BAG3 Antibody - BSA Free

Images

 
Western Blot: BAG3 Antibody [NBP2-15543] - BAG3 antibody detects BAG3 protein by Western blot analysis. A. 50 ug mouse heart lysate/extract 7. 5 % SDS-PAGEBAG3 antibody dilution: 1:1000.
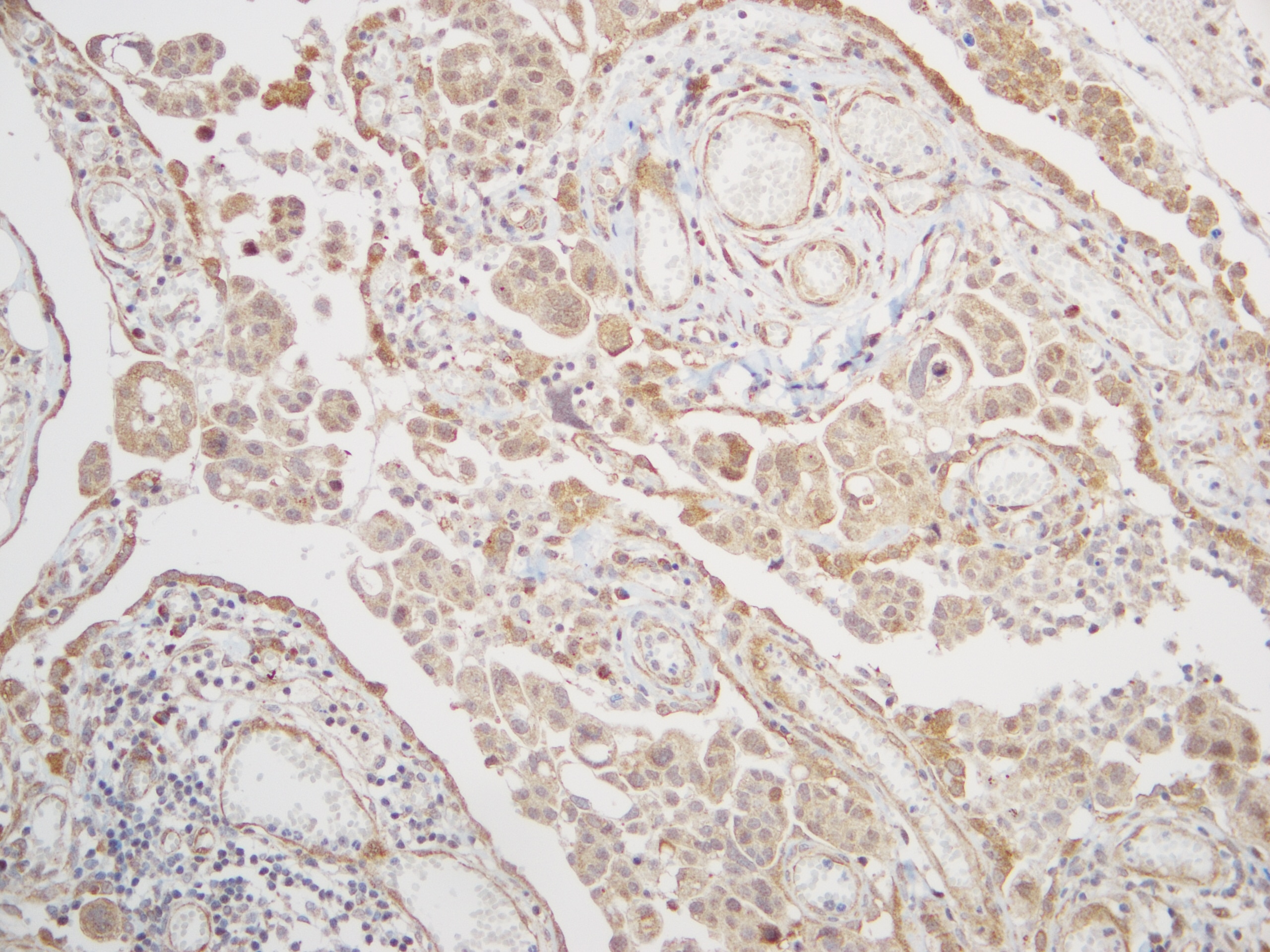
Immunohistochemistry-Paraffin: BAG3 Antibody [NBP2-15543] - BAG3 in high-grade serous carcinoma. 1:100 dilution, pH=6 retrieval buffer, Dako FLEX+ protocol. This image was submitted via customer Review.
Immunohistochemistry-Paraffin: BAG3 Antibody [NBP2-15543] - Immunohistochemical analysis of paraffin-embedded Cal27 xenograft, using antibody at 1:100 dilution.
Western Blot: BAG3 Antibody [NBP2-15543] - Various whole cell extracts (30 ug) were separated by 7.5% SDS-PAGE, and the membrane was blotted with BAG3 antibody (NBP2-15543) diluted at 1:1000. The HRP-conjugated ...read more

