ILF2 Antibody (JU50-33) Summary
| Additional Information |
Recombinant Monoclonal Antibody. |
| Immunogen |
Synthetic peptide within Human ILF2 aa 245-294 / 390. (SwissProt: Q12905 Human; SwissProt: Q9CXY6 Mouse; SwissProt: Q7TP98 Rat) |
| Localization |
Nucleus. Cytoplasm. |
| Isotype |
IgG |
| Clonality |
Monoclonal |
| Host |
Rabbit |
| Gene |
ILF2 |
| Purity |
Protein A purified |
| Innovator's Reward |
Test in a species/application not listed above to receive a full credit towards a future purchase. |
Applications/Dilutions
| Dilutions |
- Flow Cytometry 1:50-1:100
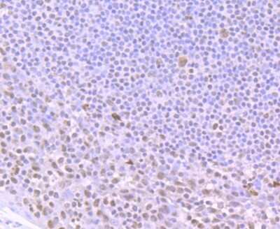
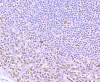
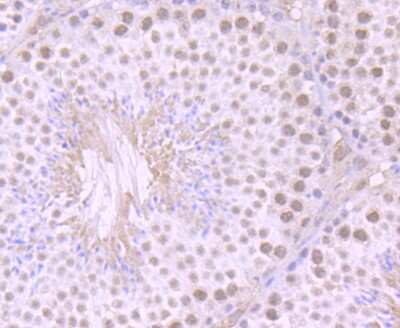
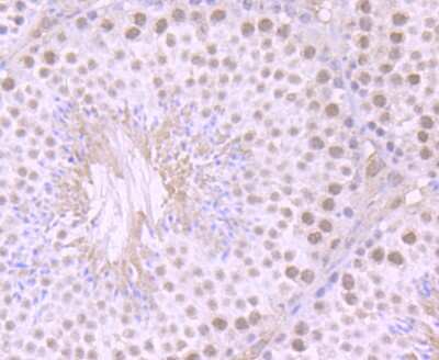
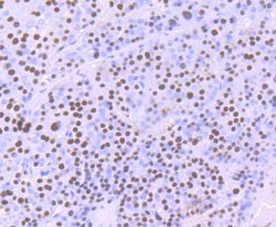
- Immunohistochemistry-Paraffin 1:50-1:200
- Immunoprecipitation 1:10-1:20
- Western Blot 1:500
|
| Theoretical MW |
43 kDa. Disclaimer note: The observed molecular weight of the protein may vary from the listed predicted molecular weight due to post translational modifications, post translation cleavages, relative charges, and other experimental factors. |
Packaging, Storage & Formulations
| Storage |
Store at 4C short term. Aliquot and store at -20C long term. Avoid freeze-thaw cycles. |
| Buffer |
TBS (pH7.4), 0.05% BSA, 40% Glycerol |
| Preservative |
0.05% Sodium Azide |
| Concentration |
1 mg/ml |
| Purity |
Protein A purified |
Alternate Names for ILF2 Antibody (JU50-33)
Background
Nuclear factor of activated T-cells (NFAT) is a transcription factor required for T-cell expression of the interleukin 2 gene. NFAT binds to a sequence in the interleukin 2 gene enhancer known as the antigen receptor response element 2. In addition, NFAT can bind RNA and is an essential component for encapsidation and protein priming of hepatitis B viral polymerase. NFAT is a heterodimer of 45 kDa and 90 kDa proteins, the smaller of which is the product of this gene. The encoded protein binds strongly to the 90 kDa protein and stimulates its ability to enhance gene expression. [provided by RefSeq]
Limitations
This product is for research use only and is not approved for use in humans or in clinical diagnosis. Primary Antibodies are
guaranteed for 1 year from date of receipt.
Customers Who Viewed This Item Also Viewed...
Species: Hu
Applications: ICC/IF, IHC, IHC-P, WB
Species: Hu
Applications: BA
Species: Hu
Applications: ELISA, ICC/IF, IHC, IHC-P, WB
Species: Hu
Applications: ICC, IP, Simple Western, WB
Species: Hu, Mu, Rt
Applications: Simple Western, WB
Species: Hu
Applications: ELISA, ICC/IF, IHC, IHC-P, QFN, S-ELISA, WB
Species: Hu, Mu, Rt
Applications: IHC, WB
Species: Hu
Applications: IHC, IHC-P
Species: Hu, Mu
Applications: ICC/IF, IHC, IHC-P, IP, KD, WB
Species: Hu
Applications: ELISA, ICC/IF, IHC, IHC-P, WB
Species: Hu, Mu
Applications: B/N, ChIP, Func, ICC/IF, IHC, IHC-P, IP, WB
Species: Mu
Applications: ELISA
Species: Hu, Mu, Rt, Ze
Applications: ICC/IF, IHC, IHC-Fr, IP, WB
Species: Hu, Mu, Rt
Applications: ICC/IF, IHC, IHC-Fr, IHC-P, IP, Simple Western, WB
Species: Hu
Applications: ELISA, ICC/IF, IP, S-ELISA, WB
Species: Hu
Applications: ELISA, ICC/IF, IHC, IHC-P, S-ELISA, WB
Species: Hu, Pm
Applications: Flow, ICC/IF, IHC, IHC-P, WB
Species: Hu, Mu, Rt
Applications: WB, Flow, IHC, IP
Publications for ILF2 Antibody (NBP2-75539) (0)
There are no publications for ILF2 Antibody (NBP2-75539).
By submitting your publication information earn gift cards and discounts for future purchases.
Reviews for ILF2 Antibody (NBP2-75539) (0)
There are no reviews for ILF2 Antibody (NBP2-75539).
By submitting a review you will receive an Amazon e-Gift Card or Novus Product Discount.
- Review with no image -- $10/€7/£6/$10 CAD/¥70 Yuan/¥1110 Yen
- Review with an image -- $25/€18/£15/$25 CAD/¥150 Yuan/¥2500 Yen
Product General Protocols
Find general support by application which include: protocols, troubleshooting, illustrated assays, videos and webinars.
Video Protocols
FAQs for ILF2 Antibody (NBP2-75539) (0)
Secondary Antibodies
| |
Isotype Controls
|
Additional ILF2 Products
Blogs on ILF2