PHF8 Antibody

Images

 
Western Blot: PHF8 Antibody [NBP2-76957] - Western blot analysis of PHF8 on different cell lysate using anti-PHF8 antibody at 1/500 dilution.Positive control:Lane1: PC-3MLane2: A431Lane3: Human kidney tissue
Immunocytochemistry/ Immunofluorescence: PHF8 Antibody [NBP2-76957] - ICC staining PHF8 in SiHa cells (green). The nuclear counter stain is DAPI (blue). Cells were fixed in paraformaldehyde, permeabilised with 0.25% ...read more
Immunohistochemistry: PHF8 Antibody [NBP2-76957] - Immunohistochemical analysis of paraffin-embedded mouse brain tissue using anti-PHF8 antibody. Counter stained with hematoxylin.
Flow Cytometry: PHF8 Antibody [NBP2-76957] - Flow cytometric analysis of SiHa cells with PHF8 antibody at 1/100 dilution (fuchsia) compared with an unlabelled control (cells without incubation with primary antibody; ...read more
Immunocytochemistry/ Immunofluorescence: PHF8 Antibody [NBP2-76957] - ICC staining PHF8 in Hela cells (green). The nuclear counter stain is DAPI (blue). Cells were fixed in paraformaldehyde, permeabilised with 0.25% ...read more
Immunocytochemistry/ Immunofluorescence: PHF8 Antibody [NBP2-76957] - ICC staining PHF8 in JAR cells (green). The nuclear counter stain is DAPI (blue). Cells were fixed in paraformaldehyde, permeabilised with 0.25% ...read more
Immunohistochemistry: PHF8 Antibody [NBP2-76957] - Immunohistochemical analysis of paraffin-embedded rat brain tissue using anti-PHF8 antibody. Counter stained with hematoxylin.
Immunohistochemistry: PHF8 Antibody [NBP2-76957] - Immunohistochemical analysis of paraffin-embedded human lung cancer tissue using anti-PHF8 antibody. Counter stained with hematoxylin.
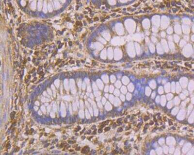
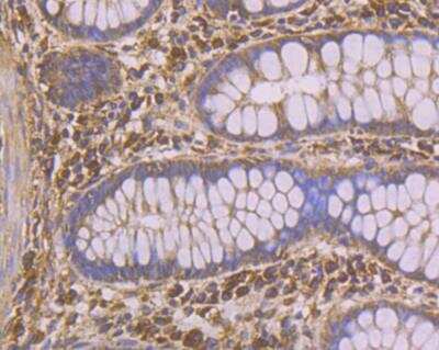
Immunohistochemistry: PHF8 Antibody [NBP2-76957] - Immunohistochemical analysis of paraffin-embedded human colon tissue using anti-PHF8 antibody. Counter stained with hematoxylin.

Product Details

Summary
Product Discontinued
View other related PHF8 Primary Antibodies

Order Details


    • Catalog Number
      NBP2-76957
    • Availability
      Product Discontinued

    Can't find what you are looking for? Use our Antibody Concierge Service & we will help you locate your antibody!

    Or feel free to contact us for alternative products.

PHF8 Antibody Summary

Immunogen
Recombinant protein within Human PHF8 aa 153-362 / 1,060. (SwissProt: Q9UPP1 Human)
Localization
Nuclear membrane.
Isotype
IgG
Clonality
Polyclonal
Host
Rabbit
Gene
PHF8
Purity
Immunogen affinity purified
Innovator's Reward
Test in a species/application not listed above to receive a full credit towards a future purchase.

Applications/Dilutions

Dilutions
  • Flow Cytometry 1:50-1:100
  • Immunocytochemistry/ Immunofluorescence 1:50-1:200
  • Immunohistochemistry
  • Immunohistochemistry-Paraffin 1:50-1:200
  • Western Blot 1:500-1:2000
Theoretical MW
118 kDa.
Disclaimer note: The observed molecular weight of the protein may vary from the listed predicted molecular weight due to post translational modifications, post translation cleavages, relative charges, and other experimental factors.

