RFC3 Antibody

Images

 
Western Blot: RFC3 Antibody [NBP2-97788] - Lane A: Jurkat Whole Cell LysateLysates/proteins at 30 ug per lane.SecondaryGoat Anti-Rabbit IgG (H+L)/HRP at 1/10000 dilution.Developed using the ECL technique.Performed under ...read more
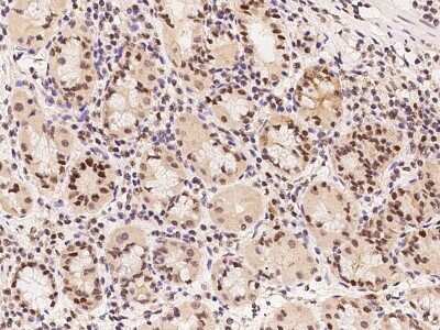
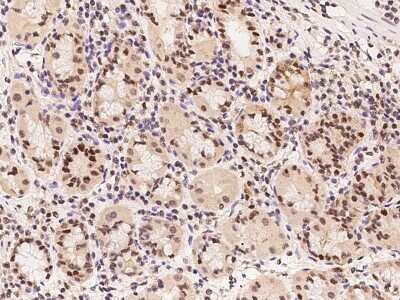
Immunohistochemistry-Paraffin: RFC3 Antibody [NBP2-97788] - Staining of human RFC3 in human stomach with rabbit polyclonal antibody at 1:100 dilution.
Immunoprecipitation: RFC3 Antibody [NBP2-97788] - Lane A:0.5 mg Jurkat Whole Cell Lysate4 uL anti-RFC3 rabbit polyclonal antibody and 60 ug of Immunomagnetic beads Protein A/G.Primary antibody:Anti-RFC3 rabbit ...read more

Product Details

Summary
Product Discontinued
View other related RFC3 Primary Antibodies

Order Details


    • Catalog Number
      NBP2-97788
    • Availability
      Product Discontinued

    Can't find what you are looking for? Use our Antibody Concierge Service & we will help you locate your antibody!

    Or feel free to contact us for alternative products.

RFC3 Antibody Summary

Description
This antibody can be stored at 2C to 8C for one month without detectable loss of activity. Antibody products are stable for twelve months from date of receipt when stored at -20C to -80C. Avoid repeated freeze-thaw cycles.
Immunogen
Produced in rabbits immunized with E. coli-derived Human RFC3 fragment.
Isotype
IgG
Clonality
Polyclonal
Host
Rabbit
Gene
RFC3
Purity
Antigen Affinity-purified
Innovator's Reward
Test in a species/application not listed above to receive a full credit towards a future purchase.

Applications/Dilutions

Dilutions
  • Immunohistochemistry 1:50-1:200
  • Immunohistochemistry-Paraffin 1:50-1:200
  • Immunoprecipitation 1-5 uL/mg of lysate
  • Western Blot 1:500-1:2000

Packaging, Storage & Formulations

Storage
Store at 4C short term. Aliquot and store at -20C long term. Avoid freeze-thaw cycles.
Buffer
PBS (pH 7.0)
Preservative
0.03% Proclin 300
Purity
Antigen Affinity-purified

Alternate Names for RFC3 Antibody

  • A1 38 kDa subunit
  • Activator 1 38 kDa subunit
  • Activator 1 subunit 3
  • MGC5276
  • replication factor C (activator 1) 3 (38kD)
  • replication factor C (activator 1) 3, 38kDa
  • Replication factor C 38 kDa subunit
  • replication factor C subunit 3
  • RFC, 38 kD subunit
  • RFC38RF-C 38 kDa subunit

Background

The elongation of primed DNA templates by DNA polymerase delta and DNA polymerase epsilon requires the accessory proteins proliferating cell nuclear antigen (PCNA) and replication factor C (RFC). RFC, also named activator 1, is a protein complex consisting of five distinct subunits of 140, 40, 38, 37, and 36 kD. This gene encodes the 38 kD subunit. This subunit is essential for the interaction between the 140 kD subunit and the core complex that consists of the 36, 37, and 40 kD subunits. Alternatively spliced transcript variants encoding distinct isoforms have been described.

