SLC30A10 Antibody

Images

 
Western Blot: SLC30A10 Antibody [NBP2-97795] - Lane A: Mouse brain tissue lysate Whole Cell LysateLane B: U-251 MG Whole Cell LysateLysates/proteins at 30 ug per lane.SecondaryGoat Anti-Rabbit IgG (H+L)/HRP at 1/10000 ...read more
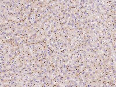
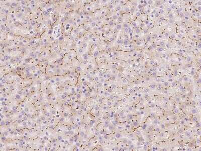
Immunohistochemistry-Paraffin: SLC30A10 Antibody [NBP2-97795] - Staining of human SLC30A10 in human liver with rabbit polyclonal antibody at 1:500 dilution.

Product Details

Summary
Product Discontinued
View other related SLC30A10 Primary Antibodies

Order Details


    • Catalog Number
      NBP2-97795
    • Availability
      Product Discontinued

    Can't find what you are looking for? Use our Antibody Concierge Service & we will help you locate your antibody!

    Or feel free to contact us for alternative products.

SLC30A10 Antibody Summary

Description
This antibody can be stored at 2C to 8C for one month without detectable loss of activity. Antibody products are stable for twelve months from date of receipt when stored at -20C to -80C. Avoid repeated freeze-thaw cycles.
Immunogen
Produced in rabbits immunized with E. coli-derived Human SLC30A10 fragment.
Isotype
IgG
Clonality
Polyclonal
Host
Rabbit
Gene
SLC30A10
Purity
Antigen Affinity-purified
Innovator's Reward
Test in a species/application not listed above to receive a full credit towards a future purchase.

Applications/Dilutions

Dilutions
  • Immunohistochemistry
  • Immunohistochemistry-Paraffin
  • Immunoprecipitation 2-5 mcg/mg
  • Western Blot 1:500-1:2000

Packaging, Storage & Formulations

Storage
Store at 4C short term. Aliquot and store at -20C long term. Avoid freeze-thaw cycles.
Buffer
PBS (pH 7.0)
Preservative
0.03% Proclin 300
Purity
Antigen Affinity-purified

Alternate Names for SLC30A10 Antibody

  • member 10
  • solute carrier family 30, member 10
  • zinc transporter 10
  • zinc transporter 8
  • ZNT10
  • ZnT-10
  • ZNT8
  • ZRC1

Background

Zinc functions as a cofactor for numerous enzymes, nuclear factors, and hormones and as an intra- and intercellular signal ion. Members of the zinc transporter (ZNT)/SLC30 subfamily of the cation diffusion facilitator family, such as SLC30A10, permit cellular efflux of zinc (Seve et al., 2004 (PubMed 15154973)).(supplied by OMIM)

Limitations

This product is for research use only and is not approved for use in humans or in clinical diagnosis. Primary Antibodies are guaranteed for 1 year from date of receipt.

Customers Who Viewed This Item Also Viewed...

MAB1417
Species: Bv, Hu, Mu
Applications: ICC, IHC
MAB7936
Species: Hu
Applications: CyTOF-ready, IHC, ICFlow
MAB7906
Species: Hu
Applications: IHC, Simple Western, WB
NB110-41404
Species: Bv, Hu, Mu, Rt
Applications: ICC/IF, IHC, WB
AF2086
Species: Hu, Mu, Rt
Applications: IHC, Simple Western, WB
AF2247
Species: Hu
Applications: IHC, WB
NBP2-55336
Species: Hu
Applications: CHIP-SEQ, ICC/IF
H00003126-P01
Species: Hu
Applications: ELISA, AP, PA, WB
MAB1249
Species: Hu, Mu
Applications: CyTOF-ready, ICC, ICFlow
NBP1-31528
Species: Hu, Mu
Applications: IHC,  IHC-P, WB
NBP3-41516
Species: Hu, Mu, Rt
Applications: IHC, WB
NBP1-80670
Species: Hu
Applications: IHC,  IHC-P, WB
NBP2-52452
Species: Hu
Applications: CyTOF-ready, ELISA, Flow, IHC,  IHC-P, WB
NBP1-76498
Species: Hu, Mu
Applications: ELISA, ICC/IF, IHC,  IHC-P, WB
NBP1-19083
Species: Hu
Applications: ICC/IF, WB
NBP1-56937
Species: Hu
Applications: WB
NBP2-93483
Species: Hu, Mu, Rt
Applications: ELISA, ICC/IF, IHC,  IHC-P, Simple Western, WB
M6000B
Species: Mu
Applications: ELISA

Publications for SLC30A10 Antibody (NBP2-97795) (0)

There are no publications for SLC30A10 Antibody (NBP2-97795).
By submitting your publication information earn gift cards and discounts for future purchases.

Reviews for SLC30A10 Antibody (NBP2-97795) (0)

There are no reviews for SLC30A10 Antibody (NBP2-97795). By submitting a review you will receive an Amazon e-Gift Card or Novus Product Discount.
  • Review with no image -- $10/€7/£6/$10 CAD/¥70 Yuan/¥1110 Yen
  • Review with an image -- $25/€18/£15/$25 CAD/¥150 Yuan/¥2500 Yen

Product General Protocols

Find general support by application which include: protocols, troubleshooting, illustrated assays, videos and webinars.

Video Protocols

WB Video Protocol

FAQs for SLC30A10 Antibody (NBP2-97795) (0)

There are no specific FAQs related to this product. Read our general customer & technical service FAQs.

Contact Information

Product PDFs

Calculators

Concentration Calculator

The concentration calculator allows you to quickly calculate the volume, mass or concentration of your vial. Simply enter your mass, volume, or concentration values for your reagent and the calculator will determine the rest.

=
÷

Review this Product

Be the first to review our SLC30A10 Antibody and receive a gift card or discount.

Bioinformatics

Gene Symbol SLC30A10