TP73-AS1 Antibody (OTI2B9) - Azide and BSA Free

Images

 
Western Blot: TP73-AS1 Antibody (OTI2B9) - Azide and BSA Free [NBP2-74559] - HEK293T cells were transfected with the pCMV6-ENTRY control (Left lane) or pCMV6-ENTRY TP73-AS1 (Right lane) cDNA for 48 hrs and lysed. ...read more
Immunocytochemistry/ Immunofluorescence: TP73-AS1 Antibody (OTI2B9) - Azide and BSA Free [NBP2-74559] - Staining of COS7 cells transiently transfected by pCMV6-ENTRY TP73-AS1.
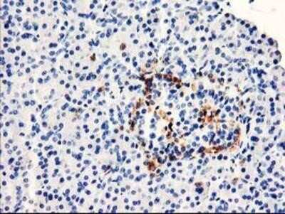
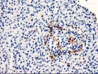
Immunohistochemistry: TP73-AS1 Antibody (OTI2B9) - Azide and BSA Free [NBP2-74559] - Staining of paraffin-embedded Human pancreas tissue using anti-TP73-AS1 mouse monoclonal antibody.

Product Details

Summary
Reactivity HuSpecies Glossary
Applications WB, ICC/IF, IHC
Clone
OTI2B9
Clonality
Monoclonal
Host
Mouse
Conjugate
Unconjugated
Format
Azide and BSA Free
Concentration
LYOPH

Order Details

TP73-AS1 Antibody (OTI2B9) - Azide and BSA Free Summary

Description
Novus Biologicals Mouse TP73-AS1 Antibody (OTI2B9) - Azide and BSA Free (NBP2-01283) is a monoclonal antibody validated for use in IHC, WB and ICC/IF. All Novus Biologicals antibodies are covered by our 100% guarantee.
Immunogen
Full length human recombinant protein of human KIAA0495(NP_997198)
Isotype
IgG2a
Clonality
Monoclonal
Host
Mouse
Gene
TP73-AS1
Purity
Immunogen affinity purified
Innovator's Reward
Test in a species/application not listed above to receive a full credit towards a future purchase.

Applications/Dilutions

Dilutions
  • Immunocytochemistry/ Immunofluorescence 1:100
  • Immunohistochemistry 1:150
  • Immunohistochemistry-Paraffin
  • Western Blot 1:2000
Theoretical MW
20.4 kDa.
Disclaimer note: The observed molecular weight of the protein may vary from the listed predicted molecular weight due to post translational modifications, post translation cleavages, relative charges, and other experimental factors.

Packaging, Storage & Formulations

Storage
Store at -20C. Avoid freeze-thaw cycles.
Buffer
Lyophilized from PBS (pH 7.3) with 8% Trehalose
Preservative
No Preservative
Concentration
LYOPH
Purity
Immunogen affinity purified
Reconstitution Instructions
we recommend adding 100uL distilled water to a final antibody concentration of about 1 mg/mL. To use this carrier-free antibody for conjugation experiment, we strongly recommend performing another round of desalting process.

Alternate Names for TP73-AS1 Antibody (OTI2B9) - Azide and BSA Free

  • KIAA0495
  • MGC138189
  • PDAM

Limitations

This product is for research use only and is not approved for use in humans or in clinical diagnosis. Primary Antibodies are guaranteed for 1 year from date of receipt.

Customers Who Viewed This Item Also Viewed...

NBP2-68928
Species: Hu, Rt
Applications: IHC,  IHC-P
NBP3-03301
Species: Hu, Mu, Rt
Applications: ICC/IF, WB
NB100-56098
Species: Ca, Hu, Mu, Rt
Applications: IHC,  IHC-P, IP, WB
NB100-56104
Species: Ca, Hu, Mu, Rt
Applications: IHC, IHC-Fr,  IHC-P, IP, WB
NB200-103
Species: Hu, Mu, Rt, Xp(-), Ye
Applications: CyTOF-ready, ELISA, Flow-IC, Flow, ICC/IF, IHC, IHC-Fr,  IHC-P, IP, WB
NBP2-35208
Species: Hu
Applications: BA, PAGE
NBP2-38323
Species: Hu
Applications: ICC/IF, IHC,  IHC-P, WB
AF5659
Species: Hu
Applications: WB
7268-CT
Species: Hu
Applications: BA
DPG00
Species: Hu
Applications: ELISA
NBP2-30949
Species: Hu
Applications: IHC,  IHC-P
NBP2-02450
Species: Hu
Applications: ICC/IF, IHC,  IHC-P, WB
NBP1-87203
Species: Hu
Applications: IHC,  IHC-P, WB
NBP1-81293
Species: Hu
Applications: ICC/IF, IHC,  IHC-P, KD, WB
NBP2-48836
Species: Ca, Hu
Applications: ICC/IF, IHC,  IHC-P
MAB4937
Species: Hu
Applications: CyTOF-ready, ICFlow, WB
NBP1-83299
Species: Hu, Mu
Applications: IHC,  IHC-P, WB
NBP3-46078
Species: Hu, Rt
Applications: ELISA, IHC, WB

Publications for TP73-AS1 Antibody (NBP2-74559) (0)

There are no publications for TP73-AS1 Antibody (NBP2-74559).
By submitting your publication information earn gift cards and discounts for future purchases.

Reviews for TP73-AS1 Antibody (NBP2-74559) (0)

There are no reviews for TP73-AS1 Antibody (NBP2-74559). By submitting a review you will receive an Amazon e-Gift Card or Novus Product Discount.
  • Review with no image -- $10/€7/£6/$10 CAD/¥70 Yuan/¥1110 Yen
  • Review with an image -- $25/€18/£15/$25 CAD/¥150 Yuan/¥2500 Yen

Product General Protocols

Find general support by application which include: protocols, troubleshooting, illustrated assays, videos and webinars.

Video Protocols

WB Video Protocol
ICC/IF Video Protocol

FAQs for TP73-AS1 Antibody (NBP2-74559) (0)

There are no specific FAQs related to this product. Read our general customer & technical service FAQs.

Customers Who Bought This Also Bought

Contact Information

Product PDFs

Calculators

Concentration Calculator

The concentration calculator allows you to quickly calculate the volume, mass or concentration of your vial. Simply enter your mass, volume, or concentration values for your reagent and the calculator will determine the rest.

=
÷

Review this Product

Be the first to review our TP73-AS1 Antibody (OTI2B9) - Azide and BSA Free and receive a gift card or discount.

Bioinformatics

Gene Symbol TP73-AS1