Testisin/Prss21 Antibody

Images

 
Immunocytochemistry/ Immunofluorescence: Testisin/Prss21 Antibody [NBP1-84789] - Staining of human cell line A-431 shows positivity in cytoplasm. Antibody staining is shown in green.
Immunohistochemistry-Paraffin: Testisin/Prss21 Antibody [NBP1-84789] - Staining of human testis shows strong membranous positivity in cells in seminiferous ducts.
Immunohistochemistry-Paraffin: Testisin/Prss21 Antibody [NBP1-84789] - Staining of human endometrium shows no membranous positivity in glandular cells as expected.
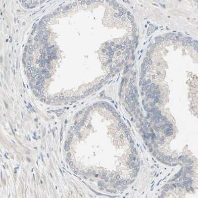
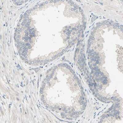
Immunohistochemistry-Paraffin: Testisin/Prss21 Antibody [NBP1-84789] - Staining of human prostate shows no membranous positivity in glandular cells as expected.
Immunohistochemistry-Paraffin: Testisin/Prss21 Antibody [NBP1-84789] - Staining of human skeletal muscle shows no membranous positivity in myocytes as expected.

Product Details

Summary
Product Discontinued
View other related Testisin/Prss21 Primary Antibodies

Order Details


    • Catalog Number
      NBP1-84789
    • Availability
      Product Discontinued

    Can't find what you are looking for? Use our Antibody Concierge Service & we will help you locate your antibody!

    Or feel free to contact us for alternative products.

Testisin/Prss21 Antibody Summary

Immunogen
This antibody was developed against Recombinant Protein corresponding to amino acids: CFETYSDLSDPSGWMVQFGQLTSMPSFWSLQAYYTRYFVSNIYLSPRYLGNSPYDIALVKLSAPVTYTKHIQPICLQASTFEFENRTDCWVTGWGYIKEDEALPSPHTL
Isotype
IgG
Clonality
Polyclonal
Host
Rabbit
Gene
PRSS21
Purity
Immunogen affinity purified
Innovator's Reward
Test in a species/application not listed above to receive a full credit towards a future purchase.

Applications/Dilutions

Dilutions
  • Immunocytochemistry/ Immunofluorescence 0.25-2 ug/ml
  • Immunohistochemistry 1:20 - 1:50
  • Immunohistochemistry-Paraffin 1:20 - 1:50
Application Notes
For IHC-Paraffin, HIER pH 6 retrieval is recommended. ICC/IF, Fixation Permeabilization: Use PFA/Triton X-100.

Packaging, Storage & Formulations

Storage
Store at 4C short term. Aliquot and store at -20C long term. Avoid freeze-thaw cycles.
Buffer
PBS (pH 7.2) and 40% Glycerol
Preservative
0.02% Sodium Azide
Purity
Immunogen affinity purified

Alternate Names for Testisin/Prss21 Antibody

  • EC 3.4.21
  • Eosinophil serine protease 1
  • ESP1EC 3.4.21.-
  • ESP-1serine protease from eosinophils
  • protease, serine, 21 (testisin)
  • Prss21
  • Serine protease 21
  • TEST1
  • TEST1testisin
  • Testisin

Background

Testisin encodes a cell-surface anchored serine protease, which is a member of the trypsin family of serine proteases. It is predicted to be active on peptide linkages involving the carboxyl group of lysine or arginine. The protein localizes to the cytoplasm and the plasma membrane of premeiotic testicular germ cells and it may be involved in progression of testicular tumors of germ cell origin. Alternative splicing of this gene results in three transcript variants encoding three different isoforms. [provided by RefSeq]

Limitations

This product is for research use only and is not approved for use in humans or in clinical diagnosis. Primary Antibodies are guaranteed for 1 year from date of receipt.

Customers Who Viewed This Item Also Viewed...

H00009700-M01
Species: Hu, Mu
Applications: ELISA, ICC/IF, IHC,  IHC-P, WB
NBP2-20053
Species: Hu, Mu, Rt
Applications: ChIP, ICC/IF, IHC,  IHC-P, IP, WB
MAB1934
Species: Hu
Applications: CyTOF-ready, Flow, IP, WB
NBP2-20287
Species: Hu
Applications: ICC/IF, IHC,  IHC-P, IP, WB
NBP2-14260
Species: Hu, Mu, Rt
Applications: ICC/IF, IHC,  IHC-P
MAB4457
Species: Hu, Mu, Rt
Applications: WB
AF4599
Species: Hu
Applications: IHC, IP, Simple Western, WB
NBP2-01679
Species: Hu
Applications: Flow, IHC,  IHC-P, WB
AF4885
Species: Mu
Applications: IP, WB
AF1988
Species: Hu
Applications: ELISA(Cap), ELISA(Det), ELISA(Sta), IP, Neut, WB
NB100-91662
Species: Hu, Mu, Rt
Applications: Flow, ICC/IF, IHC,  IHC-P, Simple Western, WB
NBP2-16012
Species: Hu
Applications: ICC/IF, IHC,  IHC-P, WB
H00009700-M01
Species: Hu, Mu
Applications: ELISA, ICC/IF, IHC,  IHC-P, WB
NB100-59828
Species: Hu, Mu
Applications: IHC,  IHC-P, IP, WB
NBP1-85720
Species: Hu
Applications: ICC/IF, IHC,  IHC-P, WB
NBP3-12251
Species: Hu, Mu, Rt
Applications: ELISA, ICC/IF, IHC,  IHC-P, IP, WB
NBP2-46648
Species: Hu, Mu, Rt
Applications: IHC,  IHC-P
NBP2-33867
Species: Hu
Applications: ICC/IF, IHC,  IHC-P, KD, WB

Publications for Testisin/Prss21 Antibody (NBP1-84789) (0)

There are no publications for Testisin/Prss21 Antibody (NBP1-84789).
By submitting your publication information earn gift cards and discounts for future purchases.

Reviews for Testisin/Prss21 Antibody (NBP1-84789) (0)

There are no reviews for Testisin/Prss21 Antibody (NBP1-84789). By submitting a review you will receive an Amazon e-Gift Card or Novus Product Discount.
  • Review with no image -- $10/€7/£6/$10 CAD/¥70 Yuan/¥1110 Yen
  • Review with an image -- $25/€18/£15/$25 CAD/¥150 Yuan/¥2500 Yen

Product General Protocols

Find general support by application which include: protocols, troubleshooting, illustrated assays, videos and webinars.

Video Protocols

ICC/IF Video Protocol

FAQs for Testisin/Prss21 Antibody (NBP1-84789) (0)

There are no specific FAQs related to this product. Read our general customer & technical service FAQs.

Contact Information

Product PDFs

Calculators

Concentration Calculator

The concentration calculator allows you to quickly calculate the volume, mass or concentration of your vial. Simply enter your mass, volume, or concentration values for your reagent and the calculator will determine the rest.

=
÷

Review this Product

Be the first to review our Testisin/Prss21 Antibody and receive a gift card or discount.

Bioinformatics

Gene Symbol PRSS21