PHOSPHO1 Antibody

Images

 
Western Blot: PHOSPHO1 Antibody [NBP2-19805] - Sample (30 ug of whole cell lysate) A: HeLa 12% SDS PAGE diluted at 1:500
Immunohistochemistry-Paraffin: PHOSPHO1 Antibody [NBP2-19805] - Paraffin-embedded papillary lung adenocarcinoma . PHOSPHO1 antibody dilution: 1:500.
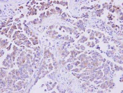
Immunohistochemistry-Paraffin: PHOSPHO1 Antibody [NBP2-19805] - Immunohistochemical analysis of paraffin-embedded AdCA xenograft, using antibody at 1:500 dilution.

Product Details

Summary
Product Discontinued
View other related PHOSPHO1 Primary Antibodies

Order Details


    • Catalog Number
      NBP2-19805
    • Availability
      Product Discontinued

    Can't find what you are looking for? Use our Antibody Concierge Service & we will help you locate your antibody!

    Or feel free to contact us for alternative products.

PHOSPHO1 Antibody Summary

Immunogen
Recombinant protein encompassing a sequence within the center region of human PHOSPHO1. The exact sequence is proprietary.
Predicted Species
Rat (93%), Bovine (92%). Backed by our 100% Guarantee.
Isotype
IgG
Clonality
Polyclonal
Host
Rabbit
Gene
PHOSPHO1
Purity
Immunogen affinity purified
Innovator's Reward
Test in a species/application not listed above to receive a full credit towards a future purchase.

Applications/Dilutions

Dilutions
  • Immunohistochemistry 1:100-1:1000
  • Immunohistochemistry-Paraffin 1:100-1:1000
  • Western Blot 1:500-1:3000
Theoretical MW
30 kDa.
Disclaimer note: The observed molecular weight of the protein may vary from the listed predicted molecular weight due to post translational modifications, post translation cleavages, relative charges, and other experimental factors.

Packaging, Storage & Formulations

Storage
Aliquot and store at -20C or -80C. Avoid freeze-thaw cycles.
Buffer
0.1M Tris (pH 7), 0.1M Glycine, 20% Glycerol
Preservative
0.01% Thimerosal
Purity
Immunogen affinity purified

Alternate Names for PHOSPHO1 Antibody

  • EC 3.1.3.75
  • phosphatase, orphan 1
  • phosphoethanolamine/phosphocholine phosphatase

Background

Phosphatase that has a high activity toward phosphoethanolamine (PEA) and phosphocholine (PCho). May be involved in the generation of inorganic phosphate for bone mineralization.

Limitations

This product is for research use only and is not approved for use in humans or in clinical diagnosis. Primary Antibodies are guaranteed for 1 year from date of receipt.

Customers Who Viewed This Item Also Viewed...

AF2910
Species: Mu
Applications: CyTOF-ready, Flow, ICC, IHC, IP, WB
NBP1-77361
Species: Hu, Mu, Rt
Applications: ELISA, ICC/IF, IHC,  IHC-P, WB
NBP1-81168
Species: Hu
Applications: ICC/IF, IHC,  IHC-P, WB
H00003033-M01
Species: Hu
Applications: ELISA, ICC/IF, IHC,  IHC-P, IP, WB
NBP2-27561
Species: Ch, Hu, Rt
Applications: IHC,  IHC-P, PEP-ELISA, WB
NB100-1793
Species: Hu, Pm, Mu, Rt
Applications: Flow, IB, ICC/IF, IHC, IHC-Fr,  IHC-P, PEP-ELISA
NBP1-31348
Species: Hu, Mu, Rt
Applications: ICC/IF, IHC,  IHC-P, WB
NBP2-16756
Species: Hu, Mu, Rt
Applications: ICC/IF, IHC, IHC-Fr,  IHC-P, WB
MAB1268
Species: Hu
Applications: ICC, IHC, IP, Simple Western, WB
NBP2-35208
Species: Hu
Applications: BA, PAGE
AF5659
Species: Hu
Applications: WB
NBP1-81838
Species: Hu, Mu
Applications: IHC,  IHC-P, WB
NBP2-02450
Species: Hu
Applications: ICC/IF, IHC,  IHC-P, WB
NBP1-71805
Species: Hu
Applications: IP, WB
NBP2-16471
Species: Hu, Mu, Rt
Applications: IHC,  IHC-P, WB
NBP1-87203
Species: Hu
Applications: IHC,  IHC-P, WB
MAB4937
Species: Hu
Applications: CyTOF-ready, ICFlow, WB
NBP2-19805
Species: Hu, Mu, Rt, Bv
Applications: WB, IHC
⚠ WARNING: This product can expose you to chemicals including mercury, which is known to the State of California to cause reproductive toxicity with developmental effects.  For more information go to www.P65Warnings.ca.gov.

Publications for PHOSPHO1 Antibody (NBP2-19805) (0)

There are no publications for PHOSPHO1 Antibody (NBP2-19805).
By submitting your publication information earn gift cards and discounts for future purchases.

Reviews for PHOSPHO1 Antibody (NBP2-19805) (0)

There are no reviews for PHOSPHO1 Antibody (NBP2-19805). By submitting a review you will receive an Amazon e-Gift Card or Novus Product Discount.
  • Review with no image -- $10/€7/£6/$10 CAD/¥70 Yuan/¥1110 Yen
  • Review with an image -- $25/€18/£15/$25 CAD/¥150 Yuan/¥2500 Yen

Product General Protocols

Find general support by application which include: protocols, troubleshooting, illustrated assays, videos and webinars.

Video Protocols

WB Video Protocol

FAQs for PHOSPHO1 Antibody (NBP2-19805) (0)

There are no specific FAQs related to this product. Read our general customer & technical service FAQs.

Secondary Antibodies

 

Isotype Controls

Additional PHOSPHO1 Products

Research Areas for PHOSPHO1 Antibody (NBP2-19805)

Find related products by research area.

Blogs on PHOSPHO1

There are no specific blogs for PHOSPHO1, but you can read our latest blog posts.

Contact Information

Product PDFs

Calculators

Concentration Calculator

The concentration calculator allows you to quickly calculate the volume, mass or concentration of your vial. Simply enter your mass, volume, or concentration values for your reagent and the calculator will determine the rest.

=
÷

Review this Product

Be the first to review our PHOSPHO1 Antibody and receive a gift card or discount.

Bioinformatics

Gene Symbol PHOSPHO1
Uniprot