sFRP-1 Antibody

Images

 
Western Blot: sFRP-1 Antibody [NBP2-89148] - Analysis of SFRP1 on SH-SY-5Y cells lysates using anti-SFRP1 antibody at 1/500 dilution.
Immunocytochemistry/ Immunofluorescence: sFRP-1 Antibody [NBP2-89148] - Staining SFRP1 in A549 cells (green). The nuclear counter stain is DAPI (blue). Cells were fixed in paraformaldehyde, permeabilised with 0.25% ...read more
Immunohistochemistry-Paraffin: sFRP-1 Antibody [NBP2-89148] - Immunohistochemical analysis of paraffin-embedded human breast tissue using anti-sFRP-1 antibody. Counter stained with hematoxylin.
Flow Cytometry: sFRP-1 Antibody [NBP2-89148] - Analysis of SH-SY-5Y cells with SFRP1 antibody at 1/100 dilution (red) compared with an unlabelled control (cells without incubation with primary antibody; black). Alexa ...read more
Immunocytochemistry/ Immunofluorescence: sFRP-1 Antibody [NBP2-89148] - Staining SFRP1 in SH-SY-5Y cells (green). The nuclear counter stain is DAPI (blue). Cells were fixed in paraformaldehyde, permeabilised with 0.25% ...read more
Immunohistochemistry-Paraffin: sFRP-1 Antibody [NBP2-89148] - Analysis of paraffin-embedded rat testis tissue using anti-SFRP1 antibody. Counter stained with hematoxylin.
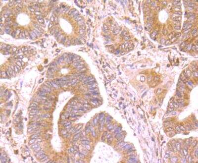
Immunohistochemistry-Paraffin: sFRP-1 Antibody [NBP2-89148] - Analysis of paraffin-embedded human colon cancer tissue using anti-SFRP1 antibody. Counter stained with hematoxylin.
Immunohistochemistry-Paraffin: sFRP-1 Antibody [NBP2-89148] - Analysis of paraffin-embedded human placenta tissue using anti-SFRP1 antibody. Counter stained with hematoxylin.
Immunohistochemistry-Paraffin: sFRP-1 Antibody [NBP2-89148] - Analysis of paraffin-embedded mouse small intestine tissue using anti-SFRP1 antibody. Counter stained with hematoxylin.

Product Details

Summary
Product Discontinued
View other related sFRP-1 Primary Antibodies

Order Details


    • Catalog Number
      NBP2-89148
    • Availability
      Product Discontinued

    Can't find what you are looking for? Use our Antibody Concierge Service & we will help you locate your antibody!

    Or feel free to contact us for alternative products.

sFRP-1 Antibody Summary

Immunogen
Synthetic peptide within N-terminal human sFRP-1. (SwissProt: Q8N474 Human; SwissProt: Q8C4U3 Mouse; SwissProt: Q9R168 Rat)
Localization
Secreted.
Isotype
IgG
Clonality
Polyclonal
Host
Rabbit
Gene
SFRP1
Purity
Immunogen affinity purified
Innovator's Reward
Test in a species/application not listed above to receive a full credit towards a future purchase.

Applications/Dilutions

Dilutions
  • Flow Cytometry 1:50-1:100
  • Immunocytochemistry/ Immunofluorescence 1:100-1:500
  • Immunohistochemistry
  • Immunohistochemistry-Paraffin 1:50-1:200
  • Western Blot 1:500-1:1000
Theoretical MW
35 kDa.
Disclaimer note: The observed molecular weight of the protein may vary from the listed predicted molecular weight due to post translational modifications, post translation cleavages, relative charges, and other experimental factors.

Packaging, Storage & Formulations

Storage
Store at 4C short term. Aliquot and store at -20C long term. Avoid freeze-thaw cycles.
Buffer
PBS (pH7.4), 0.2% BSA, 50% Glycerol
Preservative
0.05% Sodium Azide
Concentration
1 mg/ml
Purity
Immunogen affinity purified

Alternate Names for sFRP-1 Antibody

  • FRP1
  • FRP-1FrzA
  • FRPSARP-2
  • FrzA
  • SARP-2
  • SARP2sFRP-1
  • Secreted apoptosis-related protein 2
  • secreted frizzled-related protein 1
  • sFRP1
  • sFRP-1

Background

SFRP1 (also known as FRP, FRP1, SARP2, Secreted Apoptosis-related Protein 2, Secreted Frizzled-related Protein and Secreted frizzled-related protein 1) is a member of the SFRP family that contains a cysteine-rich domain homologous to the putative Wnt-binding site of Frizzled proteins. SFRPs act as soluble modulators of Wnt signaling. SFRP1 and SFRP5 may be involved in determining the polarity of photoreceptor cells in the retina. SFRP1 is expressed in several human tissues, with the highest levels in heart.

