PAMCI Antibody - BSA Free

Images

 
Independent Antibodies: Western Blot: PAMCI Antibody [NBP1-80938] - Analysis using Anti-RASSF9 antibody NBP1-80938 (A) shows similar pattern to independent antibody NBP1-80937 (B).
Western Blot: PAMCI Antibody [NBP1-80938] - Analysis in mouse cell line NIH-3T3 and rat cell line NBT-II.
Staining of human skin shows moderate cytoplasmic positivity in squamous epithelial cells.
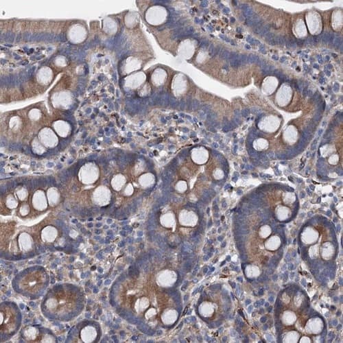
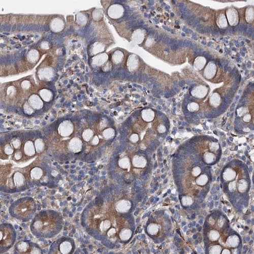
Staining of human small intestine shows strong cytoplasmic positivity in glandular cells.
Staining of human breast shows strong membranous positivity in glandular cells.
Staining of human lymph node shows no positivity in non-germinal center cells as expected.

Product Details

Summary
Reactivity Hu, Mu, RtSpecies Glossary
Applications WB, IHC
Clonality
Polyclonal
Host
Rabbit
Conjugate
Unconjugated
Format
BSA Free
Validated by:
 

Independent Antibodies

       

Order Details

View Available Formulations
Catalog# & Formulation Size Price

PAMCI Antibody - BSA Free Summary

Description
Novus Biologicals Rabbit PAMCI Antibody - BSA Free (NBP1-80938) is a polyclonal antibody validated for use in IHC and WB. All Novus Biologicals antibodies are covered by our 100% guarantee.
Immunogen
This antibody was developed against Recombinant Protein corresponding to amino acids: YELLAKEFNSLHISNKDGCQLKENRAKESEVPSSNGEIPPFTQRVFSNYTNDTDSDTGISSNHSQDSETTVGDVVLLST
Isotype
IgG
Clonality
Polyclonal
Host
Rabbit
Gene
RASSF9
Purity
Immunogen affinity purified
Innovator's Reward
Test in a species/application not listed above to receive a full credit towards a future purchase.

Applications/Dilutions

Dilutions
  • Immunohistochemistry 1:50 - 1:200
  • Immunohistochemistry-Paraffin 1:50 - 1:200
  • Western Blot 0.04 - 0.4 ug/ml
Application Notes
For IHC-Paraffin, HIER pH 6 retrieval is recommended.
Control Peptide
PAMCI Protein (NBP1-80938PEP)

Packaging, Storage & Formulations

Storage
Store at 4C short term. Aliquot and store at -20C long term. Avoid freeze-thaw cycles.
Buffer
PBS (pH 7.2) and 40% Glycerol
Preservative
0.02% Sodium Azide
Purity
Immunogen affinity purified

Alternate Names for PAMCI Antibody - BSA Free

  • PAM COOH-terminal interactor protein 1
  • PAMCI
  • PCIP1
  • P-CIP1peptidylglycine alpha-amidating monooxygenase COOH-terminal interactorprotein-1
  • Peptidylglycine alpha-amidating monooxygenase COOH-terminal interactor
  • Ras association (RalGDS/AF-6) domain family (N-terminal) member 9
  • ras association domain-containing protein 9

Background

The protein encoded by the PAMCI gene localizes to perinuclear endosomes. This protein associates with peptidylglycine alpha-amidating monooxygenase, and may be involved with the trafficking of this enzyme through secretory or endosomal pathways. (provided by RefSeq)

Limitations

This product is for research use only and is not approved for use in humans or in clinical diagnosis. Primary Antibodies are guaranteed for 1 year from date of receipt.

Customers Who Viewed This Item Also Viewed...

NBP2-88128
Species: Hu
Applications: IHC,  IHC-P, WB
H00050848-M01
Species: Hu
Applications: ELISA, ICC/IF, IHC,  IHC-P, PLA, S-ELISA, WB
2914-HT
Species: Hu
Applications: BA
H00011228-M01
Species: Hu, Mu
Applications: ELISA, ICC/IF, IHC,  IHC-P, IP, S-ELISA, WB
NBP3-32621
Species: Hu, Mu, Rt
Applications: Flow, ICC/IF, IHC,  IHC-P, WB
NBP2-49320
Species: Hu
Applications: ICC/IF, IHC,  IHC-P, WB
NBP2-41130
Species: Hu
Applications: ELISA, IHC,  IHC-P, WB
NBP2-29463
Species: Pm, Hu, Pm, Mu
Applications: Flow, ICC/IF, IHC,  IHC-P, WB
NBP3-05039
Species: Hu, Mu, Rt
Applications: ELISA, WB
NBP1-84841
Species: Hu
Applications: ICC/IF, IHC,  IHC-P, WB
NBP2-03644
Species: Hu, Mu, Rt
Applications: Flow, ICC/IF, IHC,  IHC-P, WB
AF6897
Species: Hu, Mu
Applications: IHC, Simple Western, WB
NBP1-80938
Species: Hu, Mu, Rt
Applications: WB, IHC

Publications for PAMCI Antibody (NBP1-80938) (0)

There are no publications for PAMCI Antibody (NBP1-80938).
By submitting your publication information earn gift cards and discounts for future purchases.

Reviews for PAMCI Antibody (NBP1-80938) (0)

There are no reviews for PAMCI Antibody (NBP1-80938). By submitting a review you will receive an Amazon e-Gift Card or Novus Product Discount.
  • Review with no image -- $10/€7/£6/$10 CAD/¥70 Yuan/¥1110 Yen
  • Review with an image -- $25/€18/£15/$25 CAD/¥150 Yuan/¥2500 Yen

Product General Protocols

Find general support by application which include: protocols, troubleshooting, illustrated assays, videos and webinars.

Video Protocols

WB Video Protocol

FAQs for PAMCI Antibody (NBP1-80938) (0)

There are no specific FAQs related to this product. Read our general customer & technical service FAQs.

Customers Who Bought This Also Bought

Contact Information

Product PDFs

Calculators

Concentration Calculator

The concentration calculator allows you to quickly calculate the volume, mass or concentration of your vial. Simply enter your mass, volume, or concentration values for your reagent and the calculator will determine the rest.

=
÷

Review this Product

Be the first to review our PAMCI Antibody - BSA Free and receive a gift card or discount.

Bioinformatics

Gene Symbol RASSF9
Entrez
Uniprot