Product Details

Summary
Reactivity Hu, Mu, Rt, Bv, RMSpecies Glossary
Applications WB, IHC
Clonality
Polyclonal
Host
Rabbit
Conjugate
Unconjugated
Format
BSA Free

Order Details

BAG3 Antibody - BSA Free Summary

Description
Novus Biologicals Rabbit BAG3 Antibody - BSA Free (NBP2-15543) is a polyclonal antibody validated for use in IHC and WB. Anti-BAG3 Antibody: Cited in 1 publication. All Novus Biologicals antibodies are covered by our 100% guarantee.
Immunogen
Recombinant protein encompassing a sequence within the C-terminus region of human BAG3. The exact sequence is proprietary.
Predicted Species
Rat (95%), Bovine (94%), Rhesus Macaque (100%). Backed by our 100% Guarantee.
Isotype
IgG
Clonality
Polyclonal
Host
Rabbit
Gene
BAG3
Purity
Antigen Affinity-purified
Innovator's Reward
Test in a species/application not listed above to receive a full credit towards a future purchase.

Applications/Dilutions

Dilutions
  • Immunohistochemistry 1:100-1:1000
  • Immunohistochemistry-Paraffin 1:100-1:1000
  • Western Blot 1:500-1:3000
Theoretical MW
62 kDa.
Disclaimer note: The observed molecular weight of the protein may vary from the listed predicted molecular weight due to post translational modifications, post translation cleavages, relative charges, and other experimental factors.
Reviewed Applications
Read 1 Review rated 3
using
NBP2-15543 in the following applications:

Publications
Read Publication using
NBP2-15543 in the following applications:

Packaging, Storage & Formulations

Storage
Aliquot and store at -20C or -80C. Avoid freeze-thaw cycles.
Buffer
PBS, 10% Glycerol
Preservative
0.01% Thimerosal
Purity
Antigen Affinity-purified

Alternate Names for BAG3 Antibody - BSA Free

  • BAG family molecular chaperone regulator 3
  • BAG-3
  • BAG-family molecular chaperone regulator-3
  • Bcl-2-associated athanogene 3
  • BCL2-associated athanogene 3
  • BCL2-binding athanogene 3
  • Bcl-2-binding protein Bis
  • BIS
  • CAIR-1
  • Docking protein CAIR-1
  • MGC104307

Background

BAG proteins compete with Hip for binding to the Hsc70/Hsp70 ATPase domain and promote substrate release. All the BAG proteins have an approximately 45-amino acid BAG domain near the C terminus but differ markedly in their N-terminal regions. The protein encoded by this gene contains a WW domain in the N-terminal region and a BAG domain in the C-terminal region. The BAG domains of BAG1, BAG2, and BAG3 interact specifically with the Hsc70 ATPase domain in vitro and in mammalian cells. All 3 proteins bind with high affinity to the ATPase domain of Hsc70 and inhibit its chaperone activity in a Hip-repressible manner. [provided by RefSeq]

Limitations

This product is for research use only and is not approved for use in humans or in clinical diagnosis. Primary Antibodies are guaranteed for 1 year from date of receipt.

Customers Who Viewed This Item Also Viewed...

