SHISA8 Antibody

Images

 
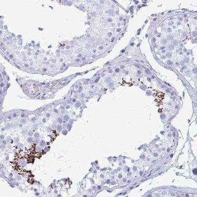
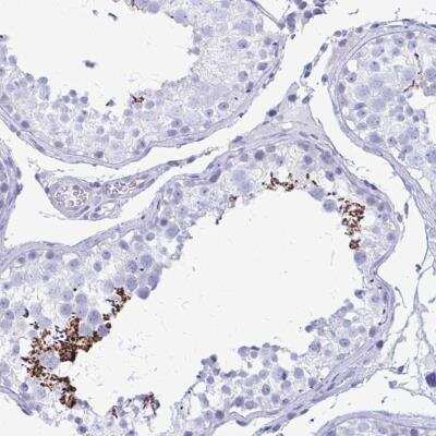
Immunohistochemistry-Paraffin: SHISA8 Antibody [NBP2-32436] - Staining of human testis shows strong cytoplasmic positivity in spermatozoa.

Product Details

Summary
Product Discontinued
View other related SHISA8 Primary Antibodies

Order Details


    • Catalog Number
      NBP2-32436
    • Availability
      Product Discontinued

    Can't find what you are looking for? Use our Antibody Concierge Service & we will help you locate your antibody!

    Or feel free to contact us for alternative products.

SHISA8 Antibody Summary

Immunogen
This antibody was developed against a recombinant protein corresponding to amino acids: GLERAHSPRARRTVTRALTELLKQPGPQEPLPPT
Predicted Species
Mouse (94%), Rat (91%). Backed by our 100% Guarantee.
Isotype
IgG
Clonality
Polyclonal
Host
Rabbit
Gene
SHISA8
Purity
Immunogen affinity purified
Innovator's Reward
Test in a species/application not listed above to receive a full credit towards a future purchase.

Applications/Dilutions

Dilutions
  • Immunohistochemistry 1:500 - 1:1000
  • Immunohistochemistry-Paraffin 1:500 - 1:1000
Application Notes
For IHC-Paraffin, HIER pH 6 retrieval is recommended.

Packaging, Storage & Formulations

Storage
Store at 4C short term. Aliquot and store at -20C long term. Avoid freeze-thaw cycles.
Buffer
PBS (pH 7.2) and 40% Glycerol
Preservative
0.02% Sodium Azide
Purity
Immunogen affinity purified

Alternate Names for SHISA8 Antibody

  • C22orf17
  • Chromosome 22 Open Reading Frame 17
  • CTA-250D10.17
  • ORF26
  • Putative Protein Shisa-8
  • Shisa Family Member 8
  • Shisa Homolog 8 (Xenopus Laevis)
  • Shisa Homolog 8

Limitations

This product is for research use only and is not approved for use in humans or in clinical diagnosis. Primary Antibodies are guaranteed for 1 year from date of receipt.

Customers Who Viewed This Item Also Viewed...

NBP1-84730
Species: Hu
Applications: ICC/IF, IHC,  IHC-P, WB
DNST0
Species: Hu
Applications: ELISA
NBP1-32797
Species: Hu, Mu, Rt
Applications: IHC,  IHC-P, Simple Western, WB
NBP3-13937
Species: Hu
Applications: ELISA, Flow, ICC/IF,  IHC-P, IP, PA, WB
NBP2-29429
Species: Bv, Ca, Ch, Hu, Pm, Mu, Rb, Rt, Re, Ze
Applications: COMET, CyTOF-reported, Dual ISH-IHC, Flow-IC, Flow, ICC/IF, IHC, IHC-Fr,  IHC-P, mIF, Single-Cell Western, WB
NB200-540
Species: Ec, Mu
Applications: CyTOF-ready, Flow-IC, Flow, IA, ICC/IF, IHC, IHC-Fr,  IHC-P, IP
NBP2-16094
Species: Hu, Mu, Ze
Applications: ICC/IF, IHC-WhMt, IHC,  IHC-P, KO, WB
NBP1-90214
Species: Hu
Applications: ICC/IF, IHC,  IHC-P, WB
M6000B
Species: Mu
Applications: ELISA
NBP2-37684
Species: V-Vi
Applications: ELISA, IHC,  IHC-P, WB
NBP2-48533
Species: Hu
Applications: IHC,  IHC-P
AF2005
Species: Hu
Applications: CyTOF-ready, Flow, IHC, WB
NBP2-61736
Species: Hu, Pm, Mu, Rt
Applications: ELISA, Flow, IHC,  IHC-P, WB
H00055835-M02
Species: Hu
Applications: ELISA, IP, S-ELISA, WB
NBP2-45570
Species: Hu, Mu, Rt
Applications: Flow, IHC,  IHC-P, WB
AF6457
Species: Hu
Applications: WB
NBP3-15706
Species: Hu, Mu, Rt
Applications: ELISA, ICC/IF, IHC,  IHC-P, Simple Western, WB
NBP2-32436
Species: Hu, Mu, Rt
Applications: IHC

Publications for SHISA8 Antibody (NBP2-32436) (0)

There are no publications for SHISA8 Antibody (NBP2-32436).
By submitting your publication information earn gift cards and discounts for future purchases.

Reviews for SHISA8 Antibody (NBP2-32436) (0)

There are no reviews for SHISA8 Antibody (NBP2-32436). By submitting a review you will receive an Amazon e-Gift Card or Novus Product Discount.
  • Review with no image -- $10/€7/£6/$10 CAD/¥70 Yuan/¥1110 Yen
  • Review with an image -- $25/€18/£15/$25 CAD/¥150 Yuan/¥2500 Yen

Product General Protocols

Find general support by application which include: protocols, troubleshooting, illustrated assays, videos and webinars.

FAQs for SHISA8 Antibody (NBP2-32436) (0)

There are no specific FAQs related to this product. Read our general customer & technical service FAQs.

Contact Information

Product PDFs

Calculators

Concentration Calculator

The concentration calculator allows you to quickly calculate the volume, mass or concentration of your vial. Simply enter your mass, volume, or concentration values for your reagent and the calculator will determine the rest.

=
÷

Review this Product

Be the first to review our SHISA8 Antibody and receive a gift card or discount.

Bioinformatics

Gene Symbol SHISA8