HIST1H3A [p Ser10] Antibody (rPHH3/6824) - Azide and BSA Free

Images

 
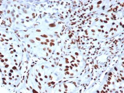
Immunohistochemistry-Paraffin: HIST1H3A [p Ser10] Antibody (rPHH3/6824) - Azide and BSA Free [NBP3-14043] - Formalin-fixed, paraffin-embedded human bladder stained with HIST1H3A [p Ser10] antibody (rPHH3/6824).

Product Details

Summary
Reactivity HuSpecies Glossary
Applications IHC
Clone
rPHH3/6824
Clonality
Monoclonal
Host
Mouse
Conjugate
Unconjugated
Format
Azide and BSA Free
Concentration
1 mg/ml

Order Details

HIST1H3A [p Ser10] Antibody (rPHH3/6824) - Azide and BSA Free Summary

Description
1.0 mg/ml of antibody purified from Bioreactor Concentrate by Protein A/G. Prepared in 1mM PBS WITHOUT BSA & azide. Also available at 200 ug/ml WITH BSA & azide (NBP3-13802).

Antibody with azide - store at 2 to 8C. Antibody without azide - store at -20 to -80 C.
Additional Information
Recombinant Monoclonal Antibody
Immunogen
A synthetic peptide corresponding to (ARK-pS-TGGKAPRKQLc) of Phosphohistone H3 (phospho S10) (Uniprot: P68431)
Modification
p Ser10
Localization
Nucleus, Chromosome
Marker
Nuclear Marker
Specificity
Phosphohistone H3 (PHH3) is a marker specific for cells undergoing mitosis. Serine 10 of Histone H3 is phosphorylated in association with mitotic chromatin condensation in late G2 and M phase of the cell cycle and thus, PHH3 can distinguish mitosis from apoptotic nuclei. The range of percentage PHH3 positive tumor nuclei was from 0.0 to 6.6% (median value 0.8%). Increased expression of PHH3was significantly associated with tumor thickness (p = 0.031), presence of tumor ulceration (p =0.041) and tumor necrosis (p =0.027), but not with Clarks level of invasion. High levels of PHH3 was associated with increased mitotic count (p = 0.003) and high Ki-67 expression (p = 0.002). For central nervous system tumors, melanoma, soft tissue tumors, GIST, etc., PHH3 mAb is helpful for tumor pathological classification and prognosis.
Isotype
IgG1 Kappa
Clonality
Monoclonal
Host
Mouse
Gene
H3C1
Purity
Protein A or G purified
Innovator's Reward
Test in a species/application not listed above to receive a full credit towards a future purchase.

Applications/Dilutions

Dilutions
  • Immunohistochemistry-Paraffin 1-2 ug/ml
Application Notes
Immunohistochemistry (Formalin-fixed): 1-2ug/ml for 30 minutes at RT. Staining of formalin-fixed tissues requires heating tissue sections in 10mM Tris with 1mM EDTA, pH 9.0, for 45 min at 95C followed by cooling at RT for 20 minutes
Theoretical MW
15 kDa.
Disclaimer note: The observed molecular weight of the protein may vary from the listed predicted molecular weight due to post translational modifications, post translation cleavages, relative charges, and other experimental factors.

Packaging, Storage & Formulations

Storage
Store at -20 to -80C. Avoid freeze-thaw cycles.
Buffer
1mM PBS
Preservative
No Preservative
Concentration
1 mg/ml
Purity
Protein A or G purified

Alternate Names for HIST1H3A [p Ser10] Antibody (rPHH3/6824) - Azide and BSA Free

  • H3 histone family, member A
  • H3/A
  • H3FAHIST1H3E
  • H3FB
  • H3FC
  • H3FD
  • H3FF
  • H3FH
  • H3FI
  • H3FJ
  • H3FK
  • H3FL
  • HIST1H3B
  • HIST1H3C
  • HIST1H3D
  • HIST1H3F
  • HIST1H3G
  • HIST1H3H
  • HIST1H3I
  • HIST1H3J
  • histone 1, H3a
  • histone cluster 1, H3a
  • histone H3.1
  • Histone H3/a
  • Histone H3/b
  • Histone H3/c
  • Histone H3/d
  • Histone H3/f
  • Histone H3/h
  • Histone H3/i
  • Histone H3/j
  • Histone H3/k
  • Histone H3/l

Limitations

This product is for research use only and is not approved for use in humans or in clinical diagnosis. Primary Antibodies are guaranteed for 1 year from date of receipt.

