RPL18A Antibody (6G6G10)

Images

 
Western Blot: RPL18A Antibody (6G6G10) [NBP2-37396] - Western blot analysis using RPL18A mouse mAb against NIH3T3 (1), HEK293 (2), HL60 (3), Jurkat (4), Raji (5), MOLT4 (6), and HeLa (7) cell lysate.
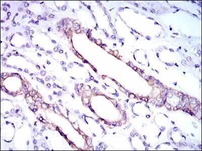
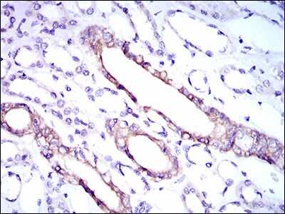
Immunohistochemistry: RPL18A Antibody (6G6G10) [NBP2-37396] - Immunohistochemical analysis of paraffin-embedded kidney tissues using RPL18A mouse mAb with DAB staining.
Western Blot: RPL18A Antibody (6G6G10) [NBP2-37396] - Western blot analysis using RPL18A mAb against human RPL18A recombinant protein. (Expected MW is *** kDa)
ELISA: RPL18A Antibody (6G6G10) [NBP2-37396] - Red: Control Antigen (100ng); Purple: Antigen (10ng); Green: Antigen (50ng); Blue: Antigen (100ng);

Product Details

Summary
Product Discontinued
View other related RPL18A Primary Antibodies

Order Details


    • Catalog Number
      NBP2-37396
    • Availability
      Product Discontinued

    Can't find what you are looking for? Use our Antibody Concierge Service & we will help you locate your antibody!

    Or feel free to contact us for alternative products.

RPL18A Antibody (6G6G10) Summary

Immunogen
Purified recombinant fragment of human RPL18A (AA: 50-176) expressed in E. Coli.
Isotype
IgG1
Clonality
Monoclonal
Host
Mouse
Gene
RPL18A
Purity
Unpurified
Innovator's Reward
Test in a species/application not listed above to receive a full credit towards a future purchase.

Applications/Dilutions

Dilutions
  • ELISA 1:10000
  • Immunohistochemistry 1:200 - 1:1000
  • Immunohistochemistry-Paraffin 1:200 - 1:1000
  • Western Blot 1:500 - 1:2000
Theoretical MW
20.8 kDa.
Disclaimer note: The observed molecular weight of the protein may vary from the listed predicted molecular weight due to post translational modifications, post translation cleavages, relative charges, and other experimental factors.

Reactivity Notes

Please note that this antibody is reactive to Mouse and derived from the same host, Mouse. Additional Mouse on Mouse blocking steps may be required for IHC and ICC experiments. Please contact Technical Support for more information.

Packaging, Storage & Formulations

Storage
Store at 4C short term. Aliquot and store at -20C long term. Avoid freeze-thaw cycles.
Buffer
Ascites
Preservative
0.03% Sodium Azide
Purity
Unpurified

Alternate Names for RPL18A Antibody (6G6G10)

  • 60S ribosomal protein L18a
  • ribosomal protein L18a
  • ribosomal protein L18a-like protein

Background

RPL18A, also referred to as 60S Ribosomal Protein L18A, is a component of the large 60S subunit of ribosomes. RPL18A is 176 amino acids in length and is approximately 20kDa. RPL18A has a high binding affinity for Importin 9, a nuclear transport receptor that averts aggregation of RPS7 and RPL18A in the cytoplasm. Current research on RPL18A has shown a possible link with hepatitis C, malaria and Treacher Collins syndrome. RPL18A has also been shown to interact with HIST1H4A, HIST1H4B, HIST1H4C, HIST1H4D and HIST1H4E.

Limitations

This product is for research use only and is not approved for use in humans or in clinical diagnosis. Primary Antibodies are guaranteed for 1 year from date of receipt.

Customers Who Viewed This Item Also Viewed...

NBP2-13251
Species: Hu
Applications: ICC/IF, IHC,  IHC-P, WB
H00058516-B02P
Species: Hu
Applications: ICC/IF, IHC,  IHC-P, KD, WB
MAB8930
Species: Hu
Applications: ICC, Simple Western, WB
NB100-2269
Species: Hu, Mu
Applications: IHC,  IHC-P, IP, KD, WB
H00006124-M01
Species: Hu, Mu, Rt
Applications: ELISA, ICC/IF, S-ELISA, WB
NBP1-80803
Species: Hu
Applications: ICC/IF, IHC,  IHC-P
NBP1-87100
Species: Hu, Mu, Rt
Applications: ICC/IF, IHC,  IHC-P, WB
NBP3-05567
Species: Hu, Mu
Applications: ICC/IF, WB
NBP1-85385
Species: Hu
Applications: ICC/IF, IHC,  IHC-P, WB
NBP2-47278
Species: Hu, Mu
Applications: ICC/IF, IHC,  IHC-P, WB
NBP3-45266
Species: Hu, Mu, Rt
Applications: ELISA, IHC, WB
MAB7158
Species: Hu, Mu
Applications: IHC, WB
H00006143-M01
Species: Hu, Mu, Rt, Ye
Applications: ELISA, ICC/IF, IHC, IHC-Fr,  IHC-P, WB
NBP3-12600
Species: Hu
Applications: ICC/IF,  IHC-P, IP, WB
NBP1-85062
Species: Hu
Applications: IHC,  IHC-P, WB
NBP1-42827
Species: Ch, Fi, Hu, Pm, Mu, Rt, Re, Xp
Applications: ICC/IF, IHC, IHC-Fr, WB
NBP1-81328
Species: Hu
Applications: ICC/IF, WB
MAB8164
Species: Hu
Applications: CyTOF-ready, Flow, ICC, IHC
NBP2-38992
Species: Hu
Applications: ICC/IF, IHC,  IHC-P, WB
NBP2-33694
Species: Hu
Applications: ICC/IF, IHC,  IHC-P

Publications for RPL18A Antibody (NBP2-37396) (0)

There are no publications for RPL18A Antibody (NBP2-37396).
By submitting your publication information earn gift cards and discounts for future purchases.

Reviews for RPL18A Antibody (NBP2-37396) (0)

There are no reviews for RPL18A Antibody (NBP2-37396). By submitting a review you will receive an Amazon e-Gift Card or Novus Product Discount.
  • Review with no image -- $10/€7/£6/$10 CAD/¥70 Yuan/¥1110 Yen
  • Review with an image -- $25/€18/£15/$25 CAD/¥150 Yuan/¥2500 Yen

Product General Protocols

Find general support by application which include: protocols, troubleshooting, illustrated assays, videos and webinars.

Video Protocols

WB Video Protocol

FAQs for RPL18A Antibody (NBP2-37396) (0)

There are no specific FAQs related to this product. Read our general customer & technical service FAQs.

Secondary Antibodies

 

Isotype Controls

Additional RPL18A Products

Research Areas for RPL18A Antibody (NBP2-37396)

Find related products by research area.

Blogs on RPL18A

There are no specific blogs for RPL18A, but you can read our latest blog posts.

Contact Information

Product PDFs

Calculators

Concentration Calculator

The concentration calculator allows you to quickly calculate the volume, mass or concentration of your vial. Simply enter your mass, volume, or concentration values for your reagent and the calculator will determine the rest.

=
÷

Review this Product

Be the first to review our RPL18A Antibody (6G6G10) and receive a gift card or discount.

Bioinformatics

Gene Symbol RPL18A