Myoneurin Antibody (OTI1F10) - Azide and BSA Free

Images

 
Western Blot: Myoneurin Antibody (OTI1F10) - Azide and BSA Free [NBP2-72863] - HEK293T cells were transfected with the pCMV6-ENTRY control (Left lane) or pCMV6-ENTRY Myoneurin (Right lane) cDNA for 48 hrs and lysed. ...read more
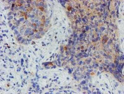
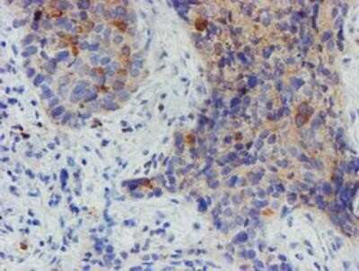
Immunohistochemistry: Myoneurin Antibody (OTI1F10) - Azide and BSA Free [NBP2-72863] - Staining of paraffin-embedded Carcinoma of Human lung tissue using anti-Myoneurin mouse monoclonal antibody.
Flow Cytometry: Myoneurin Antibody (OTI1F10) - Azide and BSA Free [NBP2-72863] - Analysis of Jurkat cells, using anti-Myoneurin antibody, (Red), compared to a nonspecific negative control antibody (Blue).
Flow Cytometry: Myoneurin Antibody (OTI1F10) - Azide and BSA Free [NBP2-72863] - Analysis of Hela cells, using anti-Myoneurin antibody, (Red), compared to a nonspecific negative control antibody (Blue).

Product Details

Summary
Reactivity Hu, Mu, RtSpecies Glossary
Applications WB, Flow, IHC, CyTOF-ready
Clone
OTI1F10
Clonality
Monoclonal
Host
Mouse
Conjugate
Unconjugated
Format
Azide and BSA Free
Concentration
LYOPH

Order Details

Myoneurin Antibody (OTI1F10) - Azide and BSA Free Summary

Description
Novus Biologicals Mouse Myoneurin Antibody (OTI1F10) - Azide and BSA Free (NBP2-03899) is a monoclonal antibody validated for use in IHC, WB and Flow. All Novus Biologicals antibodies are covered by our 100% guarantee.
Immunogen
Human recombinant protein fragment corresponding to amino acids 10-300 of human MYNN (NP_061127) produced in E.coli.
Isotype
IgG2b
Clonality
Monoclonal
Host
Mouse
Gene
MYNN
Purity
Immunogen affinity purified
Innovator's Reward
Test in a species/application not listed above to receive a full credit towards a future purchase.

Applications/Dilutions

Dilutions
  • CyTOF-ready
  • Flow Cytometry 1:100
  • Immunohistochemistry 1:150
  • Immunohistochemistry-Paraffin
  • Western Blot 1:2000
Theoretical MW
68.5 kDa.
Disclaimer note: The observed molecular weight of the protein may vary from the listed predicted molecular weight due to post translational modifications, post translation cleavages, relative charges, and other experimental factors.

Reactivity Notes

Please note that this antibody is reactive to Mouse and derived from the same host, Mouse. Mouse-On-Mouse blocking reagent may be needed for IHC and ICC experiments to reduce high background signal. You can find these reagents under catalog numbers PK-2200-NB and MP-2400-NB. Please contact Technical Support if you have any questions.

Packaging, Storage & Formulations

Storage
Store at -20C. Avoid freeze-thaw cycles.
Buffer
Lyophilized from PBS (pH 7.3) with 8% Trehalose
Preservative
No Preservative
Concentration
LYOPH
Purity
Immunogen affinity purified
Reconstitution Instructions
we recommend adding 100uL distilled water to a final antibody concentration of about 1 mg/mL. To use this carrier-free antibody for conjugation experiment, we strongly recommend performing another round of desalting process.

Alternate Names for Myoneurin Antibody (OTI1F10) - Azide and BSA Free

  • myoneurin
  • OSZF
  • ZBTB31SBBIZ1
  • Zinc finger and BTB domain-containing protein 31
  • zinc finger protein with BTB/POZ domain
  • ZNF902

Background

Myoneurin belongs to the BTB/POZ and zinc finger protein family. The BTB/POZ and zinc finger proteins (BTB/POZ-ZF) constitute a growing family of proteins with gene expression regulatory functions since they have been shown to be involved in both transcriptional activation and repression of various genes in a broad range of species.

Limitations

This product is for research use only and is not approved for use in humans or in clinical diagnosis. Primary Antibodies are guaranteed for 1 year from date of receipt.

Customers Who Viewed This Item Also Viewed...

NBP2-48848
Species: Hu
Applications: ChIP-EXO-SEQ, ICC/IF, IHC,  IHC-P, WB
NB100-836
Species: Hu
Applications: IHC,  IHC-P, PEP-ELISA, WB
1129-ER
Species: Hu
Applications: BA
NBP2-93073
Species: Hu, Mu, Rt
Applications: ICC/IF, IHC,  IHC-P, WB
NBP2-49303
Species: Hu
Applications: ICC/IF, IHC,  IHC-P, WB
NB100-404
Species: Hu
Applications: ChIP, ICC/IF, IHC,  IHC-P, IP, KD, KO, WB
MAB197
Species: Hu
Applications: CyTOF-reported, Dual ISH-IHC, Flow, ICC, IHC, Neut
NB500-179
Species: Hu, Ma, Mu, Po, Rt
Applications: Flow, ICC/IF, IP, KD, Simple Western, WB
NB600-930
Species: Hu, Rt
Applications: ELISA, WB
NBP2-72863
Species: Hu, Mu, Rt
Applications: WB, Flow, IHC, CyTOF-ready

Publications for Myoneurin Antibody (NBP2-72863) (0)

There are no publications for Myoneurin Antibody (NBP2-72863).
By submitting your publication information earn gift cards and discounts for future purchases.

Reviews for Myoneurin Antibody (NBP2-72863) (0)

There are no reviews for Myoneurin Antibody (NBP2-72863). By submitting a review you will receive an Amazon e-Gift Card or Novus Product Discount.
  • Review with no image -- $10/€7/£6/$10 CAD/¥70 Yuan/¥1110 Yen
  • Review with an image -- $25/€18/£15/$25 CAD/¥150 Yuan/¥2500 Yen

Product General Protocols

Find general support by application which include: protocols, troubleshooting, illustrated assays, videos and webinars.

Video Protocols

WB Video Protocol

FAQs for Myoneurin Antibody (NBP2-72863) (0)

There are no specific FAQs related to this product. Read our general customer & technical service FAQs.

Customers Who Bought This Also Bought

Contact Information

Product PDFs

Calculators

Concentration Calculator

The concentration calculator allows you to quickly calculate the volume, mass or concentration of your vial. Simply enter your mass, volume, or concentration values for your reagent and the calculator will determine the rest.

=
÷

Review this Product

Be the first to review our Myoneurin Antibody (OTI1F10) - Azide and BSA Free and receive a gift card or discount.

Bioinformatics

Gene Symbol MYNN