UQCR Antibody - BSA Free

Images

 
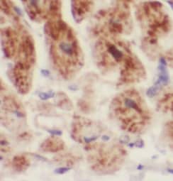
Immunohistochemistry: UQCR Antibody - BSA Free [NBP3-45638] - Immunohistochemical of paraffin-embedded human heart using (UQCR antibody) at dilution of 1:50

Product Details

Summary
Reactivity Hu, Mu, RtSpecies Glossary
Applications ELISA, IHC
Clonality
Polyclonal
Host
Rabbit
Conjugate
Unconjugated
Format
BSA Free

Order Details

UQCR Antibody - BSA Free Summary

Description
Novus Biologicals Rabbit UQCR Antibody - BSA Free (NBP3-45638) is a polyclonal antibody validated for use in IHC and ELISA. All Novus Biologicals antibodies are covered by our 100% guarantee.
Immunogen
ubiquinol-cytochrome c reductase, 6.4kDa subunit. (Uniprot# O14957)
Isotype
IgG
Clonality
Polyclonal
Host
Rabbit
Gene
UQCR11
Purity
Immunogen affinity purified
Innovator's Reward
Test in a species/application not listed above to receive a full credit towards a future purchase.

Applications/Dilutions

Dilutions
  • ELISA
  • Immunohistochemistry 1:20-1:200
Theoretical MW
6 kDa.
Disclaimer note: The observed molecular weight of the protein may vary from the listed predicted molecular weight due to post translational modifications, post translation cleavages, relative charges, and other experimental factors.

Packaging, Storage & Formulations

Storage
Store at -20C. Avoid freeze-thaw cycles.
Buffer
PBS, 50% Glycerol, pH (7.3)
Preservative
0.02% Sodium Azide
Purity
Immunogen affinity purified

Alternate Names for UQCR Antibody - BSA Free

  • cytochrome b-c1 complex subunit 10
  • 0710008D09Rik
  • QCR10
  • ubiquinol-cytochrome c reductase, complex III subunit XI
  • UQCR

Background

The UQCR gene encodes the smallest known component of the ubiquinol-cytochrome c reductase complex, which forms part of the mitochondrial respiratory chain. The encoded protein may function as a binding factor for the iron-sulfur protein in this complex. (pro

Limitations

This product is for research use only and is not approved for use in humans or in clinical diagnosis. Primary Antibodies are guaranteed for 1 year from date of receipt.

Customers Who Viewed This Item Also Viewed...

NBP1-93442
Species: Hu
Applications: IHC,  IHC-P
NB100-56503
Species: Dr, Hu, Mu, Rb, Rt
Applications: Flow-CS, Flow-IC, Flow, IB, ICC/IF, IHC,  IHC-P, Simple Western, WB
NBP1-87826
Species: Hu, Rt
Applications: ICC/IF, IHC,  IHC-P, Simple Western, WB
NBP2-93778
Species: Hu, Mu, Rt
Applications: ELISA, ICC/IF, IHC,  IHC-P, WB
MAB79671
Species: Hu, Mu, Rt
Applications: ICC, Simple Western, WB
NBP2-00574
Species: Hu, Mu, Rt
Applications: Flow, ICC/IF, IHC,  IHC-P, WB
NBP1-47791
Species: Hu, Mu, Rt
Applications: ChIP, ICC/IF, IHC,  IHC-P, WB
NBP1-85407
Species: Hu, Pm, RM
Applications: ICC/IF, IHC,  IHC-P, WB
NB100-74611
Species: Hu
Applications: ICC/IF, IHC,  IHC-P, IP, WB
NBP2-01506
Species: Hu
Applications: Flow, ICC/IF, IHC,  IHC-P, WB
NBP1-32767
Species: Hu, Mu, Rt
Applications: ICC/IF, IHC,  IHC-P, WB
NBP3-17746
Species: Hu
Applications: ICC/IF, WB
NBP3-46031
Species: Hu, Mu, Rt
Applications: ELISA, WB
NBP3-18420
Species: Hu
Applications: IP, WB
NBP3-48740
Species: Hu, Mu, Rt
Applications: IHC,  IHC-P, WB
NBP3-13165
Species: Hu, Mu, Rt
Applications: ICC/IF, IHC, IHC-Fr,  IHC-P, WB
NBP2-93516
Species: Hu, Mu, Rt
Applications: ELISA, WB
NBP3-45638
Species: Hu, Mu, Rt
Applications: ELISA, IHC

Publications for UQCR Antibody (NBP3-45638) (0)

There are no publications for UQCR Antibody (NBP3-45638).
By submitting your publication information earn gift cards and discounts for future purchases.

Reviews for UQCR Antibody (NBP3-45638) (0)

There are no reviews for UQCR Antibody (NBP3-45638). By submitting a review you will receive an Amazon e-Gift Card or Novus Product Discount.
  • Review with no image -- $10/€7/£6/$10 CAD/¥70 Yuan/¥1110 Yen
  • Review with an image -- $25/€18/£15/$25 CAD/¥150 Yuan/¥2500 Yen

Product General Protocols

Find general support by application which include: protocols, troubleshooting, illustrated assays, videos and webinars.

FAQs for UQCR Antibody (NBP3-45638) (0)

There are no specific FAQs related to this product. Read our general customer & technical service FAQs.

Secondary Antibodies

 

Isotype Controls

Additional UQCR Products

Array NBP3-45638

Research Areas for UQCR Antibody (NBP3-45638)

Find related products by research area.

Blogs on UQCR

There are no specific blogs for UQCR, but you can read our latest blog posts.

Customers Who Bought This Also Bought

Contact Information

Product PDFs

Calculators

Concentration Calculator

The concentration calculator allows you to quickly calculate the volume, mass or concentration of your vial. Simply enter your mass, volume, or concentration values for your reagent and the calculator will determine the rest.

=
÷

Review this Product

Be the first to review our UQCR Antibody - BSA Free and receive a gift card or discount.

Bioinformatics

Gene Symbol UQCR11