Customers Who Viewed This Item Also Viewed...

NBP2-06572
Species: Hu
Applications: WB
NBP2-07996
Species: Hu
Applications: WB
NBP2-52486
Species: Hu
Applications: CyTOF-ready, ELISA, Flow, ICC/IF, IHC,  IHC-P, WB
NBP1-85351
Species: Hu, Mu, Rt
Applications: ICC/IF, IHC,  IHC-P, WB
NLS3775
Species: Hu, Pm
Applications: ICC/IF, IHC,  IHC-P
H00003021-M01
Species: Bv, Dr, Hu, Mu, Xp
Applications: ELISA, ICC/IF, IHC,  IHC-P, KO, WB
NBP3-04894
Species: Hu
Applications: ELISA, IHC,  IHC-P, KO, WB
NB500-171
Species: Hu, I, Mu, Rt, Xp, Ye
Applications: ChIP, IB, ICC/IF, IHC,  IHC-P, Single-Cell Western, WB
NBP2-52483
Species: Hu, Mu, Rt
Applications: CyTOF-ready, ELISA, Flow, WB
H00029883-M01
Species: Hu, Mu, Rt
Applications: ELISA, ICC/IF, S-ELISA, WB
NB500-212
Species: Hu
Applications: ICC/IF, IP, KD, WB
NBP3-48615
Species: Hu, Mu, Rt
Applications: ICC/IF, IHC,  IHC-P, WB
NBP1-83077
Species: Hu
Applications: ICC/IF, IHC,  IHC-P, KD, WB
NB500-207
Species: Hu
Applications: ICC/IF, IP, WB
H00008815-M01
Species: Hu
Applications: ELISA, ICC/IF, IHC,  IHC-P, S-ELISA, WB
NB100-59787
Species: Hu, Mu
Applications: Flow, IB, ICC/IF, IHC,  IHC-P, IP, KD, PLA, WB

Publications for HIST1H3A Antibody (NBP3-14043) (0)

There are no publications for HIST1H3A Antibody (NBP3-14043).
By submitting your publication information earn gift cards and discounts for future purchases.

Reviews for HIST1H3A Antibody (NBP3-14043) (0)

There are no reviews for HIST1H3A Antibody (NBP3-14043). By submitting a review you will receive an Amazon e-Gift Card or Novus Product Discount.
  • Review with no image -- $10/€7/£6/$10 CAD/¥70 Yuan/¥1110 Yen
  • Review with an image -- $25/€18/£15/$25 CAD/¥150 Yuan/¥2500 Yen

Product General Protocols

Find general support by application which include: protocols, troubleshooting, illustrated assays, videos and webinars.

FAQs for HIST1H3A Antibody (NBP3-14043) (0)

There are no specific FAQs related to this product. Read our general customer & technical service FAQs.

Secondary Antibodies

 

Isotype Controls

Additional HIST1H3A Products

Research Areas for HIST1H3A Antibody (NBP3-14043)

Find related products by research area.

Blogs on HIST1H3A

There are no specific blogs for HIST1H3A, but you can read our latest blog posts.

Customers Who Bought This Also Bought

Contact Information

Product PDFs

Calculators

Concentration Calculator

The concentration calculator allows you to quickly calculate the volume, mass or concentration of your vial. Simply enter your mass, volume, or concentration values for your reagent and the calculator will determine the rest.

=
÷

Review this Product

Be the first to review our HIST1H3A [p Ser10] Antibody (rPHH3/6824) - Azide and BSA Free and receive a gift card or discount.

Bioinformatics

Gene Symbol H3C1