TRAPPC2L Antibody

Images

 
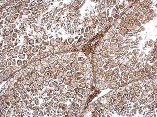
TRAPPC2L antibody detects TRAPPC2L protein at cytosol on mouse testis by immunohistochemical analysis. Sample: Paraffin-embedded mouse testis. TRAPPC2L antibody (NBP3-48547) dilution: 1:500. Antigen Retrieval: (EDTA ...read more
TRAPPC2L antibody detects TRAPPC2L protein at cytosol on mouse hind brain by immunohistochemical analysis. Sample: Paraffin-embedded mouse hind brain. TRAPPC2L antibody (NBP3-48547) dilution: 1:500. Antigen Retrieval: ...read more
TRAPPC2L antibody detects TRAPPC2L protein by western blot analysis. Various whole cell extracts (30 ug) were separated by 15% SDS-PAGE, and the membrane was blotted with TRAPPC2L antibody (NBP3-48547) diluted by ...read more

Product Details

Summary
Reactivity Hu, MuSpecies Glossary
Applications WB, IHC
Clonality
Polyclonal
Host
Rabbit
Conjugate
Unconjugated

Order Details

TRAPPC2L Antibody Summary

Description
Novus Biologicals Rabbit TRAPPC2L Antibody (NBP3-48547) is a polyclonal antibody validated for use in IHC and WB. All Novus Biologicals antibodies are covered by our 100% guarantee.
Immunogen
Recombinant protein encompassing a sequence within the center region of human TRAPPC2L. The exact sequence is proprietary.
Isotype
IgG
Clonality
Polyclonal
Host
Rabbit
Gene
TRAPPC2L
Purity
Antigen Affinity-purified
Innovator's Reward
Test in a species/application not listed above to receive a full credit towards a future purchase.

Applications/Dilutions

Dilutions
  • Immunohistochemistry
  • Immunohistochemistry-Paraffin 1:100-1:1000
  • Western Blot 1:500-1:3000

Packaging, Storage & Formulations

Storage
Store at 4C short term. Aliquot and store at -20C long term. Avoid freeze-thaw cycles.
Buffer
0.1M Tris, 0.1M Glycine, 20% Glycerol
Preservative
0.01% Thimerosal
Purity
Antigen Affinity-purified

Alternate Names for TRAPPC2L Antibody

  • MGC111156
  • trafficking protein particle complex 2-like
  • trafficking protein particle complex subunit 2-like protein

Limitations

This product is for research use only and is not approved for use in humans or in clinical diagnosis. Primary Antibodies are guaranteed for 1 year from date of receipt.

Customers Who Viewed This Item Also Viewed...

NBP3-19923
Species: Hu, Mu, Rt
Applications: WB
H00060684-P01
Species: Hu
Applications: ELISA, AP, PA, WB
NBP1-84500
Species: Hu
Applications: IHC,  IHC-P, WB
AF1936
Species: Hu
Applications: IP, WB
NBP1-32899
Species: Hu, Mu, Rt
Applications: ICC/IF, IHC,  IHC-P, WB
NBP3-35855
Species: Hu, Mu, Rt
Applications: ELISA, IHC,  IHC-P, WB
NBP3-03412
Species: Hu, Mu, Rt
Applications: ICC/IF, WB
NBP2-36776
Species: Hu
Applications: ICC/IF, IHC,  IHC-P, KD, WB
NBP1-80880
Species: Hu
Applications: IHC,  IHC-P
NBP1-88664
Species: Hu
Applications: ICC/IF, IHC,  IHC-P, WB
NBP3-33067
Species: Hu, Mu, Rt
Applications: Flow, ICC/IF, IHC,  IHC-P, WB
NBP3-48547
Species: Hu, Mu
Applications: WB, IHC

Publications for TRAPPC2L Antibody (NBP3-48547) (0)

There are no publications for TRAPPC2L Antibody (NBP3-48547).
By submitting your publication information earn gift cards and discounts for future purchases.

Reviews for TRAPPC2L Antibody (NBP3-48547) (0)

There are no reviews for TRAPPC2L Antibody (NBP3-48547). By submitting a review you will receive an Amazon e-Gift Card or Novus Product Discount.
  • Review with no image -- $10/€7/£6/$10 CAD/¥70 Yuan/¥1110 Yen
  • Review with an image -- $25/€18/£15/$25 CAD/¥150 Yuan/¥2500 Yen

Product General Protocols

Find general support by application which include: protocols, troubleshooting, illustrated assays, videos and webinars.

Video Protocols

WB Video Protocol

FAQs for TRAPPC2L Antibody (NBP3-48547) (0)

There are no specific FAQs related to this product. Read our general customer & technical service FAQs.

Customers Who Bought This Also Bought

Contact Information

Product PDFs

Calculators

Concentration Calculator

The concentration calculator allows you to quickly calculate the volume, mass or concentration of your vial. Simply enter your mass, volume, or concentration values for your reagent and the calculator will determine the rest.

=
÷

Review this Product

Be the first to review our TRAPPC2L Antibody and receive a gift card or discount.

Bioinformatics

Gene Symbol TRAPPC2L