PDK-1 Antibody (SD204-9)

Images

 
Western Blot: PDK-1 Antibody (SD204-9) [NBP2-67755] - Western blot analysis of PDK-1 on different lysates. Proteins were transferred to a PVDF membrane and blocked with 5% BSA in PBS for 1 hour at room temperature. The ...read more
Immunocytochemistry/ Immunofluorescence: PDK-1 Antibody (SD204-9) [NBP2-67755] - Staining PDPK1 in SW480 cells (green). The nuclear counter stain is DAPI (blue). Cells were fixed in paraformaldehyde, permeabilised with ...read more
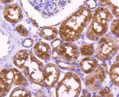
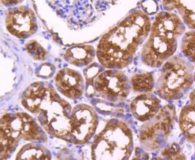
Immunohistochemistry-Paraffin: PDK-1 Antibody (SD204-9) [NBP2-67755] - Analysis of paraffin-embedded mouse kidney tissue using anti-PDPK1 antibody. Counter stained with hematoxylin.
Western Blot: PDK-1 Antibody (SD204-9) [NBP2-67755] - Analysis of PDPK1 on different lysates using anti-PDPK1 antibody at 1/1,000 dilution. Positive control: Lane 1: 293T Lane 2: PC-12 Lane 3: HL-60
Immunocytochemistry/ Immunofluorescence: PDK-1 Antibody (SD204-9) [NBP2-67755] - Staining PDPK1 in Hela cells (green). The nuclear counter stain is DAPI (blue). Cells were fixed in paraformaldehyde, permeabilised with ...read more
Immunocytochemistry/ Immunofluorescence: PDK-1 Antibody (SD204-9) [NBP2-67755] - Staining PDPK1 in MCF-7 cells (green). The nuclear counter stain is DAPI (blue). Cells were fixed in paraformaldehyde, permeabilised with ...read more
Immunohistochemistry-Paraffin: PDK-1 Antibody (SD204-9) [NBP2-67755] - Analysis of paraffin-embedded human breast carcinoma tissue using anti-PDPK1 antibody. Counter stained with hematoxylin.
Immunohistochemistry-Paraffin: PDK-1 Antibody (SD204-9) [NBP2-67755] - Analysis of paraffin-embedded human colon cancer tissue using anti-PDPK1 antibody. Counter stained with hematoxylin.
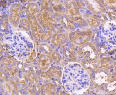
Immunohistochemistry-Paraffin: PDK-1 Antibody (SD204-9) [NBP2-67755] - Analysis of paraffin-embedded human kidney tissue using anti-PDPK1 antibody. Counter stained with hematoxylin.

Product Details

Summary
Product Discontinued
View other related PDK-1 Primary Antibodies

Order Details


    • Catalog Number
      NBP2-67755
    • Availability
      Product Discontinued

    Can't find what you are looking for? Use our Antibody Concierge Service & we will help you locate your antibody!

    Or feel free to contact us for alternative products.

PDK-1 Antibody (SD204-9) Summary

Additional Information
Recombinant Monoclonal Antibody.
Immunogen
Synthetic peptide within Human PDK-1 aa 1-50 / 556. (SwissProt: O15530 Human; SwissProt: Q9Z2A0 Mouse; SwissProt: O55173 Rat)
Localization
Cell membrane, Nucleus, Cytoplasm, focal adhesion.
Isotype
IgG
Clonality
Monoclonal
Host
Rabbit
Gene
PDPK1
Purity
Protein A purified
Innovator's Reward
Test in a species/application not listed above to receive a full credit towards a future purchase.

Applications/Dilutions

Dilutions
  • Immunocytochemistry/ Immunofluorescence 1:100-1:500
  • Immunohistochemistry
  • Immunohistochemistry-Paraffin 1:50-1:200
  • Western Blot 1:500-1:2000

Packaging, Storage & Formulations

Storage
Store at 4C short term. Aliquot and store at -20C long term. Avoid freeze-thaw cycles.
Buffer
TBS (pH7.4), 0.05% BSA, 40% Glycerol
Preservative
0.05% Sodium Azide
Concentration
1 mg/ml
Purity
Protein A purified

Alternate Names for PDK-1 Antibody (SD204-9)

  • 3-phosphoinositide-dependent protein kinase 1
  • 3-phosphoinositide-dependent protein kinase 2 pseudogene
  • PDK1
  • PDK-1
  • PDPK1
  • PDPK2
  • PDPK2P
  • PkB kinase like gene 1
  • PKB kinase

