ALDH2 Antibody (7-D8) Summary
| Immunogen |
Synthetic peptide within Human ALDH2 aa 1-50 / 517. (SwissProt: P05091 Human) |
| Localization |
Mitochondrion matrix |
| Isotype |
IgG1 |
| Clonality |
Monoclonal |
| Host |
Mouse |
| Gene |
ALDH2 |
| Purity |
Protein A purified |
| Innovator's Reward |
Test in a species/application not listed above to receive a full credit towards a future purchase. |
Applications/Dilutions
| Dilutions |
- Immunocytochemistry/ Immunofluorescence 1:100-1:200
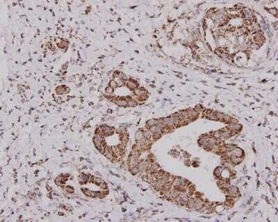
- Immunohistochemistry 1:10 - 1:500
- Immunohistochemistry-Paraffin 1:200-1:500
- Western Blot 1:2000
|
Packaging, Storage & Formulations
| Storage |
Store at 4C short term. Aliquot and store at -20C long term. Avoid freeze-thaw cycles. |
| Buffer |
PBS (pH7.4), 0.2% BSA, 40% Glycerol |
| Preservative |
0.05% Sodium Azide |
| Concentration |
2 mg/ml |
| Purity |
Protein A purified |
Alternate Names for ALDH2 Antibody (7-D8)
Background
ALDH2 belongs to the aldehyde dehydrogenase family of proteins. Aldehyde dehydrogenase is the second enzyme of the major oxidative pathway of alcohol metabolism. Two major liver isoforms of this enzyme, cytosolic and mitochondrial, can be distinguished by their electrophoretic mobilities, kinetic properties, and subcellular localizations. Most Caucasians have two major isozymes, while approximately 50% of Orientals have only the cytosolic isozyme, missing the mitochondrial isozyme. A remarkably higher frequency of acute alcohol intoxication among Orientals than among Caucasians could be related to the absence of the mitochondrial isozyme. This gene encodes a mitochondrial isoform, which has a low Km for acetaldehydes, and is localized in mitochondrial matrix. [provided by RefSeq]
Limitations
This product is for research use only and is not approved for use in humans or in clinical diagnosis. Primary Antibodies are
guaranteed for 1 year from date of receipt.
Customers Who Viewed This Item Also Viewed...
Species: Ca, Hu, Rt
Applications: Flow, ICC/IF, IHC, IHC-P, WB
Species: Hu, Mu, Rt
Applications: Flow, ICC/IF, IHC, IHC-P, WB
Species: Hu
Applications: IHC, WB
Species: Hu, Mu, Rt
Applications: ICC/IF, IHC, IHC-P, WB
Species: Hu, Mu
Applications: WB
Species: Hu, Mu
Applications: ICC, IHC, IP, Simple Western, WB
Species: ET
Applications: ELISA, ICC/IF, IHC, IHC-P, IP, Simple Western, WB
Species: Hu
Applications: ICC/IF, IHC, IHC-P, KD, WB
Species: Hu
Applications: Flow, ICC/IF, IHC, IHC-P, WB
Species: Hu
Applications: IP, WB
Species: Hu, Mu, Rt
Applications: IHC, IHC-P, IP, WB
Species: Hu, Mu, Pm, Rt
Applications: ICC/IF, IHC, IHC-P, WB
Species: Hu, Mu, Rt
Applications: Flow, Func, ICC/IF, IHC, IHC-P, WB
Species: Hu
Applications: IHC, IHC-P, WB
Species: Hu
Applications: ICC/IF, IHC, IHC-P, WB
Species: Hu
Applications: WB, ICC/IF, IHC
Publications for ALDH2 Antibody (NBP2-67131) (0)
There are no publications for ALDH2 Antibody (NBP2-67131).
By submitting your publication information earn gift cards and discounts for future purchases.
Reviews for ALDH2 Antibody (NBP2-67131) (0)
There are no reviews for ALDH2 Antibody (NBP2-67131).
By submitting a review you will receive an Amazon e-Gift Card or Novus Product Discount.
- Review with no image -- $10/€7/£6/$10 CAD/¥70 Yuan/¥1110 Yen
- Review with an image -- $25/€18/£15/$25 CAD/¥150 Yuan/¥2500 Yen
Product General Protocols
Find general support by application which include: protocols, troubleshooting, illustrated assays, videos and webinars.
Video Protocols
FAQs for ALDH2 Antibody (NBP2-67131) (0)
Secondary Antibodies
| |
Isotype Controls
|
Additional ALDH2 Products
Research Areas for ALDH2 Antibody (NBP2-67131)
Find related products by research area.
|
Blogs on ALDH2