ARF1 Antibody (1D9)

Images

 
Western Blot: ARF1 Antibody (1D9) [NB300-505] - Analysis of canine heart extract.
Immunocytochemistry/ Immunofluorescence: ARF1 Antibody (1D9) [NB300-505] - Analysis of ADP-Ribosylation Factor (green), F-Actin staining with Phalloidin (red) and nuclei with DAPI (blue) is shown.
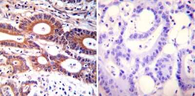
Immunohistochemistry-Paraffin: ARF1 Antibody (1D9) [NB300-505] - Both normal and cancer biopsies of deparaffinized Human colon carcinoma tissues.
Flow Cytometry: ARF1 Antibody (1D9) [NB300-505] - Analysis of MCF-7 cells compared to an isotype control (blue).
Immunocytochemistry/ Immunofluorescence: ARF1 Antibody (1D9) [NB300-505] - ADP-Ribosylation Factor (green), F-Actin staining with Phalloidin (red) and nuclei with DAPI (blue) is shown.
Immunocytochemistry/ Immunofluorescence: ARF1 Antibody (1D9) [NB300-505] - Analysis of ADP-Ribosylation Factor (green), F-Actin staining with Phalloidin (red) and nuclei with DAPI (blue) is shown.
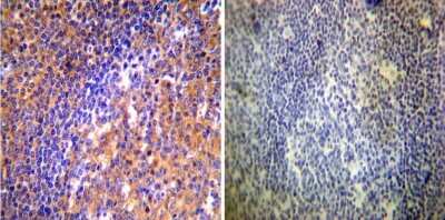
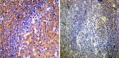
Immunohistochemistry-Paraffin: ARF1 Antibody (1D9) [NB300-505] - Both normal and cancer biopsies of deparaffinized Human tonsil tissues.
Immunohistochemistry-Paraffin: ARF1 Antibody (1D9) [NB300-505] - Both normal and cancer biopsies of deparaffinized Human liver tissues.
Flow Cytometry: ARF1 Antibody (1D9) [NB300-505] - Analysis of 3T3 cells compared to an isotype control (blue).
Flow Cytometry: ARF1 Antibody (1D9) [NB300-505] - Analysis of Hela cells compared to an isotype control (blue).

Product Details

Summary
Product Discontinued
View other related ARF1 Primary Antibodies

Order Details


    • Catalog Number
      NB300-505
    • Availability
      Product Discontinued

    Can't find what you are looking for? Use our Antibody Concierge Service & we will help you locate your antibody!

    Or feel free to contact us for alternative products.

ARF1 Antibody (1D9) Summary

Immunogen
Recombinant human ARF1.
Localization
Golgi Apparatus
Specificity
Detects ADP-ribosylation factor1 (Arf 1), Arf 3, Arf 5 and Arf 6 and at about a ten-fold reduction with Arf 4.
Isotype
IgG1
Clonality
Monoclonal
Host
Mouse
Gene
ARF1
Purity
Unpurified
Innovator's Reward
Test in a species/application not listed above to receive a full credit towards a future purchase.

Applications/Dilutions

Dilutions
  • ELISA 1:100 - 1:2000
  • Flow Cytometry 1:20
  • Immunocytochemistry/ Immunofluorescence 1:500
  • Immunohistochemistry 1:100
  • Immunohistochemistry-Paraffin 1:100
  • Immunoprecipitation 1:10 - 1:500
  • Western Blot 1:500
Application Notes
ELISA usage was reported in scientific literature. WB: Detects an approx. 21 kDa protein representing Arf in rat pancreas extract. IF: Staining of Arf in rat pancreas results in staining of the cytoplasmic face of the trans-Golgi membranes.This antibody cannot be used to neutralize Arf in solution.
Control
ARF1 Overexpression Lysate
Publications
Read Publications using
NB300-505 in the following applications:

Reactivity Notes

Bovine reactivity reported in scientific literature (PMID: 10747089). Please note that this antibody is reactive to Mouse and derived from the same host, Mouse. Additional Mouse on Mouse blocking steps may be required for IHC and ICC experiments. Please contact Technical Support for more information.

