RPL37A Antibody

Images

 
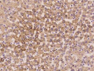
Immunohistochemistry-Paraffin: RPL37A Antibody [NBP2-97946] - Immunochemical staining of human RPL37A in human liver with rabbit polyclonal antibody at 1:100 dilution, formalin-fixed paraffin embedded sections.

Product Details

Summary
Product Discontinued
View other related RPL37A Primary Antibodies

Order Details


    • Catalog Number
      NBP2-97946
    • Availability
      Product Discontinued

    Can't find what you are looking for? Use our Antibody Concierge Service & we will help you locate your antibody!

    Or feel free to contact us for alternative products.

RPL37A Antibody Summary

Description
This antibody can be stored at 2C to 8C for one month without detectable loss of activity. Antibody products are stable for twelve months from date of receipt when stored at -20C to -80C. Avoid repeated freeze-thaw cycles.
Immunogen
Produced in rabbits immunized with E. coli-derived Human RPL37A fragment.
Isotype
IgG
Clonality
Polyclonal
Host
Rabbit
Gene
RPL37A
Purity
Antigen and protein A Affinity-purified
Innovator's Reward
Test in a species/application not listed above to receive a full credit towards a future purchase.

Applications/Dilutions

Dilutions
  • Immunohistochemistry-Paraffin 1:50-1:200

Packaging, Storage & Formulations

Storage
Store at 4C short term. Aliquot and store at -20C long term. Avoid freeze-thaw cycles.
Buffer
PBS
Preservative
0.03% Proclin 300
Purity
Antigen and protein A Affinity-purified

Alternate Names for RPL37A Antibody

  • 60S ribosomal protein L37a
  • MGC74786
  • ribosomal protein L37a

Background

RPL37A - ribosomal protein L37a

Limitations

This product is for research use only and is not approved for use in humans or in clinical diagnosis. Primary Antibodies are guaranteed for 1 year from date of receipt.

Customers Who Viewed This Item Also Viewed...

NBP2-95175
Species: Hu, Mu, Rt
Applications: WB
NBP2-19807
Species: Hu, Mu, Rt
Applications: ICC/IF, IHC, IHC-P, WB
MAB7158
Species: Hu, Mu
Applications: IHC, WB
NBP2-92441
Species: Hu, Mu, Rt
Applications: ICC/IF, IHC, IHC-P, WB
NB300-221
Species: Av, Bv, Ca, Ch, ChHa, Dr, Eq, Fe, Ha, Hu, Mu, Ma-Op, Po, Pm, Rb, Rt, Sh, Ze
Applications: ChIP, ICC/IF, IHC, IHC-Fr, IP, KD, Simple Western, Single-Cell Western, WB
H00151056-B01P
Species: Hu, Mu
Applications: WB
NB600-501
Species: Bv, Ca, Ch, Dr(-), Fe, Fi, Gp, Ha, Hu, Le, Ma, Mu, Po, Pm, Rb, Rt, Sh, Sq, Tr, Ze
Applications: ChIP, ELISA, Flow, ICC/IF, IHC, IHC-Fr, IHC-P, IP, KD, KO, Simple Western, WB
NB600-533
Species: Hu, Mu
Applications: Flow, ICC/IF, IHC, IP, Simple Western, WB
1129-ER
Species: Hu
Applications: BA
NB300-560
Species: Av, Bv, Ma, Hu, Mu, Pm, Rt
Applications: IF, IHC, IHC-Fr, IHC-P, WB
NBP1-31413
Species: Hu, Mu, Rt
Applications: ICC/IF, IHC, IHC-P, KD, WB
AF5415
Species: Hu
Applications: ICC, IHC, Simple Western, WB
NBP1-85062
Species: Hu
Applications: IHC, IHC-P, WB
NBP1-30993
Species: Ha, Hu, Mu, Rt
Applications: ICC/IF, IHC, IHC-P, KD, WB
NBP2-20217
Species: Hu, Mu, Rt, Ze
Applications: ICC/IF, IHC, IHC-P, WB
NBP1-89781
Species: Hu
Applications: IHC, IHC-P, WB
MAB5929
Species: Hu, Mu, Rt
Applications: WB
NBP2-03621
Species: Hu, Mu, Rt
Applications: ICC/IF, IHC, IHC-P, WB
AF1356
Species: Hu, Mu
Applications: CyTOF-ready, Dual ISH-IHC, Flow, IHC, Simple Western, WB
NBP2-97946
Species: Hu
Applications: IHC

Publications for RPL37A Antibody (NBP2-97946) (0)

There are no publications for RPL37A Antibody (NBP2-97946).
By submitting your publication information earn gift cards and discounts for future purchases.

Reviews for RPL37A Antibody (NBP2-97946) (0)

There are no reviews for RPL37A Antibody (NBP2-97946). By submitting a review you will receive an Amazon e-Gift Card or Novus Product Discount.
  • Review with no image -- $10/€7/£6/$10 CAD/¥70 Yuan/¥1110 Yen
  • Review with an image -- $25/€18/£15/$25 CAD/¥150 Yuan/¥2500 Yen

Product General Protocols

Find general support by application which include: protocols, troubleshooting, illustrated assays, videos and webinars.

FAQs for RPL37A Antibody (NBP2-97946) (0)

There are no specific FAQs related to this product. Read our general customer & technical service FAQs.

Contact Information

Product PDFs

Calculators

Concentration Calculator

The concentration calculator allows you to quickly calculate the volume, mass or concentration of your vial. Simply enter your mass, volume, or concentration values for your reagent and the calculator will determine the rest.

=
÷

Review this Product

Be the first to review our RPL37A Antibody and receive a gift card or discount.

Bioinformatics

Gene Symbol RPL37A