Protein Phosphatase inhibitor 1 Antibody (SN0756)

Images

 
Western Blot: Protein Phosphatase inhibitor 1 Antibody (SN0756) [NBP2-67695] - Analysis of PPP1R1A on Rat brain lysates using anti-PPP1R1A antibody at 1/1,000 dilution.
Immunocytochemistry/ Immunofluorescence: Protein Phosphatase inhibitor 1 Antibody (SN0756) [NBP2-67695] - Staining PPP1R1A in N2A cells (green). The nuclear counter stain is DAPI (blue). Cells were fixed in ...read more
Immunohistochemistry-Paraffin: Protein Phosphatase inhibitor 1 Antibody (SN0756) [NBP2-67695] - Analysis of paraffin-embedded mouse kidney tissue using anti-PPP1R1A antibody. Counter stained with hematoxylin.
Flow Cytometry: Protein Phosphatase inhibitor 1 Antibody (SN0756) [NBP2-67695] - Flow cytometric analysis of SH-SY5Y cells with Protein Phosphatase inhibitor 1 antibody at 1/50 dilution (red) compared with an unlabeled ...read more
Immunocytochemistry/ Immunofluorescence: Protein Phosphatase inhibitor 1 Antibody (SN0756) [NBP2-67695] - Staining PPP1R1A in SHG-44 cells (green). The nuclear counter stain is DAPI (blue). Cells were fixed in ...read more
Immunocytochemistry/ Immunofluorescence: Protein Phosphatase inhibitor 1 Antibody (SN0756) [NBP2-67695] - Staining PPP1R1A in SH-SY5Y cells (green). The nuclear counter stain is DAPI (blue). Cells were fixed in ...read more
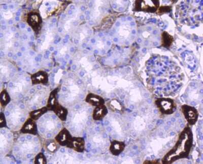
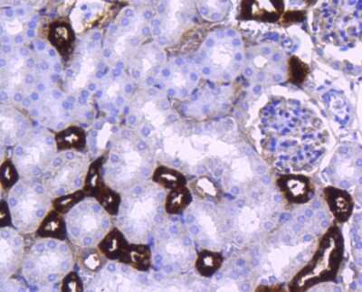
Immunohistochemistry-Paraffin: Protein Phosphatase inhibitor 1 Antibody (SN0756) [NBP2-67695] - Analysis of paraffin-embedded human kidney tissue using anti-PPP1R1A antibody. Counter stained with hematoxylin.
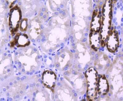
Immunohistochemistry-Paraffin: Protein Phosphatase inhibitor 1 Antibody (SN0756) [NBP2-67695] - Analysis of paraffin-embedded mouse brain tissue using anti-PPP1R1A antibody. Counter stained with hematoxylin.

Order Details


    • Catalog Number
      NBP2-67695
    • Availability
      Product Discontinued

    Can't find what you are looking for? Use our Antibody Concierge Service & we will help you locate your antibody!

    Or feel free to contact us for alternative products.

Protein Phosphatase inhibitor 1 Antibody (SN0756) Summary

Additional Information
Recombinant Monoclonal Antibody.
Immunogen
Synthetic peptide within Human Protein Phosphatase inhibitor 1 aa 1-50 / 171. (SwissProt: Q13522 Human; SwissProt: Q9ERT9 Mouse; SwissProt: P19103 Rat)
Localization
Cytoplasm.
Isotype
IgG
Clonality
Monoclonal
Host
Rabbit
Gene
PPP1R1A
Purity
Protein A purified
Innovator's Reward
Test in a species/application not listed above to receive a full credit towards a future purchase.

Applications/Dilutions

Dilutions
  • Flow Cytometry 1:50-1:100
  • Immunocytochemistry/ Immunofluorescence 1:50-1:200
  • Immunohistochemistry
  • Immunohistochemistry-Paraffin 1:100-1:500
  • Immunoprecipitation
  • Western Blot 1:1000

Packaging, Storage & Formulations

Storage
Store at 4C short term. Aliquot and store at -20C long term. Avoid freeze-thaw cycles.
Buffer
TBS (pH7.4), 0.05% BSA, 40% Glycerol
Preservative
0.05% Sodium Azide
Concentration
1 mg/ml
Purity
Protein A purified

Alternate Names for Protein Phosphatase inhibitor 1 Antibody (SN0756)

  • I1
  • I-1
  • IPP-1
  • IPP1inhibitor-1
  • protein phosphatase 1 regulatory subunit 1A
  • protein phosphatase 1, regulatory (inhibitor) subunit 1A
  • Protein phosphatase inhibitor 1
  • protein phosphatase inhibitor-1

