Lgr4/GPR48 Antibody

Images

 
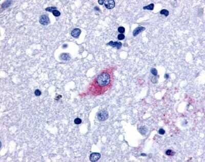
Immunohistochemistry-Paraffin: Lgr4/GPR48 Antibody [NLS1633] - Analysis of anti-LGR4 antibody with human brain, neurons and glia at 4 ug/ml.

Product Details

Summary
Product Discontinued
View other related Lgr4/GPR48 Primary Antibodies

Order Details


    • Catalog Number
      NLS1633
    • Availability
      Product Discontinued

    Can't find what you are looking for? Use our Antibody Concierge Service & we will help you locate your antibody!

    Or feel free to contact us for alternative products.

Lgr4/GPR48 Antibody Summary

Immunogen
Synthetic 19 amino acid peptide from 2nd cytoplasmic domain of human Lgr4/GPR48.
Epitope
2nd cytoplasmic domain of human
Specificity
Human LGR4. BLAST analysis of the peptide immunogen showed no homology with other human proteins.
Predicted Species
Porcine (95%), Orangutan (100%), Rabbit (95%), Monkey (95%). Backed by our 100% Guarantee.
Isotype
IgG
Clonality
Polyclonal
Host
Rabbit
Gene
LGR4
Purity
Immunogen affinity purified
Innovator's Reward
Test in a species/application not listed above to receive a full credit towards a future purchase.

Applications/Dilutions

Dilutions
  • Immunohistochemistry
  • Immunohistochemistry-Paraffin 4 - 10 ug/ml

Reactivity Notes

Predicted cross-reactivity based on sequence identity: Gorilla (100%), Gibbon (89%), Canine (89%), Bovine (89%), Marmoset (84%), Bat (84%).

Packaging, Storage & Formulations

Storage
Store at 4C short term. Aliquot and store at -20C long term. Avoid freeze-thaw cycles.
Buffer
PBS
Preservative
0.1% Sodium Azide
Concentration
1.0 mg/ml
Purity
Immunogen affinity purified

Alternate Names for Lgr4/GPR48 Antibody

  • GPR48
  • GPR48G protein-coupled receptor 48
  • G-protein coupled receptor 48
  • leucine-rich repeat containing G protein-coupled receptor 4
  • Lgr4

Background

GPR48 is an Orphan-A GPCR with an unknown ligand. GPR48 expression has been documented in human brain, adrenal, heart, kidney, liver, skeletal muscle, ovary, pancreas, placenta, prostate, spleen, stomach, testis, thyroid, and spinal cord.

Limitations

This product is for research use only and is not approved for use in humans or in clinical diagnosis. Primary Antibodies are guaranteed for 1 year from date of receipt.

Customers Who Viewed This Item Also Viewed...

MAB8458
Species: Hu
Applications: CyTOF-ready, Flow, ICC
NLS418
Species: Hu
Applications: IHC,  IHC-P
NLS2756
Species: Hu, Pm
Applications: ICC, IHC,  IHC-P
NLS1017
Species: Bt, Bv, Ca, Eq, Hu, Mu
Applications: IHC,  IHC-P
MAB194
Species: Hu, Mu
Applications: CyTOF-ready, Flow, ICC, WB
NLS2576
Species: Hu, Pm, Rt
Applications: IHC,  IHC-P
NBP1-28904
Species: Hu, Mu, Po
Applications: ICC/IF, IHC, IHC-Fr,  IHC-P, WB
AF231
Species: Hu
Applications: CyTOF-ready, Dual ISH-IHC, ELISA(Cap), ELISA(Det), ELISA(Sta), Flow, ICC, IHC, IP, Simple Western, WB
AF1555
Species: Hu
Applications: WB
DYC2510-2
Species: Hu, Mu, Rt
Applications: ELISA
AF7388
Species: Hu
Applications: IHC
4014-SP
Species: Hu
Applications: BA
7150-RS/CF
Species: Mu
Applications: BA
NLS1633
Species: Hu, Po, Pm, Pm-Or, Rb
Applications: IHC

Publications for Lgr4/GPR48 Antibody (NLS1633) (0)

There are no publications for Lgr4/GPR48 Antibody (NLS1633).
By submitting your publication information earn gift cards and discounts for future purchases.

Reviews for Lgr4/GPR48 Antibody (NLS1633) (0)

There are no reviews for Lgr4/GPR48 Antibody (NLS1633). By submitting a review you will receive an Amazon e-Gift Card or Novus Product Discount.
  • Review with no image -- $10/€7/£6/$10 CAD/¥70 Yuan/¥1110 Yen
  • Review with an image -- $25/€18/£15/$25 CAD/¥150 Yuan/¥2500 Yen

Product General Protocols

View specific protocols for Lgr4/GPR48 Antibody (NLS1633): Find general support by application which include: protocols, troubleshooting, illustrated assays, videos and webinars.

FAQs for Lgr4/GPR48 Antibody (NLS1633) (0)

There are no specific FAQs related to this product. Read our general customer & technical service FAQs.

Secondary Antibodies

 

Isotype Controls

Additional Lgr4/GPR48 Products

Research Areas for Lgr4/GPR48 Antibody (NLS1633)

Find related products by research area.

Blogs on Lgr4/GPR48

There are no specific blogs for Lgr4/GPR48, but you can read our latest blog posts.

Contact Information

Product PDFs

Calculators

Concentration Calculator

The concentration calculator allows you to quickly calculate the volume, mass or concentration of your vial. Simply enter your mass, volume, or concentration values for your reagent and the calculator will determine the rest.

=
÷

Review this Product

Be the first to review our Lgr4/GPR48 Antibody and receive a gift card or discount.

Bioinformatics

Gene Symbol LGR4
Entrez