Packaging, Storage & Formulations

Storage
Store at -20C. Avoid freeze-thaw cycles.
Buffer
Ascites
Preservative
0.05% Sodium Azide
Purity
Unpurified

Alternate Names for ARF1 Antibody (1D9)

  • ADP-ribosylation factor 1
  • ARF1

Background

The ADP-ribosylation factor (Arf) family comprises a group of structurally and functionally conserved 21 kDa proteins, which are members of the Ras superfamily of regulatory GTP-binding proteins. Arf is involved in intracellular protein traffic to and within the Golgi complex. Arf has a number of disparate activities including maintenance of organelle integrity, assembly of coat proteins, as a co-factor for cholera toxin and as an activator of phospholipase D. The Arf family is divided functionally into the Arf and the Arf-like (Arl) proteins. Arfs share more than 60% sequence identity, appear to be ubiquitous in eukaryotes, and are highly conserved evolutionarily.

Limitations

This product is for research use only and is not approved for use in humans or in clinical diagnosis. Primary Antibodies are guaranteed for 1 year from date of receipt.

Customers Who Viewed This Item Also Viewed...

NB200-106
Species: Mu, Rt
Applications: ELISA, ICC/IF, IHC, IHC-Fr,  IHC-P, WB
NBP2-41263
Species: Hu, Mu, Rt
Applications: ELISA, ICC/IF, IHC,  IHC-P, WB
H00009266-M02
Species: Hu, Mu, Rt
Applications: ELISA, ICC/IF, IHC, IHC-Fr,  IHC-P, S-ELISA, WB
NBP1-85727
Species: Hu
Applications: ICC/IF, IHC,  IHC-P
NB110-68800
Species: Hu, Mu, Pm
Applications: ICC/IF, WB
AF6260
Species: Hu
Applications: WB
NBP2-67471
Species: Hu, Mu, Rt
Applications: ICC/IF, IHC,  IHC-P, WB
NBP2-22513
Species: Hu
Applications: ICC/IF, IHC,  IHC-P, IP, WB
NBP2-99493
Species: Hu, Mu, Rt
Applications: IHC,  IHC-P
NBP3-48120
Species: Hu, Mu, Rt
Applications: ELISA, ICC/IF, IHC, IP, , WB
NBP1-88842
Species: Hu
Applications: ICC/IF, IHC,  IHC-P, WB
H00000381-M01
Species: Ba, Ca, Hu, Mu, Rt
Applications: ELISA, ICC/IF, WB
NBP2-34078
Species: Hu
Applications: ICC/IF, IHC,  IHC-P
NBP2-34294
Species: Hu, Mu, Rt
Applications: Flow, IHC,  IHC-P
NBP2-00513
Species: Hu, Pm, Mu, Rt
Applications: Flow, ICC/IF, IHC,  IHC-P, WB
NBP2-50037
Species: Hu, Mu, Rt
Applications: ICC/IF, IHC, KO, WB
AF2214
Species: Hu
Applications: ICC, IHC, WB
NBP3-16602
Species: Hu, Mu, Rt
Applications: IHC,  IHC-P, IP, WB
NBP1-89544
Species: Hu
Applications: ChIP-EXO-SEQ, ICC/IF, IHC,  IHC-P, WB
NB300-505
Species: Hu, Mu, Rt, Bv, Ca
Applications: WB, ELISA, Flow, ICC/IF, IHC, IP

Publications for ARF1 Antibody (NB300-505)(14)

We have publications tested in 1 confirmed species: Human.

We have publications tested in 5 applications: ELISA, ICC/IF, IF/IHC, IP, WB.