Background

The inhibitor of protein phosphatase 1 (IPP-1, I-1) is an endogenous inhibitor of protein phophastase 1 (PP-1), a signal transducer in many cellular pathways. IPP-1 is a member of heat-stable PP1 inhibitory subunits, which includes DARPP-32, (a homologue of IPP-1) and IPP-2. First discovered in rabbit skeletal muscle, IPP-1 is expressed in various mammalian tissues. IPP-1 inhibition of PP-1 is controlled through phosphorylation at Thr35 by cAMP-dependent protein kinase and a tetra-peptide consensus motif in various PP-1 binding proteins (1). IPP-1 is a hormonal control in muscle contraction, pituitary cell growth, synaptic plasticity by neurotransmitters, and glycogen metabolism (2). In vivo, IPP-1 is phosphorylated at Ser-67 by NCLK, which also initiates inhibition of PP-1 by IPP-1 (3). Triggered by increase in calcium level, IPP-1 is inactivated by PP2B through de-phosphorylation (4).

Limitations

This product is for research use only and is not approved for use in humans or in clinical diagnosis. Primary Antibodies are guaranteed for 1 year from date of receipt.

Customers Who Viewed This Item Also Viewed...

NBP1-31348
Species: Hu, Mu, Rt
Applications: ICC/IF, IHC,  IHC-P, WB
NBP1-90113
Species: Hu, Mu, Rt
Applications: ICC/IF, IHC,  IHC-P, KD, WB
MAB1417
Species: Bv, Hu, Mu
Applications: ICC, IHC
NBP2-19807
Species: Hu, Mu, Po, Rt
Applications: ICC/IF, IHC,  IHC-P, WB
AF9024
Species: Mu, Rt
Applications: IHC, WB
NBP1-89522
Species: Hu, Mu, Rt
Applications: ICC/IF, IHC,  IHC-P, WB
MAB4230
Species: Mu, Rt
Applications: IHC, WB
NBP2-13961
Species: Hu
Applications: ICC/IF, IHC,  IHC-P, WB
NBP2-54301
Species: Hu, Mu, Rt
Applications: CyTOF-ready, ELISA, IHC,  IHC-P, WB
NBP1-87232
Species: Hu
Applications: ICC/IF, IHC,  IHC-P, WB
H00151056-B01P
Species: Hu, Mu
Applications: WB
MAB1455
Species: Hu
Applications: CyTOF-ready, Dual ISH-IHC, ICC, IHC, ICFlow, Simple Western, WB
NBP1-32870
Species: Ch, Hu
Applications: IHC,  IHC-P, IP, KD, WB
AF1513
Species: Mu
Applications: CyTOF-ready, Flow, IHC, IP, Simple Western, WB
NBP3-25721
Species: Ca, Fe, Hu, Mu, Rt
Applications: ICC/IF, IHC,  IHC-P, WB
664-LI
Species: Hu
Applications: BA

Publications for Protein Phosphatase inhibitor 1 Antibody (NBP2-67695) (0)

There are no publications for Protein Phosphatase inhibitor 1 Antibody (NBP2-67695).
By submitting your publication information earn gift cards and discounts for future purchases.

Reviews for Protein Phosphatase inhibitor 1 Antibody (NBP2-67695) (0)

There are no reviews for Protein Phosphatase inhibitor 1 Antibody (NBP2-67695). By submitting a review you will receive an Amazon e-Gift Card or Novus Product Discount.
  • Review with no image -- $10/€7/£6/$10 CAD/¥70 Yuan/¥1110 Yen
  • Review with an image -- $25/€18/£15/$25 CAD/¥150 Yuan/¥2500 Yen

Product General Protocols

Video Protocols

WB Video Protocol
ICC/IF Video Protocol

FAQs for Protein Phosphatase inhibitor 1 Antibody (NBP2-67695) (0)

There are no specific FAQs related to this product. Read our general customer & technical service FAQs.

Secondary Antibodies

 

Isotype Controls

Additional Protein Phosphatase inhibitor 1 Products

Research Areas for Protein Phosphatase inhibitor 1 Antibody (NBP2-67695)

Find related products by research area.

Blogs on Protein Phosphatase inhibitor 1

There are no specific blogs for Protein Phosphatase inhibitor 1, but you can read our latest blog posts.

Contact Information

Product PDFs

Calculators

Concentration Calculator

The concentration calculator allows you to quickly calculate the volume, mass or concentration of your vial. Simply enter your mass, volume, or concentration values for your reagent and the calculator will determine the rest.

=
÷

Review this Product

Be the first to review our Protein Phosphatase inhibitor 1 Antibody (SN0756) and receive a gift card or discount.

Bioinformatics

Gene Symbol PPP1R1A