ZNF230 Antibody (OTI1E2) - Azide and BSA Free

Images

 
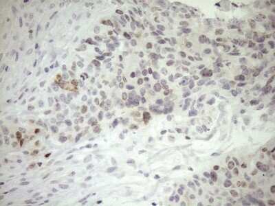
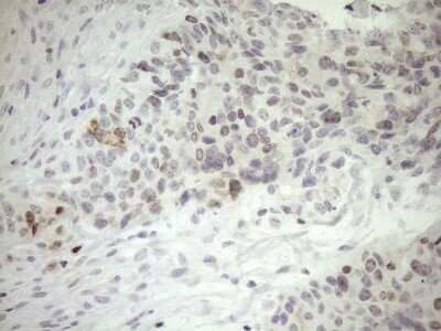
Immunohistochemistry: ZNF230 Antibody (OTI1E2) - Azide and BSA Free [NBP2-74934] - Analysis of Adenocarcinoma of Human endometrium tissue. (Heat-induced epitope retrieval by 1mM EDTA in 10mM Tris buffer (pH8.5) at 120C ...read more

Product Details

Summary
Reactivity HuSpecies Glossary
Applications IHC
Clone
OTI1E2
Clonality
Monoclonal
Host
Mouse
Conjugate
Unconjugated
Format
Azide and BSA Free
Concentration
LYOPH

Order Details

ZNF230 Antibody (OTI1E2) - Azide and BSA Free Summary

Description
Novus Biologicals Mouse ZNF230 Antibody (OTI1E2) - Azide and BSA Free (NBP2-46425) is a monoclonal antibody validated for use in IHC. All Novus Biologicals antibodies are covered by our 100% guarantee.
Immunogen
Full length human recombinant protein of human ZNF230 (NP_006291) produced in E.coli.
Isotype
IgG1
Clonality
Monoclonal
Host
Mouse
Gene
ZNF230
Purity
Immunogen affinity purified
Innovator's Reward
Test in a species/application not listed above to receive a full credit towards a future purchase.

Applications/Dilutions

Dilutions
  • Immunohistochemistry 1:150
  • Immunohistochemistry-Paraffin
Theoretical MW
54.4 kDa.
Disclaimer note: The observed molecular weight of the protein may vary from the listed predicted molecular weight due to post translational modifications, post translation cleavages, relative charges, and other experimental factors.

Packaging, Storage & Formulations

Storage
Store at -20C. Avoid freeze-thaw cycles.
Buffer
Lyophilized from PBS (pH 7.3) with 8% Trehalose
Preservative
No Preservative
Concentration
LYOPH
Purity
Immunogen affinity purified
Reconstitution Instructions
we recommend adding 100uL distilled water to a final antibody concentration of about 1 mg/mL. To use this carrier-free antibody for conjugation experiment, we strongly recommend performing another round of desalting process.

Alternate Names for ZNF230 Antibody (OTI1E2) - Azide and BSA Free

  • FLJ12515
  • FLJ14855
  • zinc finger protein 502

Background

ZNF230 is encoded by this gene contains a RING finger, a motif known to be involved in protein-DNA and protein-protein interactions. Abundant expression of this gene was found in the testicular tissue of fertile men, but was not detected in azoospermic patients. Studies of the mouse counterpart suggest that this gene may function as a testis specific transcription factor during spermatogenesis.

Limitations

This product is for research use only and is not approved for use in humans or in clinical diagnosis. Primary Antibodies are guaranteed for 1 year from date of receipt.

Customers Who Viewed This Item Also Viewed...

H00050862-M01
Species: Hu, Mu, Rt
Applications: ELISA, IHC,  IHC-P, KD, S-ELISA, WB
AF5286
Species: Hu
Applications: WB
NBP2-94035
Species: Hu, Mu, Rt
Applications: ChIP, ELISA, ICC/IF, IHC,  IHC-P, WB
NBP1-30475
Species: Hu, Mu
Applications: IHC,  IHC-P, IP, WB
3047-CC
Species: Hu
Applications: BA
DPSG10
Species: Hu
Applications: ELISA
NB600-232
Species: Hu, Mu
Applications: ChIP, IHC,  IHC-P, IP, WB
NBP2-74934
Species: Hu
Applications: IHC

Publications for ZNF230 Antibody (NBP2-74934) (0)

There are no publications for ZNF230 Antibody (NBP2-74934).
By submitting your publication information earn gift cards and discounts for future purchases.

Reviews for ZNF230 Antibody (NBP2-74934) (0)

There are no reviews for ZNF230 Antibody (NBP2-74934). By submitting a review you will receive an Amazon e-Gift Card or Novus Product Discount.
  • Review with no image -- $10/€7/£6/$10 CAD/¥70 Yuan/¥1110 Yen
  • Review with an image -- $25/€18/£15/$25 CAD/¥150 Yuan/¥2500 Yen

Product General Protocols

Find general support by application which include: protocols, troubleshooting, illustrated assays, videos and webinars.

FAQs for ZNF230 Antibody (NBP2-74934) (0)

There are no specific FAQs related to this product. Read our general customer & technical service FAQs.

Secondary Antibodies

 

Isotype Controls

Additional ZNF230 Products

Research Areas for ZNF230 Antibody (NBP2-74934)

Find related products by research area.

Blogs on ZNF230

There are no specific blogs for ZNF230, but you can read our latest blog posts.

Customers Who Bought This Also Bought

Contact Information

Product PDFs

Calculators

Concentration Calculator

The concentration calculator allows you to quickly calculate the volume, mass or concentration of your vial. Simply enter your mass, volume, or concentration values for your reagent and the calculator will determine the rest.

=
÷

Review this Product

Be the first to review our ZNF230 Antibody (OTI1E2) - Azide and BSA Free and receive a gift card or discount.

Bioinformatics

Gene Symbol ZNF230