WDR25 Antibody - BSA Free

Images

 
Immunocytochemistry/ Immunofluorescence: WDR25 Antibody [NBP1-93467] - Immunofluorescent staining of human cell line PC-3 shows localization to nucleoplasm.
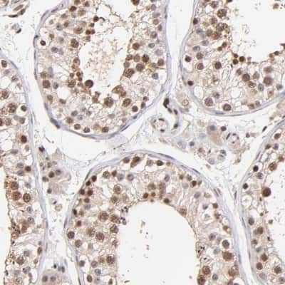
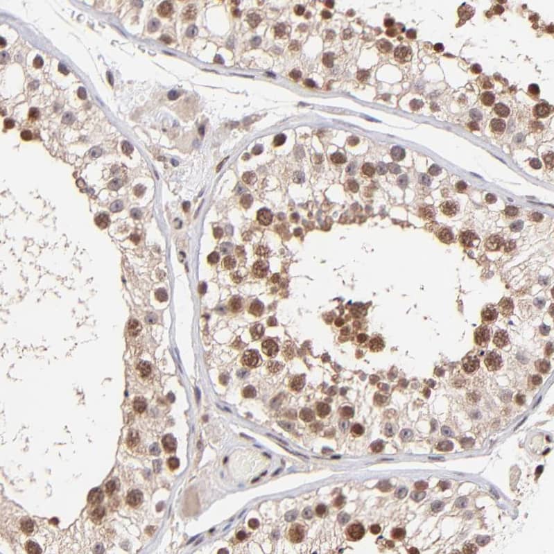
Immunohistochemistry-Paraffin: WDR25 Antibody [NBP1-93467] - Staining of human testis shows nuclear and cytoplasmic positivity in cells in seminiferous ducts.
Staining of human testis shows moderate nuclear cytoplasmic positivity in cells in seminiferous ducts.
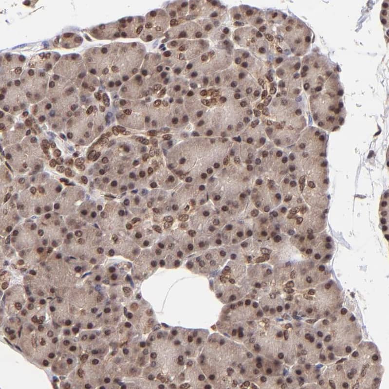
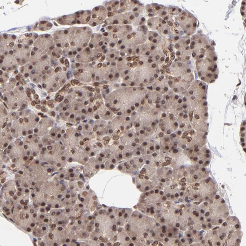
Staining of human pancreas shows moderate nuclear-cytoplasmic positivity in endocrine glandular cells.
Lane 1: Marker [kDa] 230, 110, 82, 49, 32, 26, 18Lane 2: Human cell line RT-4Lane 3: Human cell line U-251MG spLane 4: Human plasma (IgG/HSA depleted)
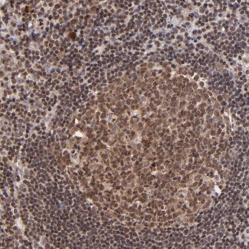
Staining of human tonsil tissues shows moderate nuclear cytoplasmic positivity in germinal center cells and non-germinal center cells.
Staining of human colon shows strong nuclear positivity in lymphoid cells and cytoplasmic-nucleus positivity in glandular cells.

Product Details

Summary
Reactivity HuSpecies Glossary
Applications WB, ICC/IF, IHC
Clonality
Polyclonal
Host
Rabbit
Conjugate
Unconjugated
Format
BSA Free

Order Details

WDR25 Antibody - BSA Free Summary

Description
Novus Biologicals Rabbit WDR25 Antibody - BSA Free (NBP1-93467) is a polyclonal antibody validated for use in IHC, WB and ICC/IF. All Novus Biologicals antibodies are covered by our 100% guarantee.
Immunogen
This antibody was developed against Recombinant Protein corresponding to amino acids: LVAYDDSDSEAETEHAGSFNATGQQKDTSGVARPPGQDFASGTLDVPKAGAQPTKHGSCEDPGGYRLPLAQLGRSDRGSCPSQRLQWPGKEPQVTFPIKEPSCSSLWTS
Isotype
IgG
Clonality
Polyclonal
Host
Rabbit
Gene
WDR25
Purity
Immunogen affinity purified
Innovator's Reward
Test in a species/application not listed above to receive a full credit towards a future purchase.

