KLHDC9 Antibody - BSA Free

Images

 
Western Blot: KLHDC9 Antibody [NBP2-48547] - Analysis in control (vector only transfected HEK293T lysate) and KLHDC9 over-expression lysate (Co-expressed with a C-terminal myc-DDK tag (3.1 kDa) in mammalian HEK293T ...read more
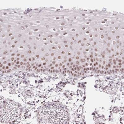
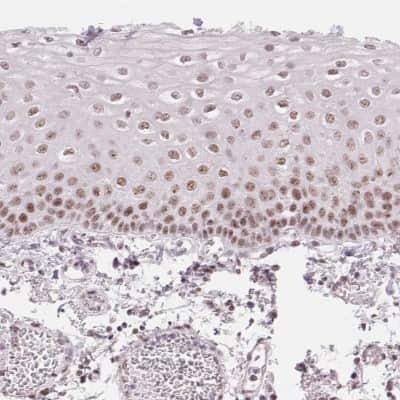
Immunohistochemistry: KLHDC9 Antibody [NBP2-48547] - Staining of human esophagus shows moderate nuclear/nucleolar positivity in squamous epithelial cells.

Product Details

Summary
Reactivity HuSpecies Glossary
Applications WB, IHC
Clonality
Polyclonal
Host
Rabbit
Conjugate
Unconjugated
Format
BSA Free

Order Details

View Available Formulations
Catalog# & Formulation Size Price

KLHDC9 Antibody - BSA Free Summary

Description
Novus Biologicals Rabbit KLHDC9 Antibody - BSA Free (NBP2-48547) is a polyclonal antibody validated for use in IHC and WB. All Novus Biologicals antibodies are covered by our 100% guarantee.
Immunogen
This antibody was developed against a recombinant protein corresponding to amino acids: QEGCHTASRSGHCAALLQTPGPHPGHQLLLFGGCNLAEPEVAGHWSHGKIKEEPPVAPHLMEQLARLVSSGQ
Isotype
IgG
Clonality
Polyclonal
Host
Rabbit
Gene
KLHDC9
Purity
Immunogen affinity purified
Innovator's Reward
Test in a species/application not listed above to receive a full credit towards a future purchase.

Applications/Dilutions

Dilutions
  • Immunohistochemistry 1:200 - 1:500
  • Immunohistochemistry-Paraffin 1:200 - 1:500
  • Western Blot 0.04-0.4 ug/ml
Application Notes
For IHC-Paraffin, HIER pH 6 retrieval is recommended.
Control Peptide
KLHDC9 Recombinant Protein Antigen (NBP2-48547PEP)

Reactivity Notes

Mouse (85%), Rat (83%)

Packaging, Storage & Formulations

Storage
Store at 4C short term. Aliquot and store at -20C long term. Avoid freeze-thaw cycles.
Buffer
PBS (pH 7.2) and 40% Glycerol
Preservative
0.02% Sodium Azide
Purity
Immunogen affinity purified

Alternate Names for KLHDC9 Antibody - BSA Free

  • KARCA1Kelch/ankyrin repeat-containing cyclin A1-interacting protein
  • kelch domain containing 9
  • kelch domain-containing protein 9
  • MGC33338
  • RP11-544M22.9

Limitations

This product is for research use only and is not approved for use in humans or in clinical diagnosis. Primary Antibodies are guaranteed for 1 year from date of receipt.

Customers Who Viewed This Item Also Viewed...

NBP2-00776
Species: Ca, Hu, Pm, Mu, Rt
Applications: Flow, ICC/IF, IHC,  IHC-P, WB
MAB7046
Species: Hu
Applications: IHC, WB
NBP2-16686
Species: Hu
Applications: ICC/IF, IHC,  IHC-P, KO, WB
NBP2-49118
Species: Hu
Applications: IHC,  IHC-P
NBP1-90960
Species: Hu
Applications: IHC,  IHC-P
NBP1-82698
Species: Hu
Applications: IHC,  IHC-P
NBP3-48675
Species: Hu, Mu, Rt, Ze
Applications: ICC/IF, IHC,  IHC-P, WB
NBP2-34247
Species: Ch(-), Hu, Mu(-), Pm, Rt(-)
Applications: Flow-IC, Flow, ICC/IF

Publications for KLHDC9 Antibody (NBP2-48547) (0)

There are no publications for KLHDC9 Antibody (NBP2-48547).
By submitting your publication information earn gift cards and discounts for future purchases.

Reviews for KLHDC9 Antibody (NBP2-48547) (0)

There are no reviews for KLHDC9 Antibody (NBP2-48547). By submitting a review you will receive an Amazon e-Gift Card or Novus Product Discount.
  • Review with no image -- $10/€7/£6/$10 CAD/¥70 Yuan/¥1110 Yen
  • Review with an image -- $25/€18/£15/$25 CAD/¥150 Yuan/¥2500 Yen

Product General Protocols

Find general support by application which include: protocols, troubleshooting, illustrated assays, videos and webinars.

Video Protocols

WB Video Protocol

FAQs for KLHDC9 Antibody (NBP2-48547) (0)

There are no specific FAQs related to this product. Read our general customer & technical service FAQs.

Customers Who Bought This Also Bought

Contact Information

Product PDFs

Calculators

Concentration Calculator

The concentration calculator allows you to quickly calculate the volume, mass or concentration of your vial. Simply enter your mass, volume, or concentration values for your reagent and the calculator will determine the rest.

=
÷

Review this Product

Be the first to review our KLHDC9 Antibody - BSA Free and receive a gift card or discount.

Bioinformatics

Gene Symbol KLHDC9