TTC15 Antibody - BSA Free

Images

 
Staining of human kidney shows moderate nuclear cytoplasmic positivity in cells in tubules.
Staining of human skin shows strong nuclear-cytoplasmic positivity in squamous epithelial cells.
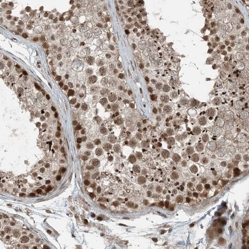
Staining of human testis shows strong nuclear cytoplasmic positivity in cells in seminiferous ducts.
Analysis in human cell line HEK 293.
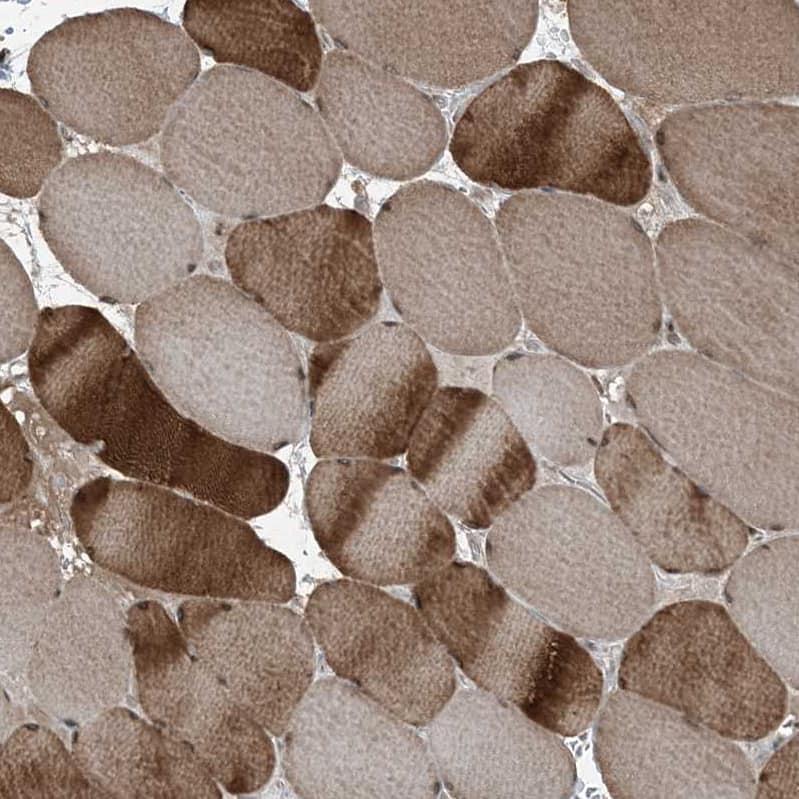
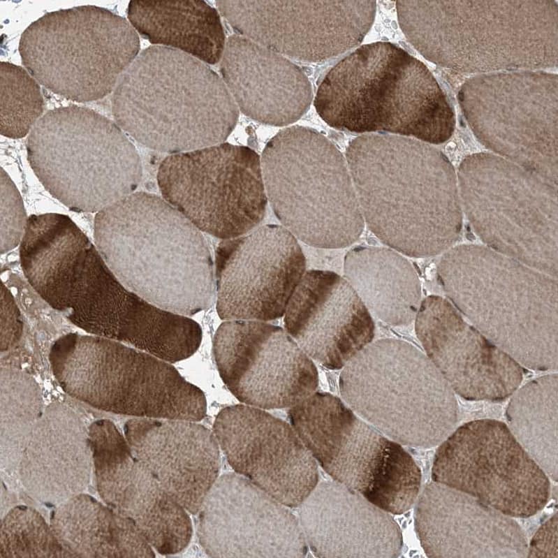
Staining of human skeletal muscle shows strong nuclear cytoplasmic positivity in myocytes.

