MST1/2 Antibody (SC05-83)

Images

 
Western Blot: MST1/2 Antibody (SC05-83) [NBP2-67624] - Analysis of Mst2 on different lysates using anti-Mst2 antibody at 1/1,000 dilution. Positive control: Lane 1: CRC Lane 2: HCT116
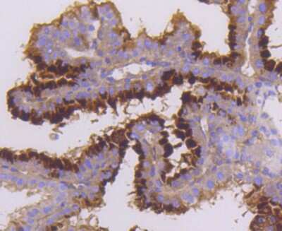
Immunohistochemistry-Paraffin: MST1/2 Antibody (SC05-83) [NBP2-67624] - Analysis of paraffin-embedded mouse placenta tissue using anti-Mst2 antibody. Counter stained with hematoxylin.

Product Details

Summary
Product Discontinued
View other related MST1/2 Primary Antibodies

Order Details


    • Catalog Number
      NBP2-67624
    • Availability
      Product Discontinued

    Can't find what you are looking for? Use our Antibody Concierge Service & we will help you locate your antibody!

    Or feel free to contact us for alternative products.

MST1/2 Antibody (SC05-83) Summary

Additional Information
Recombinant Monoclonal Antibody.
Immunogen
Synthetic peptide within N-terminal human MST1/2. (SwissProt: Q13188 Human; SwissProt: Q9JI11 Mouse; SwissProt: O54748 Rat)
Localization
Nucleus, Cytoplasm.
Isotype
IgG
Clonality
Monoclonal
Host
Rabbit
Gene
STK3
Purity
Protein A purified
Innovator's Reward
Test in a species/application not listed above to receive a full credit towards a future purchase.

Applications/Dilutions

Dilutions
  • Immunohistochemistry
  • Immunohistochemistry-Paraffin 1:50-1:200
  • Immunoprecipitation
  • Western Blot 1:1000-1:5000

Packaging, Storage & Formulations

Storage
Store at 4C short term. Aliquot and store at -20C long term. Avoid freeze-thaw cycles.
Buffer
TBS (pH7.4), 0.05% BSA, 40% Glycerol
Preservative
0.05% Sodium Azide
Concentration
1 mg/ml
Purity
Protein A purified

Alternate Names for MST1/2 Antibody (SC05-83)

  • KRS1
  • KRS2
  • Mammalian STE20-like protein kinase 1
  • Mammalian STE20-like protein kinase 2
  • mammalian sterile 20-like 1
  • serine/threonine-protein kinase 3
  • serine/threonine-protein kinase 4
  • Serine/threonine-protein kinase Krs-1
  • YSK3

Limitations

This product is for research use only and is not approved for use in humans or in clinical diagnosis. Primary Antibodies are guaranteed for 1 year from date of receipt.

Customers Who Viewed This Item Also Viewed...

NBP1-82865
Species: Hu, Mu, Rt
Applications: ICC/IF, IHC,  IHC-P, KD, WB
352-MS
Species: Hu
Applications: BA
NBP2-03644
Species: Hu, Mu, Rt
Applications: Flow, ICC/IF, IHC,  IHC-P, WB
NB110-58358
Species: Ca, Hu, Mu, Rt, Ze
Applications: ChIP, IB, ICC/IF, IHC, IHC-Fr,  IHC-P, IP, KD, KO, Simple Western, WB
H00060485-M02
Species: Hu, Mu, Ye
Applications: ELISA, ICC/IF, IHC,  IHC-P, IP, WB
NBP1-82617
Species: Hu, Mu, Rt
Applications: ICC/IF, IHC,  IHC-P, WB
AF5066
Species: Hu
Applications: WB
NBP2-33860
Species: Hu, Mu
Applications: IHC,  IHC-P, WB
NB200-197
Species: Hu, Mu
Applications: IP, WB
NBP1-81763
Species: Hu
Applications: IHC,  IHC-P
NBP2-73041
Species: Hu, Mu, Rt
Applications: CyTOF-ready, Flow, WB
H00011329-M01
Species: Hu, Mu
Applications: ELISA, ICC/IF, IHC,  IHC-P, IP, WB
MAB7940
Species: Hu
Applications: IHC, WB
MAB4540
Species: Hu, Mu, Rt
Applications: IHC, Simple Western, WB
NBP1-87833
Species: Hu, Mu, Rt
Applications: ELISA, ICC/IF, IHC,  IHC-P, WB
NBP3-46037
Species: Hu, Mu
Applications: ELISA, ICC/IF, IHC, , WB
NBP1-92435
Species: Hu
Applications: ICC/IF, IHC,  IHC-P
NBP1-32181
Species: Hu
Applications: ICC/IF, IHC,  IHC-P, WB

Publications for MST1/2 Antibody (NBP2-67624) (0)

There are no publications for MST1/2 Antibody (NBP2-67624).
By submitting your publication information earn gift cards and discounts for future purchases.

Reviews for MST1/2 Antibody (NBP2-67624) (0)

There are no reviews for MST1/2 Antibody (NBP2-67624). By submitting a review you will receive an Amazon e-Gift Card or Novus Product Discount.
  • Review with no image -- $10/€7/£6/$10 CAD/¥70 Yuan/¥1110 Yen
  • Review with an image -- $25/€18/£15/$25 CAD/¥150 Yuan/¥2500 Yen

Product General Protocols

Find general support by application which include: protocols, troubleshooting, illustrated assays, videos and webinars.

Video Protocols

WB Video Protocol

FAQs for MST1/2 Antibody (NBP2-67624) (0)

There are no specific FAQs related to this product. Read our general customer & technical service FAQs.

Contact Information

Product PDFs

Calculators

Concentration Calculator

The concentration calculator allows you to quickly calculate the volume, mass or concentration of your vial. Simply enter your mass, volume, or concentration values for your reagent and the calculator will determine the rest.

=
÷

Review this Product

Be the first to review our MST1/2 Antibody (SC05-83) and receive a gift card or discount.

Bioinformatics

Gene Symbol STK3