NK2R Antibody

Images

 
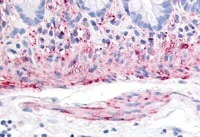
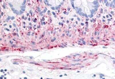
Immunohistochemistry-Paraffin: NK2R Antibody [NB100-58993] - Analysis of anti-Neurokinin A Receptor antibody with human colon, smooth muscle at concentration 20 ug/ml.

Product Details

Summary
Product Discontinued
View other related NK2R Primary Antibodies

Order Details


    • Catalog Number
      NB100-58993
    • Availability
      Product Discontinued

    Can't find what you are looking for? Use our Antibody Concierge Service & we will help you locate your antibody!

    Or feel free to contact us for alternative products.

NK2R Antibody Summary

Immunogen
Synthetic 20 amino acid peptide from 2nd extracellular domain of human Neurokinin A Receptor.
Epitope
2nd extracellular domain of human
Specificity
Human Neurokinin A Receptor. BLAST analysis of the peptide immunogen showed no homology with other human proteins.
Predicted Species
Porcine (90%), Rabbit (95%), Primate (95%), Equine (90%), Monkey (100%). Backed by our 100% Guarantee.
Isotype
IgG
Clonality
Polyclonal
Host
Rabbit
Gene
TACR2
Purity
Immunogen affinity purified
Innovator's Reward
Test in a species/application not listed above to receive a full credit towards a future purchase.

Applications/Dilutions

Dilutions
  • ELISA 1:100 - 1:2000
  • Immunohistochemistry
  • Immunohistochemistry-Paraffin 20 ug/ml

Reactivity Notes

Predicted cross-reactivity based on sequence identity: Gibbon (100%), Gorilla (95%), Marmoset (95%), Bovine (85%), Bat (85%), Canine (85%), Guinea Pig (85%), Mouse (80%), Hamster (80%).

Packaging, Storage & Formulations

Storage
Store at 4C short term. Aliquot and store at -20C long term. Avoid freeze-thaw cycles.
Buffer
PBS
Preservative
0.1% Sodium Azide
Concentration
0.5 mg/ml
Purity
Immunogen affinity purified

Alternate Names for NK2R Antibody

  • Neurokinin A Receptor
  • Neurokinin-2 Receptor
  • NK2R
  • NK2RNK-2 receptor
  • NKNAR
  • NKNARseven transmembrane helix receptor
  • SKR
  • SKRneurokinin 2 receptor
  • Substance K Receptor
  • substance-K receptor
  • TAC2R
  • TAC2Rsubstance K receptor
  • Tachykinin Receptor 2
  • tachykinin receptor 2NK-2R
  • TACR2

Background

Nucleostemin is a protein found in the nucleoli of embryonic stem cells, adult CNS stem cells, primitive cells in the bone marrow and cancer cells. It is not in the differentiated cells of most adult tissues. It has been suggested to play a role in controlling the cell-cycle progression in stem cells and cancer cells.

Limitations

This product is for research use only and is not approved for use in humans or in clinical diagnosis. Primary Antibodies are guaranteed for 1 year from date of receipt.

Customers Who Viewed This Item Also Viewed...

MAB4375
Species: Hu, Mu, Rt
Applications: IHC
NB300-119
Species: Hu, Mu, Rt
Applications: Flow, ICC/IF, IHC, IHC-Fr,  IHC-P, WB
MAB4077
Species: Hu
Applications: IHC, WB
NB300-102
Species: Gp, Hu(-), Mu, Rt, Sh
Applications: ICC/IF, IHC-FrFl, IHC, IHC-Fr, WB (-)
NBP1-19788
Species: Hu, Mu, Rt
Applications: ICC/IF, IHC,  IHC-P
NB300-201
Species: Hu, Mu, Rt
Applications: ICC/IF, IHC, IHC-Fr,  IHC-P, WB
NB300-201
Species: Hu, Mu, Rt
Applications: ICC/IF, IHC, IHC-Fr,  IHC-P, WB
MAB5745
Species: Hu
Applications: IHC, WB
NBP1-86125
Species: Hu
Applications: IHC,  IHC-P
NBP2-14845
Species: Hu
Applications: IHC,  IHC-P, WB
NBP2-46349
Species: Hu
Applications: IHC,  IHC-P, WB
NBP3-15868
Species: Hu, Mu, Rt
Applications: ELISA, ICC/IF, IHC,  IHC-P, WB
MAB6700
Species: Hu
Applications: CyTOF-ready, Flow
NBP2-03256
Species: Hu, Rt
Applications: Flow, ICC/IF, IHC,  IHC-P, WB
AF1126
Species: Mu
Applications: ELISA(Cap), ELISA(Det), ELISA(Sta), IHC, IP, WB

Publications for NK2R Antibody (NB100-58993) (0)

There are no publications for NK2R Antibody (NB100-58993).
By submitting your publication information earn gift cards and discounts for future purchases.

Reviews for NK2R Antibody (NB100-58993) (0)

There are no reviews for NK2R Antibody (NB100-58993). By submitting a review you will receive an Amazon e-Gift Card or Novus Product Discount.
  • Review with no image -- $10/€7/£6/$10 CAD/¥70 Yuan/¥1110 Yen
  • Review with an image -- $25/€18/£15/$25 CAD/¥150 Yuan/¥2500 Yen

Product General Protocols

Find general support by application which include: protocols, troubleshooting, illustrated assays, videos and webinars.

FAQs for NK2R Antibody (NB100-58993) (0)

There are no specific FAQs related to this product. Read our general customer & technical service FAQs.

Secondary Antibodies

 

Isotype Controls

Additional NK2R Products

Research Areas for NK2R Antibody (NB100-58993)

Find related products by research area.

Blogs on NK2R

There are no specific blogs for NK2R, but you can read our latest blog posts.

Contact Information

Product PDFs

Calculators

Concentration Calculator

The concentration calculator allows you to quickly calculate the volume, mass or concentration of your vial. Simply enter your mass, volume, or concentration values for your reagent and the calculator will determine the rest.

=
÷

Review this Product

Be the first to review our NK2R Antibody and receive a gift card or discount.

Bioinformatics

Gene Symbol TACR2
Entrez