UAP1 Antibody (4H1)

Images

 
Western Blot: UAP1 Antibody (4H1) [NBP2-75694] - Western blot analysis of UAP1 on different lysates. Proteins were transferred to a PVDF membrane and blocked with 5% BSA in PBS for 1 hour at room temperature. The ...read more
Immunocytochemistry/ Immunofluorescence: UAP1 Antibody (4H1) [NBP2-75694] - Staining UAP1 (green) in Hela cells. The nuclear counter stain is DAPI (blue). Cells were fixed in paraformaldehyde, permeabilised with 0.25% ...read more
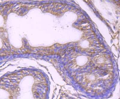
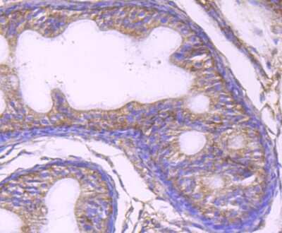
Immunohistochemistry-Paraffin: UAP1 Antibody (4H1) [NBP2-75694] - Analysis of paraffin-embedded rat epididymis tissue using anti-UAP1 antibody. Counter stained with hematoxylin.
Western Blot: UAP1 Antibody (4H1) [NBP2-75694] - Analysis of UAP1 on Jurkat cell lysate using anti-UAP1 antibody at 1/500 dilution.
Immunocytochemistry/ Immunofluorescence: UAP1 Antibody (4H1) [NBP2-75694] - Staining UAP1 (green) in A549 cells. The nuclear counter stain is DAPI (blue). Cells were fixed in paraformaldehyde, permeabilised with 0.25% ...read more
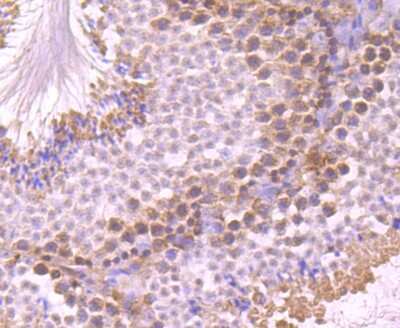
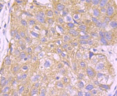
Immunohistochemistry-Paraffin: UAP1 Antibody (4H1) [NBP2-75694] - Analysis of paraffin-embedded human lung cancer tissue using anti-UAP1 antibody. Counter stained with hematoxylin.
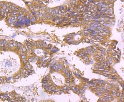
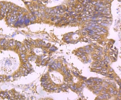
Immunohistochemistry-Paraffin: UAP1 Antibody (4H1) [NBP2-75694] - Analysis of paraffin-embedded human colon cancer tissue using anti-UAP1 antibody. Counter stained with hematoxylin.
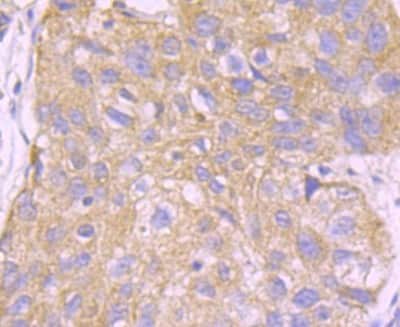
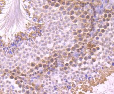
Immunohistochemistry-Paraffin: UAP1 Antibody (4H1) [NBP2-75694] - Analysis of paraffin-embedded mouse testis tissue using anti-UAP1 antibody. Counter stained with hematoxylin.

Product Details

Summary
Product Discontinued
View other related UAP1 Primary Antibodies

Order Details


    • Catalog Number
      NBP2-75694
    • Availability
      Product Discontinued

    Can't find what you are looking for? Use our Antibody Concierge Service & we will help you locate your antibody!

    Or feel free to contact us for alternative products.

UAP1 Antibody (4H1) Summary

Immunogen
Synthetic peptide within Human UAP1 aa 33-82 / 522. (SwissProt: Q16222 Human; SwissProt: Q91YN5 Mouse)
Localization
Cytoplasm.
Isotype
IgG1
Clonality
Monoclonal
Host
Mouse
Gene
UAP1
Purity
Protein G purified
Innovator's Reward
Test in a species/application not listed above to receive a full credit towards a future purchase.

Applications/Dilutions

Dilutions
  • Immunocytochemistry/ Immunofluorescence 1:50-1:200
  • Immunohistochemistry
  • Immunohistochemistry-Paraffin 1:50-1:100
  • Western Blot 1:500-1:1000
Theoretical MW
58 kDa.
Disclaimer note: The observed molecular weight of the protein may vary from the listed predicted molecular weight due to post translational modifications, post translation cleavages, relative charges, and other experimental factors.

