THRSP Antibody

Images

 
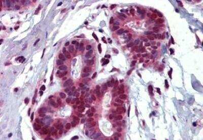
Immunohistochemistry-Paraffin: THRSP Antibody [NBP1-52541] - Analysis of anti-THRSP antibody with human breast at concentration 3.75 ug/ml.
Immunohistochemistry-Paraffin: THRSP Antibody [NBP1-52541] - Analysis of anti-THRSP antibody with human thyroid at concentration 3.75 ug/ml.

Product Details

Summary
Product Discontinued
View other related THRSP Primary Antibodies

Order Details


    • Catalog Number
      NBP1-52541
    • Availability
      Product Discontinued

    Can't find what you are looking for? Use our Antibody Concierge Service & we will help you locate your antibody!

    Or feel free to contact us for alternative products.

THRSP Antibody Summary

Immunogen
Peptide with sequence C-SEENGTAETEEVED, from the internal region of the protein sequence according to NP_003242.1.
Specificity
Human THRSP.
Predicted Species
Primate (93%). Backed by our 100% Guarantee.
Isotype
IgG
Clonality
Polyclonal
Host
Goat
Gene
THRSP
Purity
Immunogen affinity purified
Innovator's Reward
Test in a species/application not listed above to receive a full credit towards a future purchase.

Applications/Dilutions

Dilutions
  • Flow Cytometry 10 ug/ml
  • Immunohistochemistry
  • Immunohistochemistry-Paraffin 3.75 ug/ml
  • Peptide ELISA 1:4000

Reactivity Notes

Predicted cross-reactivity based on sequence identity: Gorilla (93%), Monkey (86%).

Packaging, Storage & Formulations

Storage
Store at -20C. Avoid freeze-thaw cycles.
Buffer
TBS (pH 7.3) and 0.5% BSA
Preservative
0.02% Sodium Azide
Concentration
0.5 mg/ml
Purity
Immunogen affinity purified

Alternate Names for THRSP Antibody

  • lipogenic protein 1
  • Lpgp
  • LPGP1
  • S14
  • S14MGC21659
  • Spot 14 protein
  • SPOT14
  • SPOT14SPOT14 homolog
  • THRSP
  • thyroid hormone responsive (SPOT14 homolog, rat)
  • thyroid hormone responsive SPOT14 (rat) homolog
  • thyroid hormone responsive SPOT14
  • thyroid hormone responsive
  • thyroid hormone-inducible hepatic protein

Background

The protein encoded by this gene is similar to the gene product of S14, a rat gene whose expression is limited to liver and adipose tissue and is controlled by nutritional and hormonal factors. This gene has been shown to be expressed in liver and adipocytes, particularly in lipomatous modules. It is also found to be expressed in lipogenic breast cancers, which suggests a role in controlling tumor lipid metabolism. [provided by RefSeq]

Limitations

This product is for research use only and is not approved for use in humans or in clinical diagnosis. Primary Antibodies are guaranteed for 1 year from date of receipt.

Customers Who Viewed This Item Also Viewed...

NB400-114
Species: Ch, Fe, Ha, Hu, Mu, Pl, Po, Pm, Rt
Applications: ICC/IF, IHC,  IHC-P, IP, KD, WB
NBP1-84847
Species: Hu, Mu
Applications: ICC/IF, IHC,  IHC-P, WB
NBP2-92630
Species: Hu, Mu, Rt
Applications: ELISA, ICC/IF, IHC,  IHC-P, WB
NBP2-54591
Species: Hu
Applications: CyTOF-ready, Flow, ICC/IF, IHC,  IHC-P, PA
NBP1-87797
Species: Hu, Mu, Rt
Applications: IHC,  IHC-P, Simple Western, WB
H00006201-M03
Species: Hu, Mu, Rt
Applications: ELISA, ICC/IF, IHC,  IHC-P, S-ELISA, WB
H00006223-M01
Species: Hu, Mu
Applications: ELISA, WB
NBP2-94502
Species: Hu, Mu, Rt
Applications: ELISA, ICC/IF, IHC,  IHC-P, IP, WB
NBP1-33691
Species: Hu, Mu, Rt
Applications: ICC/IF, IHC,  IHC-P, IP, WB
NBP2-73636
Species: Ca, Hu, Pm, Mu, Pm, Rt
Applications: CyTOF-ready, Flow, WB
NBP2-37447
Species: Hu
Applications: CyTOF-ready, ELISA, Flow, ICC/IF, IHC,  IHC-P
NBP1-81545
Species: Hu, Mu, Rt
Applications: ICC/IF, IHC,  IHC-P, WB
NB100-2682
Species: Hu, Mu
Applications: CyTOF-ready, ELISA, Flow-CS, Flow, ICC/IF, IF, IHC, IHC-Fr,  IHC-P, IP, WB
NBP2-13262
Species: Hu
Applications: ICC/IF, IHC,  IHC-P, WB
NBP1-92350
Species: Hu
Applications: ICC/IF, IHC,  IHC-P
MAB1417
Species: Bv, Hu, Mu
Applications: ICC, IHC
NB100-1595
Species: Hu, Mu
Applications: IHC,  IHC-P, IP, WB
NBP3-46655
Species: Hu, Mu, Rt
Applications: ELISA, ICC/IF, WB
NBP3-46656
Species: Hu, Mu, Rt
Applications: ELISA, IHC, WB
NBP1-80959
Species: Hu, Mu, Rt
Applications: ICC/IF, IHC,  IHC-P, WB

Publications for THRSP Antibody (NBP1-52541) (0)

There are no publications for THRSP Antibody (NBP1-52541).
By submitting your publication information earn gift cards and discounts for future purchases.

Reviews for THRSP Antibody (NBP1-52541) (0)

There are no reviews for THRSP Antibody (NBP1-52541). By submitting a review you will receive an Amazon e-Gift Card or Novus Product Discount.
  • Review with no image -- $10/€7/£6/$10 CAD/¥70 Yuan/¥1110 Yen
  • Review with an image -- $25/€18/£15/$25 CAD/¥150 Yuan/¥2500 Yen

Product General Protocols

Find general support by application which include: protocols, troubleshooting, illustrated assays, videos and webinars.

FAQs for THRSP Antibody (NBP1-52541) (0)

There are no specific FAQs related to this product. Read our general customer & technical service FAQs.

Contact Information

Product PDFs

Calculators

Concentration Calculator

The concentration calculator allows you to quickly calculate the volume, mass or concentration of your vial. Simply enter your mass, volume, or concentration values for your reagent and the calculator will determine the rest.

=
÷

Review this Product

Be the first to review our THRSP Antibody and receive a gift card or discount.

Bioinformatics

Gene Symbol THRSP
Entrez
Uniprot