ZC3H12B Antibody - BSA Free

Images

 
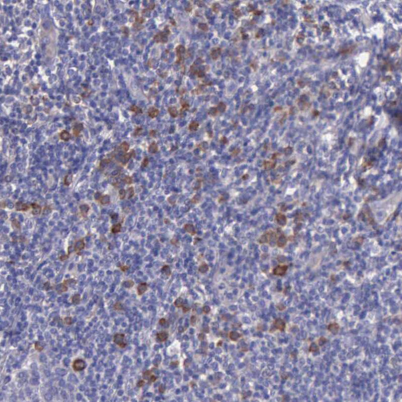
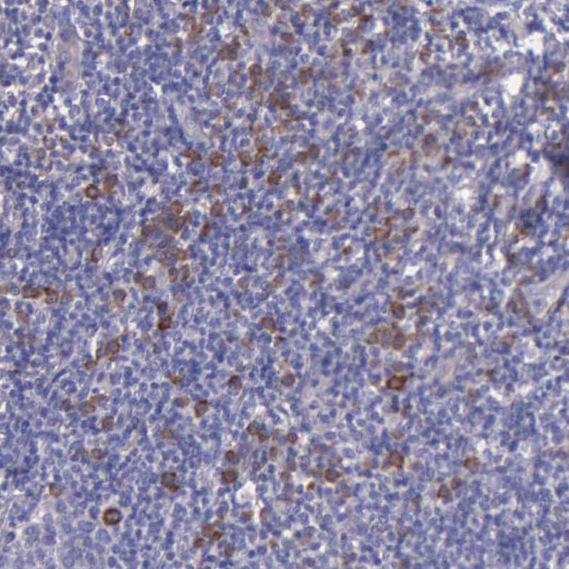
Staining of human tonsil shows moderate cytoplasmic positivity in non-germinal center cells.

Product Details

Summary
Reactivity Hu, Mu, RtSpecies Glossary
Applications IHC
Clonality
Polyclonal
Host
Rabbit
Conjugate
Unconjugated
Format
BSA Free

Order Details

View Available Formulations
Catalog# & Formulation Size Price

ZC3H12B Antibody - BSA Free Summary

Description
Novus Biologicals Rabbit ZC3H12B Antibody - BSA Free (NBP1-84332) is a polyclonal antibody validated for use in IHC. All Novus Biologicals antibodies are covered by our 100% guarantee.
Immunogen
This antibody was developed against Recombinant Protein corresponding to amino acids: GRALVMTRMDSISDSRLYESNPVRQRRPPLCREQHASWDPLPCTTDSYGYHSYPLSNSLMQPCYEPVMVRSVPEKMEQLWRNPWVGMCNDSREHMIPEHQYQTYKNLCN
Predicted Species
Mouse (95%), Rat (95%). Backed by our 100% Guarantee.
Isotype
IgG
Clonality
Polyclonal
Host
Rabbit
Gene
ZC3H12B
Purity
Immunogen affinity purified
Innovator's Reward
Test in a species/application not listed above to receive a full credit towards a future purchase.

Applications/Dilutions

Dilutions
  • Immunohistochemistry 1:50 - 1:200
  • Immunohistochemistry-Paraffin 1:50 - 1:200
Application Notes
For IHC-Paraffin, HIER pH 6 retrieval is recommended.
Control Peptide
ZC3H12B Protein (NBP1-84332PEP)

Packaging, Storage & Formulations

Storage
Store at 4C short term. Aliquot and store at -20C long term. Avoid freeze-thaw cycles.
Buffer
PBS (pH 7.2) and 40% Glycerol
Preservative
0.02% Sodium Azide
Purity
Immunogen affinity purified

Alternate Names for ZC3H12B Antibody - BSA Free

  • MCP-induced protein 2
  • zinc finger CCCH domain-containing protein 12B
  • zinc finger CCCH-type containing 12B

Background

ZC3H12B may function as RNase and regulate the levels of target RNA species (Potential)

Limitations

This product is for research use only and is not approved for use in humans or in clinical diagnosis. Primary Antibodies are guaranteed for 1 year from date of receipt.

Customers Who Viewed This Item Also Viewed...

MAB7875
Species: Hu, Mu
Applications: WB
DCP00
Species: Hu
Applications: ELISA
NB300-605
Species: Hu, Mu, Po, Rt
Applications: Flow, IB, ICC/IF, IHC, IHC-Fr,  IHC-P, In vitro, WB
NBP1-76917
Species: Hu, Mu, Rt
Applications: ELISA, ICC/IF, IHC,  IHC-P, WB
NBP2-47405
Species: Hu
Applications: IHC,  IHC-P
H00005105-M01
Species: Hu, Mu
Applications: ELISA, ICC/IF, IP, WB
NBP2-82064
Species: Hu, Mu, Rt
Applications: ELISA, ICC/IF, IHC,  IHC-P, WB
NBP2-33606
Species: Hu
Applications: ICC/IF, IHC,  IHC-P, WB
NBP1-91249
Species: Hu
Applications: IHC,  IHC-P, WB
NBP2-57496
Species: Hu
Applications: ICC/IF
NBP2-14871
Species: Mu, Rt
Applications: ICC/IF, WB
NBP1-85734
Species: Hu
Applications: ICC/IF, IHC,  IHC-P, WB
NB120-2860
Species: Ba, Bv, Ch, Hu, Mu, Rt
Applications: ELISA, Flow, ICC/IF, IHC,  IHC-P, WB
NBP2-02269
Species: Hu, Mu, Rt
Applications: Flow, IHC,  IHC-P, WB
NBP2-15669
Species: Mu, Rt, Ze
Applications: IHC-WhMt, IHC, WB
NBP2-82026
Species: Hu, Mu, Rt
Applications: ELISA, ICC/IF, IHC,  IHC-P, WB
NBP2-24613
Species: Hu
Applications: IHC,  IHC-P, Simple Western, WB
NBP1-84332
Species: Hu, Mu, Rt
Applications: IHC

Publications for ZC3H12B Antibody (NBP1-84332) (0)

There are no publications for ZC3H12B Antibody (NBP1-84332).
By submitting your publication information earn gift cards and discounts for future purchases.

Reviews for ZC3H12B Antibody (NBP1-84332) (0)

There are no reviews for ZC3H12B Antibody (NBP1-84332). By submitting a review you will receive an Amazon e-Gift Card or Novus Product Discount.
  • Review with no image -- $10/€7/£6/$10 CAD/¥70 Yuan/¥1110 Yen
  • Review with an image -- $25/€18/£15/$25 CAD/¥150 Yuan/¥2500 Yen

Product General Protocols

Find general support by application which include: protocols, troubleshooting, illustrated assays, videos and webinars.

FAQs for ZC3H12B Antibody (NBP1-84332) (0)

There are no specific FAQs related to this product. Read our general customer & technical service FAQs.

Secondary Antibodies

 

Isotype Controls

Additional ZC3H12B Products

Research Areas for ZC3H12B Antibody (NBP1-84332)

Find related products by research area.

Blogs on ZC3H12B

There are no specific blogs for ZC3H12B, but you can read our latest blog posts.

Customers Who Bought This Also Bought

Contact Information

Product PDFs

Calculators

Concentration Calculator

The concentration calculator allows you to quickly calculate the volume, mass or concentration of your vial. Simply enter your mass, volume, or concentration values for your reagent and the calculator will determine the rest.

=
÷

Review this Product

Be the first to review our ZC3H12B Antibody - BSA Free and receive a gift card or discount.

Bioinformatics

Gene Symbol ZC3H12B