Thioredoxin-1 Antibody (JF101-8)

Images

 
Western Blot: Thioredoxin-1 Antibody (JF101-8) [NBP2-67195] - Analysis of Thioredoxin-1 on different lysates with Rabbit anti-Thioredoxin-1 antibody at 1/500 dilution. Lane 1: Hela cell lysate. Lane 2: 293T cell lysate. ...read more
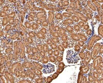
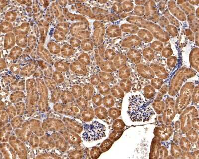
Immunohistochemistry-Paraffin: Thioredoxin-1 Antibody (JF101-8) [NBP2-67195] - Analysis of paraffin-embedded mouse kidney tissue with Rabbit anti-Thioredoxin-1 antibody washed with ddH2O and PBS, and then probed with ...read more
Flow Cytometry: Thioredoxin-1 Antibody (JF101-8) [NBP2-67195] - Analysis of Hela cells with TRX1 antibody at 1/50 dilution (red) compared with an unlabelled control (cells without incubation with primary antibody; ...read more
Western Blot: Thioredoxin-1 Antibody (JF101-8) [NBP2-67195] - Analysis of TRX1 on different lysates using anti-TRX1 antibody at 1/1,000 dilution. Positive control: Lane 1: Hela Lane 2: 293T
Immunohistochemistry-Paraffin: Thioredoxin-1 Antibody (JF101-8) [NBP2-67195] - Analysis of paraffin-embedded rat big intestine tissue with Rabbit anti-Thioredoxin-1 antibody washed with ddH2O and PBS, and then probed ...read more
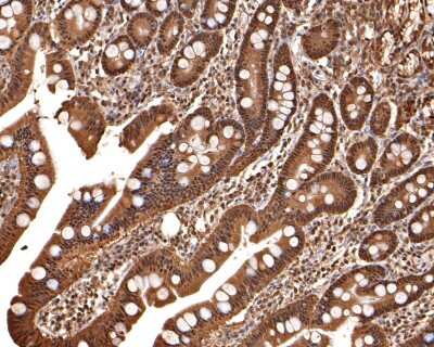
Immunohistochemistry-Paraffin: Thioredoxin-1 Antibody (JF101-8) [NBP2-67195] - Analysis of paraffin-embedded human small intestine tissue with Rabbit anti-Thioredoxin-1 antibody washed with ddH2O and PBS, and then ...read more

Product Details

Summary
Product Discontinued
View other related Thioredoxin-1 Primary Antibodies

Order Details


    • Catalog Number
      NBP2-67195
    • Availability
      Product Discontinued

    Can't find what you are looking for? Use our Antibody Concierge Service & we will help you locate your antibody!

    Or feel free to contact us for alternative products.

Thioredoxin-1 Antibody (JF101-8) Summary

Additional Information
Recombinant Monoclonal Antibody.
Immunogen
Synthetic peptide within Human Thioredoxin-1 aa 78-105 / 105. (SwissProt: P10599 Human; SwissProt: P10639 Mouse; SwissProt: P11232 Rat)
Localization
Nucleus, Cytoplasm, Secreted.
Isotype
IgG
Clonality
Monoclonal
Host
Rabbit
Gene
TXN
Purity
Protein A purified
Innovator's Reward
Test in a species/application not listed above to receive a full credit towards a future purchase.

Applications/Dilutions

Dilutions
  • Flow Cytometry 1:50-1:100
  • Immunohistochemistry-Paraffin 1:400
  • Western Blot 1:1000-1:5000

Packaging, Storage & Formulations

Storage
Store at 4C short term. Aliquot and store at -20C long term. Avoid freeze-thaw cycles.
Buffer
TBS (pH7.4), 0.05% BSA, 40% Glycerol
Preservative
0.05% Sodium Azide
Concentration
1 mg/ml
Purity
Protein A purified

Alternate Names for Thioredoxin-1 Antibody (JF101-8)

  • Thioredoxin1
  • Thioredoxin-1
  • TRDX;TRX;TRX1;Trx80;TXN
  • Trx1
  • TXN
  • TXN1

Limitations

This product is for research use only and is not approved for use in humans or in clinical diagnosis. Primary Antibodies are guaranteed for 1 year from date of receipt.

