages, relative charges, and other experimental factors. |
Packaging, Storage & Formulations
| Storage |
Store at -20C. Avoid freeze-thaw cycles. |
| Buffer |
PBS with 50% glycerol, pH7.3. |
| Preservative |
0.01% Thimerosal |
| Purity |
Affinity purified |
Alternate Names for Begain Antibody - Azide and BSA Free
Background
Begain may sustain the structure of the postsynaptic density (PSD)
Limitations
This product is for research use only and is not approved for use in humans or in clinical diagnosis. Primary Antibodies are
guaranteed for 1 year from date of receipt.
Customers Who Viewed This Item Also Viewed...
Species: Hu, Mu, Rt
Applications: IHC, IHC-P, WB
Species: Hu, In, Mu, Pm, Rt
Applications: B/N, ChIP, Flow, ICC/IF, IHC, IHC-Fr, IHC-P, IP, WB
Species: Hu, Rt
Applications: ICC/IF, WB
Species: Hu, In, Mu, Pm, Rt
Applications: B/N, ChIP, Flow, ICC/IF, IHC, IHC-Fr, IHC-P, IP, WB
Species: Mu
Applications: CyTOF-ready, Flow, IHC, WB
Species: Mu, Rt
Applications: ICC/IF, IHC, IHC-Fr, IHC-P, WB
Species: Ha, Hu, Mu, Rb, Rt
Applications: Flow, ICC/IF, IHC, IHC-Fr, IHC-P, WB
Species: Hu, Mu, Rt
Applications: ICC/IF, IHC, IHC-P, WB
Species: Hu
Applications: IHC, IHC-P
Species: Hu, Mu, Rt
Applications: IHC, IHC-P, WB
Species: Hu, Mu, Rt, Ze
Applications: ICC/IF, IHC-WhMt, IHC, IHC-Fr, IHC-P, Simple Western, WB
Species: Hu, Mu, Rt
Applications: ICC/IF, IHC, IHC-P, WB
Species: Hu, Mu
Applications: ELISA, Flow, Func, WB
Species: Bv, Hu, Mu, Po, Rt, Sh
Applications: ChIP, CyTOF-ready, Flow-IC, Flow, ICC/IF, IHC-FrFl, IHC, IHC-Fr, IHC-P, IP, KD, Simple Western, WB
Species: Hu
Applications: ICC/IF
Species: Hu
Applications: ICC/IF, IHC, IHC-P, WB
Species: Mu
Applications: ELISA
Species: Hu, Mu, Rt
Applications: WB
⚠ WARNING: This product can expose you to chemicals including Methotrexate, which is known to the State of California to cause reproductive toxicity with developmental effects. For more information, go to www.P65Warnings.ca.gov
Publications for Begain Antibody (NBP2-92728) (0)
There are no publications for Begain Antibody (NBP2-92728).
By submitting your publication information earn gift cards and discounts for future purchases.
Reviews for Begain Antibody (NBP2-92728) (0)
There are no reviews for Begain Antibody (NBP2-92728).
By submitting a review you will receive an Amazon e-Gift Card or Novus Product Discount.
- Review with no image -- $10/€7/£6/$10 CAD/¥70 Yuan/¥1110 Yen
- Review with an image -- $25/€18/£15/$25 CAD/¥150 Yuan/¥2500 Yen
Product General Protocols
Find general support by application which include: protocols, troubleshooting, illustrated assays, videos and webinars.
Video Protocols
FAQs for Begain Antibody (NBP2-92728) (0)
Secondary Antibodies
| |
Isotype Controls
|
Additional Begain Products
Research Areas for Begain Antibody (NBP2-92728)
Find related products by research area.
|
Blogs on Begain