Urocortin 3 Antibody

Images

 
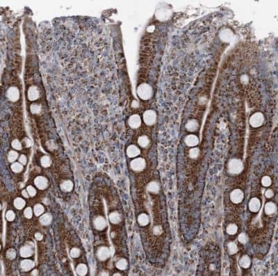
Immunohistochemistry-Paraffin: Urocortin 3 Antibody [NBP1-80732] - Staining of human duodenum shows strong granular cytoplasmic positivity in glandular cells.

Product Details

Summary
Product Discontinued
View other related Urocortin 3 Primary Antibodies

Order Details


    • Catalog Number
      NBP1-80732
    • Availability
      Product Discontinued

    Can't find what you are looking for? Use our Antibody Concierge Service & we will help you locate your antibody!

    Or feel free to contact us for alternative products.

Urocortin 3 Antibody Summary

Immunogen
This antibody was developed against Recombinant Protein corresponding to amino acids: HKFYKAKPIFSCLNTALSEAEKGQWEDASLLSKRSFHYLRSRDASSGEEEEGKEK
Isotype
IgG
Clonality
Polyclonal
Host
Rabbit
Gene
UCN3
Purity
Immunogen affinity purified
Innovator's Reward
Test in a species/application not listed above to receive a full credit towards a future purchase.

Applications/Dilutions

Dilutions
  • Immunohistochemistry 1:200 - 1:500
  • Immunohistochemistry-Paraffin 1:200 - 1:500
Application Notes
For IHC-Paraffin, HIER pH 6 retrieval is recommended.
Publications
Read Publications using NBP1-80732.

Reactivity Notes

Reactivity reported in scientific literature (PMID: 23778137)

Packaging, Storage & Formulations

Storage
Store at 4C short term. Aliquot and store at -20C long term. Avoid freeze-thaw cycles.
Buffer
PBS (pH 7.2) and 40% Glycerol
Preservative
0.02% Sodium Azide
Purity
Immunogen affinity purified

Alternate Names for Urocortin 3 Antibody

  • MGC119002
  • SPCSCP
  • stresscopin
  • Ucn III
  • UCNIII
  • urocortin 3 (stresscopin)
  • Urocortin III
  • urocortin-3

Background

Urocortin 3 is a member of the sauvagine/corticotropin-releasing factor/urotensin I family. It is structurally related to the corticotropin-releasing factor (CRF) gene and the encoded product is an endogenous ligand for CRF type 2 receptors. In the brain it may be responsible for the effects of stress on appetite. In spite of the gene family name similarity, the product of this gene has no sequence similarity to urotensin II. [provided by RefSeq]

Limitations

This product is for research use only and is not approved for use in humans or in clinical diagnosis. Primary Antibodies are guaranteed for 1 year from date of receipt.

Customers Who Viewed This Item Also Viewed...

H00001392-M02
Species: Hu
Applications: ELISA, IHC,  IHC-P, S-ELISA, WB
NBP3-12450
Species: Hu, Mu
Applications: ELISA, IHC,  IHC-P, WB
9134-TN
Species: Hu
Applications: BA
NB100-56485
Species: Bv, Ca, Ch, Hu, Ma, Mu, Rt
Applications: ICC/IF, Simple Western, WB
MAB7447
Species: Hu
Applications: IHC, WB
NBP1-00175
Species: Hu, Mu, Rt
Applications: ICC/IF, IHC, PEP-ELISA, Simple Western, WB
NBP1-87201
Species: Hu
Applications: IHC,  IHC-P, WB
NBP3-42365
Species: Hu
Applications: ICC/IF, IHC,  IHC-P, WB
NBP2-22203
Species: Hu, Pm, Mu, Rt
Applications: ELISA, Flow, ICC/IF, IHC,  IHC-P, WB
NB100-1533
Species: Hu, Mu, Po, Rt, Sh
Applications: Flow, ICC/IF, IHC,  IHC-P, PEP-ELISA, WB
NBP3-05161
Species: Hu, Mu
Applications: ELISA, ICC/IF, IHC,  IHC-P, WB
AF1230
Species: Hu, Mu, Rt
Applications: IHC, KO, WB
NBP2-37477
Species: Hu
Applications: ELISA, ICC/IF, IHC,  IHC-P, WB
NBP2-15698
Species: Hu, Mu, Rt
Applications: IHC,  IHC-P, WB
MAB1417
Species: Bv, Hu, Mu
Applications: ICC, IHC
NBP1-85958
Species: Hu, Mu, Rt
Applications: ICC/IF, IHC,  IHC-P, WB
AF887
Species: Hu, Mu, Rt
Applications: CyTOF-ready, IHC, ICFlow, Simple Western, WB
NBP3-15868
Species: Hu, Mu, Rt
Applications: ELISA, ICC/IF, IHC,  IHC-P, WB

Publications for Urocortin 3 Antibody (NBP1-80732)(3)

Reviews for Urocortin 3 Antibody (NBP1-80732) (0)

There are no reviews for Urocortin 3 Antibody (NBP1-80732). By submitting a review you will receive an Amazon e-Gift Card or Novus Product Discount.
  • Review with no image -- $10/€7/£6/$10 CAD/¥70 Yuan/¥1110 Yen
  • Review with an image -- $25/€18/£15/$25 CAD/¥150 Yuan/¥2500 Yen

Product General Protocols

Find general support by application which include: protocols, troubleshooting, illustrated assays, videos and webinars.

FAQs for Urocortin 3 Antibody (NBP1-80732) (0)

There are no specific FAQs related to this product. Read our general customer & technical service FAQs.

Contact Information

Product PDFs

Calculators

Concentration Calculator

The concentration calculator allows you to quickly calculate the volume, mass or concentration of your vial. Simply enter your mass, volume, or concentration values for your reagent and the calculator will determine the rest.

=
÷

Review this Product

Be the first to review our Urocortin 3 Antibody and receive a gift card or discount.

Bioinformatics

Gene Symbol UCN3
Entrez
Uniprot