Customers Who Viewed This Item Also Viewed...

NBP3-32740
Species: Hu, Mu, Rt
Applications: Flow, ICC/IF, IHC,  IHC-P, IP, WB
AF3254
Species: Hu, Mu, Rt
Applications: WB
NBP1-85010
Species: Hu
Applications: IHC,  IHC-P
NBP1-54578
Species: Hu, Mu, Rt
Applications: CyTOF-ready, Flow, IHC, IHC-Fr,  IHC-P, IP, KO, PLA, Simple Western, WB
MAB7428
Species: Hu, Mu, Rt
Applications: CyTOF-ready, ICFlow, WB
NBP2-37592
Species: Hu
Applications: ELISA, Flow, ICC/IF, IHC,  IHC-P, WB
NBP2-00527
Species: Ca, Hu, Pm, Mu, Pm
Applications: Flow, ICC/IF, IHC,  IHC-P, WB
AF3398
Species: Hu, Mu, Rt
Applications: ICC, KO, Simple Western, WB
NBP3-15868
Species: Hu, Mu, Rt
Applications: ELISA, ICC/IF, IHC,  IHC-P, WB
AF3119
Species: Mu
Applications: WB
MAB1417
Species: Bv, Hu, Mu
Applications: ICC, IHC
NBP2-67471
Species: Hu, Mu, Rt
Applications: ICC/IF, IHC,  IHC-P, WB
NBP2-16684
Species: Hu, Mu, Rt
Applications: EM, IHC,  IHC-P, WB
202-IL
Species: Hu
Applications: BA
NBP1-86919
Species: Hu
Applications: IHC,  IHC-P, WB
NBP1-32822
Species: Al, Av, Hu, Mu, Pl, Rt, Ze
Applications: ChIP, Flow, ICC/IF, IHC,  IHC-P, IP, KD, Simple Western, WB

Publications for Thioredoxin-1 Antibody (NBP2-67195) (0)

There are no publications for Thioredoxin-1 Antibody (NBP2-67195).
By submitting your publication information earn gift cards and discounts for future purchases.

Reviews for Thioredoxin-1 Antibody (NBP2-67195) (0)

There are no reviews for Thioredoxin-1 Antibody (NBP2-67195). By submitting a review you will receive an Amazon e-Gift Card or Novus Product Discount.
  • Review with no image -- $10/€7/£6/$10 CAD/¥70 Yuan/¥1110 Yen
  • Review with an image -- $25/€18/£15/$25 CAD/¥150 Yuan/¥2500 Yen

Product General Protocols

Find general support by application which include: protocols, troubleshooting, illustrated assays, videos and webinars.

Video Protocols

WB Video Protocol

FAQs for Thioredoxin-1 Antibody (NBP2-67195) (0)

There are no specific FAQs related to this product. Read our general customer & technical service FAQs.

Secondary Antibodies

 

Isotype Controls

Additional Thioredoxin-1 Products

Research Areas for Thioredoxin-1 Antibody (NBP2-67195)

Find related products by research area.

Blogs on Thioredoxin-1

There are no specific blogs for Thioredoxin-1, but you can read our latest blog posts.

Contact Information

Product PDFs

Calculators

Concentration Calculator

The concentration calculator allows you to quickly calculate the volume, mass or concentration of your vial. Simply enter your mass, volume, or concentration values for your reagent and the calculator will determine the rest.

=
÷

Review this Product

Be the first to review our Thioredoxin-1 Antibody (JF101-8) and receive a gift card or discount.

Bioinformatics

Gene Symbol TXN