Filter By Application
ELISA
(2)
ICC/IF
(4)
IF/IHC
(1)
IP
(1)
WB
(5)
All Applications
Filter By Species
Human
(4)
All Species
Showing Publications 1 - 10 of 14. Show All 14 Publications.
Publications using NB300-505 Applications Species
Jia J, Tang S, Yue X et al. An A-Kinase Anchoring Protein (ACBD3) Coordinates Traffic-Induced PKA Activation At The Golgi The Journal of biological chemistry 2023-04-10 [PMID: 37044218] (WB, Human) WB Human
Wei M, Zhu Z, Wu J et al. DRAM1 deficiency affects the organization and function of the Golgi apparatus Cell. Signal. 2019-07-26 [PMID: 31356858] (WB, Human) WB Human
Nawrotek A, Benabdi S et al. PH-domain-binding inhibitors of nucleotide exchange factor BRAG2 disrupt Arf GTPase signaling. Nat Chem Biol 2019-01-04 [PMID: 30742123] (ICC/IF, Human) ICC/IF Human
Ramirez-Peinado S, Ignashkova TI, van Raam BJ et al. TRAPPC13 modulates autophagy and the response to Golgi stress. J. Cell. Sci. 2017-05-23 [PMID: 28536105]
Reiling JH, Olive AJ, Sanyal S et al. A CREB3-ARF4 signalling pathway mediates the response to Golgi stress and susceptibility to pathogens. Nat Cell Biol. 2013-12-01 [PMID: 24185178] (WB, Human) WB Human
Wang J, Sun HQ, Macia E, Kirchhausen T, Watson H, Bonifacino JS, Yin HL. PI4P promotes the recruitment of the GGA adaptor proteins to the trans-Golgi network and regulates their recognition of the ubiquitin sorting signal. Mol Biol Cell;18(7):2646-55. 2007-07-01 [PMID: 17494868] (ICC/IF) ICC/IF
Shen X, Xu KF, Fan Q, Pacheco-Rodriguez G, Moss J, Vaughan M. Association of brefeldin A-inhibited guanine nucleotide-exchange protein 2 (BIG2) with recycling endosomes during transferrin uptake. Proc Natl Acad Sci U S A;103(8):2635-40. 2006-02-21 [PMID: 16477018] (ELISA) ELISA
Belov GA, Fogg MH, Ehrenfeld E. Poliovirus proteins induce membrane association of GTPase ADP-ribosylation factor. J Virol;79(11):7207-16. 2005-06-01 [PMID: 15890959] (WB) WB
Chan D, Strang M, Judson B, Brown WJ. Inhibition of membrane tubule formation and trafficking by isotetrandrine, an antagonist of G-protein-regulated phospholipase A2 enzymes. Mol Biol Cell. 15(4):1871-80. 2004-04-01 [PMID: 14767064] (ICC/IF) ICC/IF
Spitzenberger F, Pietropaolo S, Verkade P, Habermann B, Lacas-Gervais S, Mziaut H, Pietropaolo M, Solimena M. Islet cell autoantigen of 69 kDa is an arfaptin-related protein associated with the Golgi complex of insulinoma INS-1 cells. J Biol Chem;278(28):26166-73. 2003-07-11 [PMID: 12682071] (IP) IP
Show All 14 Publications.

Reviews for ARF1 Antibody (NB300-505) (0)

There are no reviews for ARF1 Antibody (NB300-505). By submitting a review you will receive an Amazon e-Gift Card or Novus Product Discount.
  • Review with no image -- $10/€7/£6/$10 CAD/¥70 Yuan/¥1110 Yen
  • Review with an image -- $25/€18/£15/$25 CAD/¥150 Yuan/¥2500 Yen

Product General Protocols

Video Protocols

WB Video Protocol
ICC/IF Video Protocol

FAQs for ARF1 Antibody (NB300-505) (0)

There are no specific FAQs related to this product. Read our general customer & technical service FAQs.

Control Lysate(s)

Secondary Antibodies

 

Isotype Controls

Additional ARF1 Products

Research Areas for ARF1 Antibody (NB300-505)

Find related products by research area.

Blogs on ARF1.

Arf1: A New Focus In Cancer Drug Therapy
ARF1 (ADP-ribosylation factor 1) is a protein in the ARF gene family that is responsible for vesicular trafficking within the cell through its activation of phospholipase D. It is found in the cells golgi apparatus and its main function is intra-Golgi...  Read full blog post.

Contact Information

Product PDFs

Calculators

Concentration Calculator

The concentration calculator allows you to quickly calculate the volume, mass or concentration of your vial. Simply enter your mass, volume, or concentration values for your reagent and the calculator will determine the rest.

=
÷

Review this Product

Be the first to review our ARF1 Antibody (1D9) and receive a gift card or discount.

Bioinformatics

Gene Symbol ARF1
Entrez
Uniprot