Reactivity Notes

Mouse blocking reagent may be needed for IHC and ICC experiments to reduce high background signal. You can find these reagents under catalog numbers PK-2200-NB and MP-2400-NB. Please contact Technical Support if you have any. Please note that this antibody is reactive to Mouse and derived from the same host, Mouse. Mouse-On-questions.

Packaging, Storage & Formulations

Storage
Store at 4C short term. Aliquot and store at -20C long term. Avoid freeze-thaw cycles.
Buffer
PBS (pH7.4), 0.2% BSA, 50% Glycerol
Preservative
0.05% Sodium Azide
Concentration
2 mg/ml
Purity
Protein G purified

Alternate Names for UAP1 Antibody (4H1)

  • AGX
  • AGX1
  • AGX2
  • Antigen X
  • EC 2.7.7
  • EC 2.7.7.23
  • EC 2.7.7.27
  • SPAG2
  • sperm associated antigen 2
  • Sperm-associated antigen 2
  • UDP-N-acetylhexosamine pyrophosphorylase
  • UDP-N-acteylglucosamine pyrophosphorylase 1

Background

Converts UDP and GlcNAc-1-P into UDP-GlcNAc, and UDP and GalNAc-1-P into UDP-GalNAc. Isoform AGX1 has 2 to 3 times higher activity towards GalNAc-1-P, while isoform AGX2 has 8 times more activity towards GlcNAc-1-P

Limitations

This product is for research use only and is not approved for use in humans or in clinical diagnosis. Primary Antibodies are guaranteed for 1 year from date of receipt.

Customers Who Viewed This Item Also Viewed...

NBP1-33401
Species: Hu, Mu
Applications: ICC/IF, IHC,  IHC-P, WB
NB120-10454
Species: Bv, Hu, Mu, Rt
Applications: ELISA, Flow, IB, ICC/IF, IHC, IHC-Fr,  IHC-P, IP, KD, KO, MiAr, WB
NBP3-35751
Species: Hu, Mu, Rt
Applications: ELISA, ICC/IF, WB
AF1056
Species: Rt
Applications: IHC, WB
AF4600
Species: Mu
Applications: IP, WB
NB100-565
Species: Hu, Mu, Rt
Applications: ICC/IF, IHC,  IHC-P, IP, KO, WB
NBP1-83842
Species: Hu, Mu, Rt
Applications: IHC,  IHC-P, WB
AF972
Species: Hu
Applications: ELISA, IHC, KO, Simple Western, WB
NBP3-09534
Species: Hu
Applications: WB
H00004489-P01
Species: Hu
Applications: ELISA, AP, PA, WB
462-TEC
Species: Mu
Applications: BA
NBP2-38040
Species: Hu
Applications: ICC/IF, IHC,  IHC-P
NBP1-76864
Species: Hu
Applications: ELISA, ICC/IF, IHC,  IHC-P, WB
AF009
Species: Hu
Applications: IHC, WB
NBP1-87511
Species: Hu
Applications: ICC/IF, IHC,  IHC-P, WB
NBP1-72042
Species: Hu, Mu, Rt
Applications: ICC/IF, IHC,  IHC-P, PEP-ELISA, WB

Publications for UAP1 Antibody (NBP2-75694) (0)

There are no publications for UAP1 Antibody (NBP2-75694).
By submitting your publication information earn gift cards and discounts for future purchases.

Reviews for UAP1 Antibody (NBP2-75694) (0)

There are no reviews for UAP1 Antibody (NBP2-75694). By submitting a review you will receive an Amazon e-Gift Card or Novus Product Discount.
  • Review with no image -- $10/€7/£6/$10 CAD/¥70 Yuan/¥1110 Yen
  • Review with an image -- $25/€18/£15/$25 CAD/¥150 Yuan/¥2500 Yen

Product General Protocols

Find general support by application which include: protocols, troubleshooting, illustrated assays, videos and webinars.

Video Protocols

WB Video Protocol
ICC/IF Video Protocol

FAQs for UAP1 Antibody (NBP2-75694) (0)

There are no specific FAQs related to this product. Read our general customer & technical service FAQs.

Secondary Antibodies

 

Isotype Controls

Additional UAP1 Products

Research Areas for UAP1 Antibody (NBP2-75694)

Find related products by research area.

Blogs on UAP1

There are no specific blogs for UAP1, but you can read our latest blog posts.

Contact Information

Product PDFs

Calculators

Concentration Calculator

The concentration calculator allows you to quickly calculate the volume, mass or concentration of your vial. Simply enter your mass, volume, or concentration values for your reagent and the calculator will determine the rest.

=
÷

Review this Product

Be the first to review our UAP1 Antibody (4H1) and receive a gift card or discount.

Bioinformatics

Gene Symbol UAP1