AlphaB Crystallin/CRYAB Antibody (JA50-32)

Images

 
Western Blot: AlphaB Crystallin/CRYAB Antibody (JA50-32) [NBP2-67149] - Western blot analysis of AlphaB Crystallin/CRYAB on different lysates. Proteins were transferred to a PVDF membrane and blocked with 5% BSA in PBS ...read more
Immunocytochemistry/ Immunofluorescence: AlphaB Crystallin/CRYAB Antibody (JA50-32) [NBP2-67149] - Staining Alpha B Crystallin in Hela cells (green). The nuclear counter stain is DAPI (blue). Cells were fixed in ...read more
Immunohistochemistry-Paraffin: AlphaB Crystallin/CRYAB Antibody (JA50-32) [NBP2-67149] - Analysis of paraffin-embedded human prostate tissue using anti-Alpha B Crystallin antibody. Counter stained with hematoxylin.
Western Blot: AlphaB Crystallin/CRYAB Antibody (JA50-32) [NBP2-67149] - Analysis of Alpha B Crystallin on human skeleton musle (1) and mouse heart (2) tissues lysate using anti-Alpha B Crystallin antibody at 1/1,000 ...read more
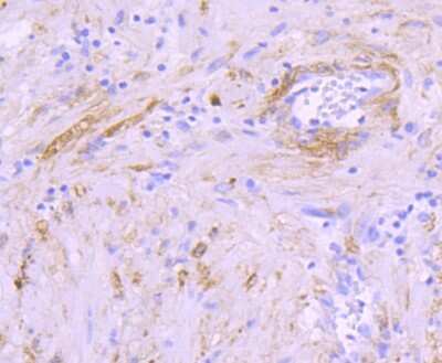
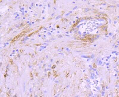
Immunohistochemistry-Paraffin: AlphaB Crystallin/CRYAB Antibody (JA50-32) [NBP2-67149] - Analysis of paraffin-embedded human embryonic skeletal muscle tissue using anti-Alpha B Crystallin antibody. Counter stained with ...read more

Product Details

Summary
Product Discontinued
View other related AlphaB Crystallin/CRYAB Primary Antibodies

Order Details


    • Catalog Number
      NBP2-67149
    • Availability
      Product Discontinued

    Can't find what you are looking for? Use our Antibody Concierge Service & we will help you locate your antibody!

    Or feel free to contact us for alternative products.

AlphaB Crystallin/CRYAB Antibody (JA50-32) Summary

Additional Information
Recombinant Monoclonal Antibody.
Immunogen
Synthetic peptide within Human AlphaB Crystallin/CRYAB aa 126-175 / 175. (SwissProt: P02511 Human; SwissProt: P23928 Rat)
Localization
Nucleus, Cytoplasm.
Isotype
IgG
Clonality
Monoclonal
Host
Rabbit
Gene
CRYAB
Purity
Protein A purified
Innovator's Reward
Test in a species/application not listed above to receive a full credit towards a future purchase.

Applications/Dilutions

Dilutions
  • Immunocytochemistry/ Immunofluorescence 1:50-1:200
  • Immunohistochemistry
  • Immunohistochemistry-Paraffin 1:50-1:200
  • Immunoprecipitation
  • Western Blot 1:500-1:2000

Packaging, Storage & Formulations

Storage
Store at 4C short term. Aliquot and store at -20C long term. Avoid freeze-thaw cycles.
Buffer
TBS (pH7.4), 0.05% BSA, 40% Glycerol
Preservative
0.05% Sodium Azide
Concentration
1 mg/ml
Purity
Protein A purified

Alternate Names for AlphaB Crystallin/CRYAB Antibody (JA50-32)

  • alpha B crystallin
  • alpha(B)-crystallin
  • AlphaB Crystallin
  • alpha-crystallin B chain
  • CRYA2
  • CRYA2alpha crystallin B chain
  • CRYAB
  • crystallin, alpha B
  • CTPP2
  • Heat shock protein beta-5
  • heat-shock 20 kD like-protein
  • HSPB5
  • Renal carcinoma antigen NY-REN-27
  • Rosenthal fiber component

Background

Crystallin AB is a member of the small heat shock protein family and expressed in several tissues including brain, kidney cardiac and skeletal muscle. Crystallin AB functions as a molecular chaperone and in intracellular architecture. Crystallin AB has shown to have interactions with CRYAA, CRYGC, CRYBB2, CRYBA1 and HSPB8. Defects in crystalline AB have been linked to cause myopathy myofibrillar type 2, cataract posterior polar type 2, and myopathy myofibrillar fatal infantile hypertonic alpha-B crystallin-related (MFMFIH-CRYAB).

