NRAMP2/SLC11A2/DMT1 Antibody

Images

 
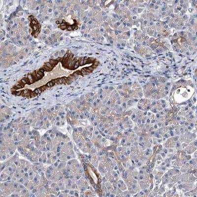
Immunohistochemistry-Paraffin: NRAMP2/SLC11A2/DMT1 Antibody [NBP1-91840] - Staining of human pancreas shows strong cytoplasmic and membranous positivity in pancreatic ducts.

Product Details

Summary
Product Discontinued
View other related NRAMP2/SLC11A2/DMT1 Primary Antibodies

Order Details


    • Catalog Number
      NBP1-91840
    • Availability
      Product Discontinued

    Can't find what you are looking for? Use our Antibody Concierge Service & we will help you locate your antibody!

    Or feel free to contact us for alternative products.

NRAMP2/SLC11A2/DMT1 Antibody Summary

Immunogen
This antibody was developed against Recombinant Protein corresponding to amino acids: QCLIALGMSFLDCGHTCHLGLTAQPELYLLNTMDADSLVSR
Isotype
IgG
Clonality
Polyclonal
Host
Rabbit
Gene
SLC11A2
Purity
Immunogen affinity purified
Innovator's Reward
Test in a species/application not listed above to receive a full credit towards a future purchase.

Applications/Dilutions

Dilutions
  • Immunohistochemistry 1:20 - 1:50
  • Immunohistochemistry-Paraffin 1:20 - 1:50
  • Western Blot -Reported in scientific literature (PMID: 30171894).
Application Notes
For IHC-Paraffin, HIER pH 6 retrieval is recommended.
Publications
Read Publications using
NBP1-91840 in the following applications:

  • WB
    2 publications

Reactivity Notes

Mouse reactivity reported in scientific literature (PMID: 30171894). Immunogen displays the following percentage of sequence identity for non-tested species: Rat (83%)

Packaging, Storage & Formulations

Storage
Store at 4C short term. Aliquot and store at -20C long term. Avoid freeze-thaw cycles.
Buffer
PBS (pH 7.2) and 40% Glycerol
Preservative
0.02% Sodium Azide
Purity
Immunogen affinity purified

Alternate Names for NRAMP2/SLC11A2/DMT1 Antibody

  • DCT1
  • DCT1NRAMP 2
  • Divalent cation transporter 1
  • Divalent metal transporter 1
  • DMT-1
  • DMT1FLJ37416
  • member 2
  • NRAMP2
  • NRAMP2natural resistance-associated macrophage protein 2
  • SLC11A2
  • solute carrier family 11 (proton-coupled divalent metal ion transporters)

Background

The SLC11A2 gene encodes a divalent metal transporter (DMT1), which carries iron, manganese, cobalt, nickel, cadmium, lead, copper, and zinc. DMT1 participates in cellular iron absorption at the luminal surface of the duodenum as well as in other areas of the body (Hubert and Hentze, 2002 [PubMed 12209011]; Ludwiczek et al., 2007 [PubMed 17293870]).[supplied by OMIM]

Limitations

This product is for research use only and is not approved for use in humans or in clinical diagnosis. Primary Antibodies are guaranteed for 1 year from date of receipt.

Customers Who Viewed This Item Also Viewed...

MAB8400
Species: Hu
Applications: CyTOF-ready, Flow, WB
2914-HT
Species: Hu
Applications: BA
NBP1-21502
Species: Bv, Hu, Mu, Po, Rt
Applications: Flow-IC, Flow, ICC/IF, IHC,  IHC-P, WB
NB300-914
Species: Hu, Mu
Applications: IHC,  IHC-P, PEP-ELISA
DHP250
Species: Hu
Applications: ELISA
H00003077-M01
Species: Hu
Applications: ELISA, ICC/IF, WB
NBP3-41278
Species: Hu, Mu
Applications: IHC, WB
NB100-524
Species: Hu, Mu
Applications: Flow-IC, Flow, ICC/IF, IHC, IHC-Fr,  IHC-P, IP, WB
NBP2-79843
Species: Hu
Applications: CyTOF-ready, ELISA, Flow, ICC/IF, IHC,  IHC-P, PA, WB
7268-CT
Species: Hu
Applications: BA
NBP1-87677
Species: Hu, Mu, Rt
Applications: ICC/IF, IHC,  IHC-P, WB
NBP3-15868
Species: Hu, Mu, Rt
Applications: ELISA, ICC/IF, IHC,  IHC-P, WB
NBP2-59376
Species: Hu, Mu, Rt
Applications: ICC/IF, IHC,  IHC-P, IP, WB
MEP00B
Species: Mu
Applications: ELISA
H00004598-M02
Species: Hu
Applications: ELISA, IHC,  IHC-P, S-ELISA, WB
NBP1-91840
Species: Hu, Mu
Applications: WB, IHC

Publications for NRAMP2/SLC11A2/DMT1 Antibody (NBP1-91840)(2)

We have publications tested in 1 confirmed species: Mouse.

We have publications tested in 1 application: WB.


Filter By Application
WB
(2)
All Applications
Filter By Species
Mouse
(1)
All Species

Reviews for NRAMP2/SLC11A2/DMT1 Antibody (NBP1-91840) (0)

There are no reviews for NRAMP2/SLC11A2/DMT1 Antibody (NBP1-91840). By submitting a review you will receive an Amazon e-Gift Card or Novus Product Discount.
  • Review with no image -- $10/€7/£6/$10 CAD/¥70 Yuan/¥1110 Yen
  • Review with an image -- $25/€18/£15/$25 CAD/¥150 Yuan/¥2500 Yen

Product General Protocols

Find general support by application which include: protocols, troubleshooting, illustrated assays, videos and webinars.

Video Protocols

WB Video Protocol

FAQs for NRAMP2/SLC11A2/DMT1 Antibody (NBP1-91840). (Showing 1 - 1 of 1 FAQs).

  1. Do you have a primary anti-DMT1 antibody against mouse for Western Blot?
    • We do not currently have any antibodies that we have tested against mouse for DMT1. However, if you would try one of our DMT1 antibodies against mouse, we do have an <a href="http://www.novusbio.com/support/innovators-reward.html" target="_self">Innovators Reward Program</a>.

Contact Information

Product PDFs

Calculators

Concentration Calculator

The concentration calculator allows you to quickly calculate the volume, mass or concentration of your vial. Simply enter your mass, volume, or concentration values for your reagent and the calculator will determine the rest.

=
÷

Review this Product

Be the first to review our NRAMP2/SLC11A2/DMT1 Antibody and receive a gift card or discount.

Bioinformatics

Gene Symbol SLC11A2