Product Details

Summary
Reactivity Hu, Mu, RtSpecies Glossary
Applications WB, IHC
Clonality
Polyclonal
Host
Rabbit
Conjugate
Unconjugated
Format
BSA Free

Order Details

View Available Formulations
Catalog# & Formulation Size Price

TTC15 Antibody - BSA Free Summary

Description
Novus Biologicals Rabbit TTC15 Antibody - BSA Free (NBP1-84500) is a polyclonal antibody validated for use in IHC and WB. All Novus Biologicals antibodies are covered by our 100% guarantee.
Immunogen
This antibody was developed against Recombinant Protein corresponding to amino acids: AFLHLGQNNFAEAHRFFTEILRMDPRNAVANNNAAVCLLYLGKLKDSLRQLEAMVQQDPRHYLHESVLFNLTTMYELESSRSMQKKQ
Predicted Species
Mouse (97%), Rat (97%). Backed by our 100% Guarantee.
Isotype
IgG
Clonality
Polyclonal
Host
Rabbit
Gene
TRAPPC12
Purity
Immunogen affinity purified
Innovator's Reward
Test in a species/application not listed above to receive a full credit towards a future purchase.

Applications/Dilutions

Dilutions
  • Immunohistochemistry 1:50 - 1:200
  • Immunohistochemistry-Paraffin 1:50 - 1:200
  • Western Blot 0.04-0.4 ug/ml
Application Notes
For IHC-Paraffin, HIER pH 6 retrieval is recommended.
Control Peptide
TTC15 Protein (NBP1-84500PEP)
Publications
Read Publication using
NBP1-84500 in the following applications:

  • WB
    1 publication

Packaging, Storage & Formulations

Storage
Store at 4C short term. Aliquot and store at -20C long term. Avoid freeze-thaw cycles.
Buffer
PBS (pH 7.2) and 40% Glycerol
Preservative
0.02% Sodium Azide
Purity
Immunogen affinity purified

Alternate Names for TTC15 Antibody - BSA Free

  • CGI-87
  • FLJ36862
  • FLJ44560
  • tetratricopeptide repeat domain 15
  • tetratricopeptide repeat protein 15
  • TPR repeat protein 15

Limitations

This product is for research use only and is not approved for use in humans or in clinical diagnosis. Primary Antibodies are guaranteed for 1 year from date of receipt.

Customers Who Viewed This Item Also Viewed...

H00060684-P01
Species: Hu
Applications: ELISA, AP, PA, WB
NBP3-48547
Species: Hu, Mu
Applications: IHC,  IHC-P, WB
NBP1-88664
Species: Hu
Applications: ICC/IF, IHC,  IHC-P, WB
NBP1-84500
Species: Hu, Mu, Rt
Applications: WB, IHC

Publications for TTC15 Antibody (NBP1-84500)(1)

We have publications tested in 1 confirmed species: Human.

We have publications tested in 1 application: WB.


Filter By Application
WB
(1)
All Applications
Filter By Species
Human
(1)
All Species
Showing Publication 1 - 1 of 1.
Publication using NBP1-84500 Applications Species
Yucesan E, Goncu B, Yesil G, Aslanger A Functional Characterization of a missense mutation in the TRAPPC12 gene presenting with progressive encephalopathy with brain atrophy and spasticity phenotype without microcephaly and epilepsy Research Square 2023-02-09 (WB, Human) WB Human

Reviews for TTC15 Antibody (NBP1-84500) (0)

There are no reviews for TTC15 Antibody (NBP1-84500). By submitting a review you will receive an Amazon e-Gift Card or Novus Product Discount.
  • Review with no image -- $10/€7/£6/$10 CAD/¥70 Yuan/¥1110 Yen
  • Review with an image -- $25/€18/£15/$25 CAD/¥150 Yuan/¥2500 Yen

Product General Protocols

Find general support by application which include: protocols, troubleshooting, illustrated assays, videos and webinars.

Video Protocols

WB Video Protocol

FAQs for TTC15 Antibody (NBP1-84500) (0)

There are no specific FAQs related to this product. Read our general customer & technical service FAQs.

Customers Who Bought This Also Bought

Contact Information

Product PDFs

Calculators

Concentration Calculator

The concentration calculator allows you to quickly calculate the volume, mass or concentration of your vial. Simply enter your mass, volume, or concentration values for your reagent and the calculator will determine the rest.

=
÷

Review this Product

Be the first to review our TTC15 Antibody - BSA Free and receive a gift card or discount.

Bioinformatics

Gene Symbol TRAPPC12