Limitations

This product is for research use only and is not approved for use in humans or in clinical diagnosis. Primary Antibodies are guaranteed for 1 year from date of receipt.

Customers Who Viewed This Item Also Viewed...

NBP2-32972
Species: Ch, Pm, Hu, Pm, Mu, Rt, Sh
Applications: Flow, ICC/IF, IHC,  IHC-P, WB
NBP2-46354
Species: Hu, Mu, Rt
Applications: ICC/IF, IHC,  IHC-P, WB
AF3844
Species: Hu, Mu
Applications: IHC
MAB4987
Species: Hu, Mu, Rt
Applications: WB
NB300-141
Species: Bv, Ch, Eq, Gp, Hu, Mu, Po, Rb, Rt
Applications: ICC/IF, IHC, IHC-Fr,  IHC-P, Simple Western, WB
NBP3-16751
Species: Hu, Mu, Rt
Applications: ICC/IF, IHC,  IHC-P, WB
NBP1-81696
Species: Hu, Mu, Rt
Applications: ICC/IF, IHC,  IHC-P, WB
NBP2-52490
Species: Hu
Applications: CyTOF-ready, ELISA, Flow, WB
H00001421-M03
Species: Hu
Applications: ELISA, S-ELISA, WB
H00001415-M02
Species: Hu
Applications: ELISA, ICC/IF, WB
NBP3-03301
Species: Hu, Mu, Rt
Applications: ICC/IF, WB
NBP1-87851
Species: Hu
Applications: IHC,  IHC-P
MAB1417
Species: Bv, Hu, Mu
Applications: ICC, IHC
NB200-103
Species: Hu, Mu, Rt, Xp(-), Ye
Applications: CyTOF-ready, ELISA, Flow-IC, Flow, ICC/IF, IHC, IHC-Fr,  IHC-P, IP, WB
NBP2-15365
Species: Hu, Mu, Rt
Applications: ICC/IF, IHC, IHC-Fr,  IHC-P, S-ELISA, WB

Publications for AlphaB Crystallin/CRYAB Antibody (NBP2-67149) (0)

There are no publications for AlphaB Crystallin/CRYAB Antibody (NBP2-67149).
By submitting your publication information earn gift cards and discounts for future purchases.

Reviews for AlphaB Crystallin/CRYAB Antibody (NBP2-67149) (0)

There are no reviews for AlphaB Crystallin/CRYAB Antibody (NBP2-67149). By submitting a review you will receive an Amazon e-Gift Card or Novus Product Discount.
  • Review with no image -- $10/€7/£6/$10 CAD/¥70 Yuan/¥1110 Yen
  • Review with an image -- $25/€18/£15/$25 CAD/¥150 Yuan/¥2500 Yen

Product General Protocols

Find general support by application which include: protocols, troubleshooting, illustrated assays, videos and webinars.

Video Protocols

WB Video Protocol
ICC/IF Video Protocol

FAQs for AlphaB Crystallin/CRYAB Antibody (NBP2-67149) (0)

There are no specific FAQs related to this product. Read our general customer & technical service FAQs.

Contact Information

Product PDFs

Calculators

Concentration Calculator

The concentration calculator allows you to quickly calculate the volume, mass or concentration of your vial. Simply enter your mass, volume, or concentration values for your reagent and the calculator will determine the rest.

=
÷

Review this Product

Be the first to review our AlphaB Crystallin/CRYAB Antibody (JA50-32) and receive a gift card or discount.

Bioinformatics

Gene Symbol CRYAB