Filter ResultsClear All
clearclear

Protein/Target

clearclearclearclearclearclearclearclearclear

Modification

clearclearclear

Gene Symbol

clearclearclearclearclear

Has Sample Size

clear

Promotional Item

Sort By:
page of 20

IL-1 beta/IL-1F2 Antibodies

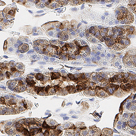
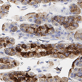
Interleukin-1 beta (IL-1 beta), also called IL-1F2, is a proinflammatory cytokine expressed by cells of the immune system that plays a role in host defense following injury or inflammation. The inactive, pro-form of the human IL-1 beta protein is 269 amino acids (aa) in length with a theoretical molecular weight (MW) of 31 kDa, whereas the cleaved, active form is 18 kDa. We offer IL-1 beta/IL-1F2 Antibodies in our catalog have been cited in over 500+ publications with multiple 4- and 5-star customer reviews. Browse our inventory of recombinant, monoclonal, polyclonal, and IL-1 beta-conjugated antibodies. Validated research applications for our IL-1 beta/IL-1F2 antibodies include Blocking/Neutralizing, CyTOF-ready, Dual RNAscope ISH-IHC, ELISA, Flow Cytometry, ICC, Immunofluorescence, IHC, IHC-Frozen, IHC-Paraffin, Immunoprecipitation, Simple Western, and Western Blot. These IL-1 beta antibodies are reactive in a range of species such as Human, Mouse, Rat, Canine, Equine, Porcine, Rabbit, and more. Choose the anti-IL-1 beta antibody best suited for your research needs by viewing the technical details, images, references, reviews, and related products. Each IL-1 beta/IL-1F2 antibody is fully covered by Novus’ Guarantee+ to give you peace of mind and support when you need it.
Alternate Names for IL-1 beta/IL-1F2 Antibodies
anti-IL-1 beta/IL-1F2 antibody, anti-IL1B antibody, anti-catabolin antibody, anti-IL-1 antibody, anti-IL-1 beta antibody, anti-IL-1B antibody, anti-IL1-BETA antibody, anti-IL1F2IL-1 beta antibody, anti-interleukin 1, beta antibody, anti-interleukin-1 beta antibody, anti-preinterleukin 1 beta antibody, anti-pro-interleukin-1-beta antibody
238 Results for "il-1-beta-il-1f2" in Primary Antibodies
Rt
Species Glossary
Reactivity: Rt
IHC, B/N, ICC/IF
Applications: IHC, B/N, ICC/IF
Mouse Monoclonal
Host: Mouse Monoclonal
Sample Size Available
Sizes: Sample Size Available
Unconjugated  
Available Conjugates:
Available Formulations
Formulation Catalog # Availability Price  
compare
(select up to 3 products from this page to compare)
Hu
Species Glossary
Reactivity: Hu
WB, B/N, ICC/IF
Applications: WB, B/N, ICC/IF
Goat Polyclonal
Host: Goat Polyclonal
Unconjugated  
         
Validated by:          
compare
(select up to 3 products from this page to compare)
Po
Species Glossary
Reactivity: Po
WB, B/N
Applications: WB, B/N
Goat Polyclonal
Host: Goat Polyclonal
Sample Size Available
Sizes: Sample Size Available
Unconjugated  
Available Conjugates:
Available Formulations
Formulation Catalog # Availability Price  
compare
(select up to 3 products from this page to compare)
100 μg
Fe
Species Glossary
Reactivity: Fe
WB, B/N, ELISA(Cap), ICC/IF
Applications: WB, B/N, ELISA(Cap), ICC/IF
Goat Polyclonal
Host: Goat Polyclonal
Sample Size Available
Sizes: Sample Size Available
Unconjugated  
Available Conjugates:
Available Formulations
Formulation Catalog # Availability Price  
compare
(select up to 3 products from this page to compare)
Hu
Species Glossary
Reactivity: Hu
WB, Flow, IHC
Applications: WB, Flow, IHC
Mouse Monoclonal
Host: Mouse Monoclonal
IMG-6830A
Alt Catalog# IMG-6830A
Sample Size Available
Sizes: Sample Size Available
Unconjugated  
Available Conjugates:
         
Validated by:          
Available Formulations
Formulation Catalog # Availability Price  
compare
(select up to 3 products from this page to compare)
Po
Species Glossary
Reactivity: Po
WB, B/N
Applications: WB, B/N
Mouse Monoclonal
Host: Mouse Monoclonal
Sample Size Available
Sizes: Sample Size Available
Unconjugated  
Available Conjugates:
Available Formulations
Formulation Catalog # Availability Price  
compare
(select up to 3 products from this page to compare)
Ca
Species Glossary
Reactivity: Ca
WB, B/N, CyTOF-ready, Flow
Applications: WB, B/N, CyTOF-ready, Flow
Goat Polyclonal
Host: Goat Polyclonal
Sample Size Available
Sizes: Sample Size Available
Unconjugated  
Available Conjugates:
Available Formulations
Formulation Catalog # Availability Price  
compare
(select up to 3 products from this page to compare)
100 μg
Eq
Species Glossary
Reactivity: Eq
WB, B/N, ICC/IF
Applications: WB, B/N, ICC/IF
Goat Polyclonal
Host: Goat Polyclonal
Sample Size Available
Sizes: Sample Size Available
Unconjugated  
Available Conjugates:
Available Formulations
Formulation Catalog # Availability Price  
compare
(select up to 3 products from this page to compare)
page of 20