Limitations

This product is for research use only and is not approved for use in humans or in clinical diagnosis. Primary Antibodies are guaranteed for 1 year from date of receipt.

Customers Who Viewed This Item Also Viewed...

NB500-106
Species: Ch, Dr, Fi, Hu, Mar, Mu, Po, Pm, Rb, Rt, Ye, Ze
Applications: ChIP, ChIP, ELISA, Flow, ICC/IF, IHC-FrFl, IHC, IHC-Fr,  IHC-P, IP, Simple Western, WB
AF3989
Species: Hu, Mu, Rt
Applications: WB
AF6457
Species: Hu
Applications: WB
NBP1-59904
Species: Hu
Applications: IHC,  IHC-P, WB
NBP2-45570
Species: Hu, Mu, Rt
Applications: Flow, IHC,  IHC-P, WB
NBP2-45946
Species: Ca, Hu, Pm, Mu, Rt
Applications: ICC/IF, IHC,  IHC-P, WB
NBP3-13066
Species: Hu, Mu, Rt
Applications: IHC,  IHC-P, WB
NBP2-67563
Species: Hu, Mu, Rt
Applications: Flow, IHC,  IHC-P, WB
AF1230
Species: Hu, Mu, Rt
Applications: IHC, KO, WB
NBP1-87137
Species: Hu
Applications: ICC/IF, IHC,  IHC-P, WB
NBP2-24457
Species: Hu, Mu, Pm
Applications: IHC,  IHC-P, WB
NBP2-38780
Species: Hu
Applications: ICC/IF, IHC,  IHC-P, WB
NBP1-84022
Species: Hu
Applications: ICC/IF, IHC,  IHC-P, WB
NBP2-37568
Species: Hu
Applications: ELISA, Flow, ICC/IF, IHC,  IHC-P, WB
NBP1-85525
Species: Hu
Applications: IHC,  IHC-P, WB
NBP1-31310
Species: Hu, Mu
Applications: ICC/IF, IHC,  IHC-P, IP, KD, KO, WB
409-ML
Species: Mu
Applications: BA
NBP1-68874
Species: Hu, Mu, Rt
Applications: PEP-ELISA, WB
NBP1-81796
Species: Hu, Mu, Rt
Applications: ICC/IF, IHC,  IHC-P, WB
NBP2-55454
Species: Hu
Applications: ICC/IF, WB

Publications for RFC3 Antibody (NBP2-97788) (0)

There are no publications for RFC3 Antibody (NBP2-97788).
By submitting your publication information earn gift cards and discounts for future purchases.

Reviews for RFC3 Antibody (NBP2-97788) (0)

There are no reviews for RFC3 Antibody (NBP2-97788). By submitting a review you will receive an Amazon e-Gift Card or Novus Product Discount.
  • Review with no image -- $10/€7/£6/$10 CAD/¥70 Yuan/¥1110 Yen
  • Review with an image -- $25/€18/£15/$25 CAD/¥150 Yuan/¥2500 Yen

Product General Protocols

Find general support by application which include: protocols, troubleshooting, illustrated assays, videos and webinars.

Video Protocols

WB Video Protocol

FAQs for RFC3 Antibody (NBP2-97788) (0)

There are no specific FAQs related to this product. Read our general customer & technical service FAQs.

Secondary Antibodies

 

Isotype Controls

Additional RFC3 Products

Research Areas for RFC3 Antibody (NBP2-97788)

Find related products by research area.

Blogs on RFC3

There are no specific blogs for RFC3, but you can read our latest blog posts.

Contact Information

Product PDFs

Calculators

Concentration Calculator

The concentration calculator allows you to quickly calculate the volume, mass or concentration of your vial. Simply enter your mass, volume, or concentration values for your reagent and the calculator will determine the rest.

=
÷

Review this Product

Be the first to review our RFC3 Antibody and receive a gift card or discount.

Bioinformatics

Gene Symbol RFC3