Limitations

This product is for research use only and is not approved for use in humans or in clinical diagnosis. Primary Antibodies are guaranteed for 1 year from date of receipt.

Customers Who Viewed This Item Also Viewed...

1169-FR
Species: Mu
Applications: Bind
AF1329
Species: Hu, Mu, Rt
Applications: ChIP, CyTOF-ready, ICC, IHC, ICFlow, Simple Western, WB
5439-DK
Species: Hu
Applications: BA
6266-SF
Species: Hu
Applications: BA
1827-SF/CF
Species: Hu
Applications: BA
1341-WF
Species: Hu
Applications: BA
NB200-106
Species: Mu, Rt
Applications: ELISA, ICC/IF, IHC, IHC-Fr,  IHC-P, WB
NB100-91662
Species: Hu, Mu, Rt
Applications: Flow, ICC/IF, IHC,  IHC-P, Simple Western, WB
AF4885
Species: Mu
Applications: IP, WB
7584-SF/CF
Species: Hu
Applications: BA
NBP2-03644
Species: Hu, Mu, Rt
Applications: Flow, ICC/IF, IHC,  IHC-P, WB
AF1118
Species: Hu
Applications: ELISA(Cap), ELISA(Det), ELISA(Sta), ELISA, IHC
AF4196
Species: Hu, Mu
Applications: CyTOF-ready, ICFlow, WB
NBP2-80662
Species: Hu
Applications: CyTOF-ready, Flow-CS, Flow, IHC,  IHC-P, WB
AF748
Species: Hu, Mu
Applications: CyTOF-ready, Dual ISH-IHC, Flow, ICC, IHC, Simple Western, WB
5036-WN
Species: Hu
Applications: BA, BA
NBP2-50465
Species: Hu
Applications: CyTOF-ready, Flow-CS, Flow, IHC,  IHC-P
AF1329
Species: Hu, Mu, Rt
Applications: ChIP, CyTOF-ready, ICC, IHC, ICFlow, Simple Western, WB
NBP2-89148
Species: Hu, Mu, Rt
Applications: WB, Flow, ICC/IF, IHC

Publications for sFRP-1 Antibody (NBP2-89148) (0)

There are no publications for sFRP-1 Antibody (NBP2-89148).
By submitting your publication information earn gift cards and discounts for future purchases.

Reviews for sFRP-1 Antibody (NBP2-89148) (0)

There are no reviews for sFRP-1 Antibody (NBP2-89148). By submitting a review you will receive an Amazon e-Gift Card or Novus Product Discount.
  • Review with no image -- $10/€7/£6/$10 CAD/¥70 Yuan/¥1110 Yen
  • Review with an image -- $25/€18/£15/$25 CAD/¥150 Yuan/¥2500 Yen

Product General Protocols

Find general support by application which include: protocols, troubleshooting, illustrated assays, videos and webinars.

Video Protocols

WB Video Protocol
ICC/IF Video Protocol

FAQs for sFRP-1 Antibody (NBP2-89148) (0)

There are no specific FAQs related to this product. Read our general customer & technical service FAQs.

Secondary Antibodies

 

Isotype Controls

Additional sFRP-1 Products

Research Areas for sFRP-1 Antibody (NBP2-89148)

Find related products by research area.

Blogs on sFRP-1

There are no specific blogs for sFRP-1, but you can read our latest blog posts.

Contact Information

Product PDFs

Calculators

Concentration Calculator

The concentration calculator allows you to quickly calculate the volume, mass or concentration of your vial. Simply enter your mass, volume, or concentration values for your reagent and the calculator will determine the rest.

=
÷

Review this Product

Be the first to review our sFRP-1 Antibody and receive a gift card or discount.

Bioinformatics

Gene Symbol SFRP1