Rapsyn Antibody

Images

 
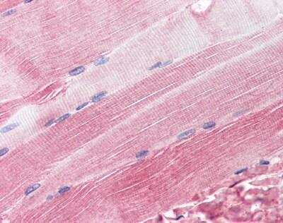
Immunohistochemistry-Paraffin: Rapsyn Antibody [NBP1-39563] - Analysis of anti-RAPSN / RAPSYN antibody with human skeletal muscle at concentration 20 ug/ml.

Product Details

Summary
Product Discontinued
View other related Rapsyn Primary Antibodies

Order Details


    • Catalog Number
      NBP1-39563
    • Availability
      Product Discontinued

    Can't find what you are looking for? Use our Antibody Concierge Service & we will help you locate your antibody!

    Or feel free to contact us for alternative products.

Rapsyn Antibody Summary

Immunogen
Synthetic peptide from human Rapsyn.
Isotype
IgG
Clonality
Polyclonal
Host
Rabbit
Gene
RAPSN
Purity
Immunogen affinity purified
Innovator's Reward
Test in a species/application not listed above to receive a full credit towards a future purchase.

Applications/Dilutions

Dilutions
  • ELISA 1:100 - 1:2000
  • Immunohistochemistry
  • Immunohistochemistry-Paraffin 10-20 ug/ml
  • Western Blot 1 ug/ml

Packaging, Storage & Formulations

Storage
Store at 4C short term. Aliquot and store at -20C long term. Avoid freeze-thaw cycles.
Buffer
PBS and 50% Glycerol
Preservative
0.01% Sodium Azide
Concentration
0.5 mg/ml
Purity
Immunogen affinity purified

Alternate Names for Rapsyn Antibody

  • 43 kDa postsynaptic protein
  • Acetylcholine receptor-associated 43 kDa protein
  • CMS1D43 kDa receptor-associated protein of the synapse
  • CMS1EMGC3597
  • rapsyn
  • receptor-associated protein of the synapse
  • receptor-associated protein of the synapse, 43kD
  • RNF205RING finger protein 205

Background

This protein belongs to a family of proteins that are receptor associated proteins of the synapse. It contains a conserved cAMP-dependent protein kinase phosphorylation site. It is believed to play some role in anchoring or stabilizing the nicotinic acetylcholine receptor at synaptic sites. It may link the receptor to the underlying postsynaptic cytoskeleton, possibly by direct association with actin or spectrin. Two splice variants have been identified for this gene.

Limitations

This product is for research use only and is not approved for use in humans or in clinical diagnosis. Primary Antibodies are guaranteed for 1 year from date of receipt.

Customers Who Viewed This Item Also Viewed...

550-AG
Species: Rt
Applications: BA, BA
NB100-1519
Species: Hu, Mu, Rt
Applications: Flow, ICC/IF, IHC-FrFl, PEP-ELISA, WB
NBP3-47447
Species: Hu, Rt
Applications: ELISA, IHC, WB
AF6868
Species: Hu
Applications: IHC, KO, WB
NBP1-89953
Species: Hu, Mu
Applications: ICC/IF, IHC,  IHC-P
NBP2-93514
Species: Hu, Mu
Applications: ELISA, ICC/IF, IHC,  IHC-P, WB
AF562
Species: Rt
Applications: Neut, WB
NBP1-30052
Species: Ch, Gp, Hu, Mu, Pm, Rt
Applications: ICC/IF, IHC-FrFl, IHC-WhMt, IHC, IHC-Fr,  IHC-P, WB
NB120-2804
Species: Am, Ch, Fi, Hu, Mu, Rt
Applications: ICC/IF, IHC, IHC-Fr,  IHC-P, IP, WB
NBP2-61674
Species: Hu
Applications: ELISA, WB
NBP2-30861
Species: Hu
Applications: ICC/IF
NBP1-79952
Species: Hu
Applications: WB
NB100-93304
Species: ChHa, Hu
Applications: IP, WB
NBP3-47613
Species: Hu, Mu, Rt
Applications: ELISA, IHC, WB

Publications for Rapsyn Antibody (NBP1-39563) (0)

There are no publications for Rapsyn Antibody (NBP1-39563).
By submitting your publication information earn gift cards and discounts for future purchases.

Reviews for Rapsyn Antibody (NBP1-39563) (0)

There are no reviews for Rapsyn Antibody (NBP1-39563). By submitting a review you will receive an Amazon e-Gift Card or Novus Product Discount.
  • Review with no image -- $10/€7/£6/$10 CAD/¥70 Yuan/¥1110 Yen
  • Review with an image -- $25/€18/£15/$25 CAD/¥150 Yuan/¥2500 Yen

Product General Protocols

Find general support by application which include: protocols, troubleshooting, illustrated assays, videos and webinars.

Video Protocols

WB Video Protocol

FAQs for Rapsyn Antibody (NBP1-39563) (0)

There are no specific FAQs related to this product. Read our general customer & technical service FAQs.

Secondary Antibodies

 

Isotype Controls

Additional Rapsyn Products

Research Areas for Rapsyn Antibody (NBP1-39563)

Find related products by research area.

Blogs on Rapsyn

There are no specific blogs for Rapsyn, but you can read our latest blog posts.

Contact Information

Product PDFs

Calculators

Concentration Calculator

The concentration calculator allows you to quickly calculate the volume, mass or concentration of your vial. Simply enter your mass, volume, or concentration values for your reagent and the calculator will determine the rest.

=
÷

Review this Product

Be the first to review our Rapsyn Antibody and receive a gift card or discount.

Bioinformatics

Gene Symbol RAPSN
Entrez
Uniprot