Background

PDK-1 (3-phosphoinositide-dependent protein kinase, gene name PDPK1) is a 58 -68 kDa, 556 amino acid (aa) monomeric protein of the AGC serine/threonine kinase family. It is activated by phosphorylation in the presence of PtdIns(3,4,5) P3 or PtdIns(3,4) P2. Akt, S6 kinases, PKA and PKC-zeta are reported PDK-1 substrates. Through Akt, PDK-1 mediates many of the intracellular actions of insulin. Within the region used as an immunogen, human PDK-1 shares 98% aa identity with mouse and rat PDK-1. One reported isoform has an alternate start site at aa 50, while another lacking aa 238-263 is predicted to be catalytically inactive.

Limitations

This product is for research use only and is not approved for use in humans or in clinical diagnosis. Primary Antibodies are guaranteed for 1 year from date of receipt.

Customers Who Viewed This Item Also Viewed...

AF887
Species: Hu, Mu, Rt
Applications: CyTOF-ready, IHC, ICFlow, Simple Western, WB
MAB6210
Species: Hu
Applications: Simple Western, WB
NBP2-19804
Species: Hu, Mu
Applications: ICC/IF, IHC,  IHC-P, WB
NBP2-15071
Species: Hu, Mu, Rt
Applications: ICC/IF, IHC,  IHC-P, KO, WB
NBP2-46404
Species: Hu, Mu, Rt
Applications: IHC,  IHC-P
NB600-607
Species: Hu, Rt
Applications: ELISA, IHC,  IHC-P, WB
MAB1417
Species: Bv, Hu, Mu
Applications: ICC, IHC
NB100-1595
Species: Hu, Mu
Applications: IHC,  IHC-P, IP, WB
NBP1-87799
Species: Hu, Mu, Rt
Applications: ICC/IF, IHC,  IHC-P, WB
AF847
Species: Hu, Mu, Rt
Applications: CyTOF-ready, IHC, ICFlow, KO, Simple Western, WB
NB600-1049
Species: Hu, Mu, Rt
Applications: ICC/IF, IHC,  IHC-P, WB
DYC1825-2
Species: Hu, Mu, Rt
Applications: ELISA
AF3200
Species: Hu
Applications: IHC, WB
AF1230
Species: Hu, Mu, Rt
Applications: IHC, KO, WB
291-G1
Species: Hu
Applications: BA
NBP2-82026
Species: Hu, Mu, Rt
Applications: ELISA, ICC/IF, IHC,  IHC-P, WB
NBP2-02300
Species: Hu, Mu, Rt
Applications: Flow, IHC,  IHC-P, WB
MAB79671
Species: Hu, Mu, Rt
Applications: ICC, Simple Western, WB
NBP1-32870
Species: Ch, Hu
Applications: IHC,  IHC-P, IP, KD, WB

Publications for PDK-1 Antibody (NBP2-67755) (0)

There are no publications for PDK-1 Antibody (NBP2-67755).
By submitting your publication information earn gift cards and discounts for future purchases.

Reviews for PDK-1 Antibody (NBP2-67755) (0)

There are no reviews for PDK-1 Antibody (NBP2-67755). By submitting a review you will receive an Amazon e-Gift Card or Novus Product Discount.
  • Review with no image -- $10/€7/£6/$10 CAD/¥70 Yuan/¥1110 Yen
  • Review with an image -- $25/€18/£15/$25 CAD/¥150 Yuan/¥2500 Yen

Product General Protocols

Find general support by application which include: protocols, troubleshooting, illustrated assays, videos and webinars.

Video Protocols

WB Video Protocol
ICC/IF Video Protocol

FAQs for PDK-1 Antibody (NBP2-67755) (0)

There are no specific FAQs related to this product. Read our general customer & technical service FAQs.

Secondary Antibodies

 

Isotype Controls

Additional PDK-1 Products

Research Areas for PDK-1 Antibody (NBP2-67755)

Find related products by research area.

Blogs on PDK-1

There are no specific blogs for PDK-1, but you can read our latest blog posts.

Contact Information

Product PDFs

Calculators

Concentration Calculator

The concentration calculator allows you to quickly calculate the volume, mass or concentration of your vial. Simply enter your mass, volume, or concentration values for your reagent and the calculator will determine the rest.

=
÷

Review this Product

Be the first to review our PDK-1 Antibody (SD204-9) and receive a gift card or discount.

Bioinformatics

Gene Symbol PDPK1