NBP1-81696
Species: Hu, Mu, Rt
Applications: ICC/IF, IHC,  IHC-P, WB
NBP1-00154
Species: Hu, Mu, Rt
Applications: Flow, ICC/IF, IHC,  IHC-P, PEP-ELISA, WB
NB100-56098
Species: Ca, Hu, Mu, Rt
Applications: IHC,  IHC-P, IP, WB
NB120-2788
Species: Bv, Fe, Fi, Ha, Hu, Mu, Pm, Rt
Applications: B/N, Flow, IB, ICC/IF, IHC, IHC-Fr,  IHC-P, IP, Simple Western, WB
NB100-56082
Species: Hu, Mu, Rt
Applications: IHC,  IHC-P, IP, WB
7770-GT
Species: Hu
Applications: EnzAct
NBP3-15642
Species: Hu, Mu, Rt
Applications: ICC/IF, IHC,  IHC-P, WB
NBP2-93808
Species: Hu, Mu, Rt
Applications: ICC/IF, IHC,  IHC-P, WB
NBP2-20383
Species: Hu, Mu
Applications: ICC/IF, IHC,  IHC-P, WB
NBP2-02623
Species: Ca, Hu, Mu, Rt
Applications: Flow, ICC/IF, IHC,  IHC-P, WB
NBP2-82026
Species: Hu, Mu, Rt
Applications: ELISA, ICC/IF, IHC,  IHC-P, WB
MAB4987
Species: Hu, Mu, Rt
Applications: WB
NBP1-88027
Species: Eq, Hu, Mu, Rt
Applications: IHC,  IHC-P, Simple Western, WB
NBP2-46005
Species: Hu, Mu, Rt
Applications: ICC/IF, IHC,  IHC-P, IP, PLA, WB
NBP2-83997
Species: Hu
Applications: IHC,  IHC-P, WB
NB100-56696
Species: Hu
Applications: Flow-CS, Flow, KD, WB
H00011155-M06
Species: Hu, Mu, Rt
Applications: ELISA, ICC/IF, IP, KD, WB
⚠ WARNING: This product can expose you to chemicals including mercury, which is known to the State of California to cause reproductive toxicity with developmental effects.  For more information go to www.P65Warnings.ca.gov.

Publications for BAG3 Antibody (NBP2-15543)(1)

We have publications tested in 1 confirmed species: Human.

We have publications tested in 1 application: IHC-P.


Filter By Application
IHC-P
(1)
All Applications
Filter By Species
Human
(1)
All Species

Review for BAG3 Antibody (NBP2-15543) (1) 31

Average Rating: 3
(Based on 1 review)
We have 1 review tested in 1 species: Human.

Reviews using NBP2-15543:
Filter by Applications
 IHC-P
(1)
All Applications
Filter by Species
Human
(1)
All Species
Images Ratings Applications Species Date Details
Immunohistochemistry-Paraffin BAG3 NBP2-15543
Enlarge
3
reviewed by:
Ben Davidson
 IHC-P Human 01/30/2017
View

Summary

ApplicationImmunohistochemistry-Paraffin
Sample TestedHuman ovarian carcinoma
SpeciesHuman
LotAR100-112619-04

Comments

Comments1:100 dilution, pH=6 retrieval buffer, Dako FLEX+ protocol

Product General Protocols

Find general support by application which include: protocols, troubleshooting, illustrated assays, videos and webinars.

Video Protocols

WB Video Protocol

FAQs for BAG3 Antibody (NBP2-15543) (0)

There are no specific FAQs related to this product. Read our general customer & technical service FAQs.

Secondary Antibodies

 

Isotype Controls

Additional BAG3 Products

Research Areas for BAG3 Antibody (NBP2-15543)

Find related products by research area.

Blogs on BAG3

There are no specific blogs for BAG3, but you can read our latest blog posts.

Customers Who Bought This Also Bought

Contact Information

Product PDFs

Calculators

Concentration Calculator

The concentration calculator allows you to quickly calculate the volume, mass or concentration of your vial. Simply enter your mass, volume, or concentration values for your reagent and the calculator will determine the rest.

=
÷

Recent Reviews

3
5
0
4
0
3
1
2
0
1
0

Ben Davidson
01/30/2017
Application:  IHC-P
Species: Human

Bioinformatics

Gene Symbol BAG3
Uniprot