Applications/Dilutions

Dilutions
  • Immunocytochemistry/ Immunofluorescence 0.25-2 ug/ml
  • Immunohistochemistry 1:50 - 1:200
  • Immunohistochemistry-Paraffin 1:50 - 1:200
  • Western Blot 0.04-0.4 ug/ml
Application Notes
For IHC-Paraffin, HIER pH 6 retrieval is recommended. Immunocytochemistry/Immunofluorescence Fixation Permeabilization: Use PFA/Triton X-100.
Control Peptide
WDR25 Protein (NBP1-93467PEP)

Packaging, Storage & Formulations

Storage
Store at 4C short term. Aliquot and store at -20C long term. Avoid freeze-thaw cycles.
Buffer
PBS (pH 7.2) and 40% Glycerol
Preservative
0.02% Sodium Azide
Purity
Immunogen affinity purified

Alternate Names for WDR25 Antibody - BSA Free

  • MGC4645
  • WD repeat domain 25
  • WD repeat-containing protein 25

Limitations

This product is for research use only and is not approved for use in humans or in clinical diagnosis. Primary Antibodies are guaranteed for 1 year from date of receipt.

Customers Who Viewed This Item Also Viewed...

NBP1-85260
Species: Hu
Applications: ChIP-EXO-SEQ, IHC,  IHC-P, WB
NBP1-05767
Species: Ha, Hu, Mu, Rb, Rt
Applications: Flow, ICC/IF, IHC, IHC-Fr,  IHC-P, WB
NBP3-15920
Species: Hu, Mu, Rt
Applications: IHC,  IHC-P, WB
MAB1144
Species: Hu
Applications: CyTOF-ready, Flow, ICC, WB
NBP1-82907
Species: Hu
Applications: IHC,  IHC-P, WB
NBP1-88961
Species: Hu, Mu, Rt
Applications: IHC,  IHC-P, WB
NBP2-57704
Species: Hu
Applications: ICC/IF
NBP1-82281
Species: Hu
Applications: ICC/IF

Publications for WDR25 Antibody (NBP1-93467) (0)

There are no publications for WDR25 Antibody (NBP1-93467).
By submitting your publication information earn gift cards and discounts for future purchases.

Reviews for WDR25 Antibody (NBP1-93467) (0)

There are no reviews for WDR25 Antibody (NBP1-93467). By submitting a review you will receive an Amazon e-Gift Card or Novus Product Discount.
  • Review with no image -- $10/€7/£6/$10 CAD/¥70 Yuan/¥1110 Yen
  • Review with an image -- $25/€18/£15/$25 CAD/¥150 Yuan/¥2500 Yen

Product General Protocols

Find general support by application which include: protocols, troubleshooting, illustrated assays, videos and webinars.

Video Protocols

WB Video Protocol
ICC/IF Video Protocol

FAQs for WDR25 Antibody (NBP1-93467) (0)

There are no specific FAQs related to this product. Read our general customer & technical service FAQs.

Customers Who Bought This Also Bought

Contact Information

Product PDFs

Calculators

Concentration Calculator

The concentration calculator allows you to quickly calculate the volume, mass or concentration of your vial. Simply enter your mass, volume, or concentration values for your reagent and the calculator will determine the rest.

=
÷

Review this Product

Be the first to review our WDR25 Antibody - BSA Free and receive a gift card or discount.

Bioinformatics

Gene Symbol WDR25