Packaging, Storage & Formulations

Storage
Store at 4C short term. Aliquot and store at -20C long term. Avoid freeze-thaw cycles.
Buffer
PBS (pH7.4), 0.2% BSA, 50% Glycerol
Preservative
0.05% Sodium Azide
Concentration
1 mg/ml
Purity
Immunogen affinity purified

Alternate Names for PHF8 Antibody

  • EC 1.14.11.27
  • histone lysine demethylase PHF8
  • jumonji C domain-containing histone demethylase 1F
  • KIAA1111
  • KIAA1111ZNF422JHDM1F
  • MRXSSD
  • PHD finger protein 8DKFZp686E0868
  • PHF8
  • ZNF422

Background

PHF8 (PHD finger protein 8) is a member of the jumonji family of proteins and contains a jumonji C (JmjC) domain. The JmjC proteins are predicted to be metalloenzymes that play a role a chromatin remodeling and histone demethylation. PHF8 also bears a PHD (plant homeodomain)- type zinc-finger, a domain also found to be involved in chromatin remodeling and transcriptional regulation. Truncating mutations in PHF8 are associated with X-linked mental retardation and cleft lip/cleft palate. PHF8 is also known as ZNF422 and KIAA1111.

Limitations

This product is for research use only and is not approved for use in humans or in clinical diagnosis. Primary Antibodies are guaranteed for 1 year from date of receipt.

Customers Who Viewed This Item Also Viewed...

NB100-81657
Species: Hu, Mu
Applications: ChIP, IHC,  IHC-P, IP, WB
NB500-171
Species: Hu, I, Mu, Rt, Xp, Ye
Applications: ChIP, IB, ICC/IF, IHC,  IHC-P, Single-Cell Western, WB
AF5810
Species: Hu, Mu
Applications: IHC, WB
NB110-40585
Species: Hu, Mu
Applications: ICC/IF, IP, WB
NBP2-13977
Species: Hu
Applications: ICC/IF, IHC,  IHC-P
NBP3-46113
Species: Hu, Mu, Rt
Applications: ELISA, IHC, IP, , WB
NBP1-49600
Species: Hu, Mu
Applications: ChIP, ChIP, ICC/IF, IHC,  IHC-P, IP, KD, Simple Western, WB
NBP2-07996
Species: Hu
Applications: WB
NBL1-11570
Species: Hu
Applications: WB
H00008365-M01
Species: Hu
Applications: ELISA, ICC/IF, S-ELISA
NBL1-11567
Species: Hu
Applications: WB
NBP2-52486
Species: Hu
Applications: CyTOF-ready, ELISA, Flow, ICC/IF, IHC,  IHC-P, WB
NBP2-24716
Species: Hu, Mu, Pm
Applications: ICC/IF, IHC,  IHC-P, WB
NB100-558
Species: Hu, Mu
Applications: ChIP, CHIP-SEQ, IHC,  IHC-P, IP, WB
NB100-68209
Species: Hu
Applications: IP, KD, WB
NBP2-76957
Species: Hu, Mu, Rt
Applications: WB, Flow, ICC/IF, IHC

Publications for PHF8 Antibody (NBP2-76957) (0)

There are no publications for PHF8 Antibody (NBP2-76957).
By submitting your publication information earn gift cards and discounts for future purchases.

Reviews for PHF8 Antibody (NBP2-76957) (0)

There are no reviews for PHF8 Antibody (NBP2-76957). By submitting a review you will receive an Amazon e-Gift Card or Novus Product Discount.
  • Review with no image -- $10/€7/£6/$10 CAD/¥70 Yuan/¥1110 Yen
  • Review with an image -- $25/€18/£15/$25 CAD/¥150 Yuan/¥2500 Yen

Product General Protocols

Find general support by application which include: protocols, troubleshooting, illustrated assays, videos and webinars.

Video Protocols

WB Video Protocol
ICC/IF Video Protocol

FAQs for PHF8 Antibody (NBP2-76957) (0)

There are no specific FAQs related to this product. Read our general customer & technical service FAQs.

Contact Information

Product PDFs

Calculators

Concentration Calculator

The concentration calculator allows you to quickly calculate the volume, mass or concentration of your vial. Simply enter your mass, volume, or concentration values for your reagent and the calculator will determine the rest.

=
÷

Review this Product

Be the first to review our PHF8 Antibody and receive a gift card or discount.

Bioinformatics

Gene Symbol PHF8