HIST1H3A Antibody (CL4967) - Azide and BSA Free

Images

 
Staining of human cerebellum shows strong nuclear immunoreactivity in neuronal and glial cells.
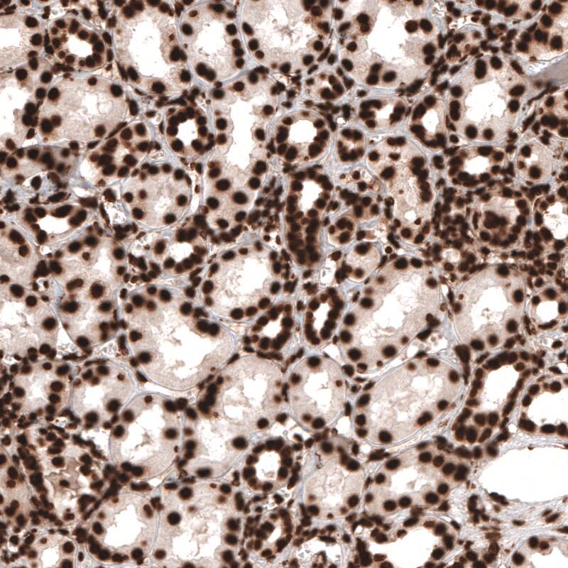
Staining of human kidney shows strong nuclear positivity in renal tubules cells.
Staining of human endometrium shows strong nuclear positivity in glandular and stromal cells.
Analysis in mouse cell line NIH-3T3 and rat cell line NBT-II.
Staining of U-2 OS cells using the Anti-HIST1H3A monoclonal antibody) .
Analysis of purified human recombinant histone H3, CenH3, H3.3, H2A, H2B and H4.
Staining of human testis shows strong nuclear positivity in cells in seminiferous tubules.
Analysis in human cell line HeLa.

Product Details

Summary
Reactivity Hu, Mu, RtSpecies Glossary
Applications WB, ICC/IF, IHC
Clone
CL4967
Clonality
Monoclonal
Host
Mouse
Conjugate
Unconjugated
Format
Azide and BSA Free
Concentration
LYOPH

Order Details

HIST1H3A Antibody (CL4967) - Azide and BSA Free Summary

Description
Novus Biologicals Mouse HIST1H3A Antibody (CL4967) - Azide and BSA Free (NBP2-61150) is a monoclonal antibody validated for use in IHC, WB and ICC/IF. All Novus Biologicals antibodies are covered by our 100% guarantee.
Immunogen
This antibody was generated using a synthetic peptide of P68431, with the exact immunogen sequence remaining proprietary.
Isotype
IgG2a
Clonality
Monoclonal
Host
Mouse
Gene
H3C1
Purity
Protein A purified
Innovator's Reward
Test in a species/application not listed above to receive a full credit towards a future purchase.

Applications/Dilutions

Dilutions
  • Immunocytochemistry/ Immunofluorescence 2-10 ug/ml
  • Immunohistochemistry-Paraffin 1:10000 - 1:20000
  • Western Blot 1 ug/ml
Application Notes
For IHC-Paraffin, HIER pH 6 retrieval is recommended. For Immunocytochemistry/ Immunofluorescence/IF, PFA/Triton X-100 is recommended for fixation/permeabilization.

Packaging, Storage & Formulations

Storage
Store at 4C short term. Aliquot and store at -20C long term. Avoid freeze-thaw cycles.
Buffer
Lyophilized from a 0.2 um filtered solution in PBS with Trehalose
Preservative
No Preservative
Concentration
LYOPH
Purity
Protein A purified
Reconstitution Instructions
Centrifuge the vial of lyophilized antibody at 12,000 x g for 20 seconds. Reconstitute by adding sterile, distilled water to achieve a final antibody concentration of 1mg/ml.

Alternate Names for HIST1H3A Antibody (CL4967) - Azide and BSA Free

  • H3 histone family, member A
  • H3/A
  • H3FAHIST1H3E
  • H3FB
  • H3FC
  • H3FD
  • H3FF
  • H3FH
  • H3FI
  • H3FJ
  • H3FK
  • H3FL
  • HIST1H3B
  • HIST1H3C
  • HIST1H3D
  • HIST1H3F
  • HIST1H3G
  • HIST1H3H
  • HIST1H3I
  • HIST1H3J
  • histone 1, H3a
  • histone cluster 1, H3a
  • histone H3.1
  • Histone H3/a
  • Histone H3/b
  • Histone H3/c
  • Histone H3/d
  • Histone H3/f
  • Histone H3/h
  • Histone H3/i
  • Histone H3/j
  • Histone H3/k
  • Histone H3/l

Limitations

This product is for research use only and is not approved for use in humans or in clinical diagnosis. Primary Antibodies are guaranteed for 1 year from date of receipt.

Customers Who Viewed This Item Also Viewed...

NBP2-06572
Species: Hu
Applications: WB
NBP2-07996
Species: Hu
Applications: WB
NBP2-52486
Species: Hu
Applications: CyTOF-ready, ELISA, Flow, ICC/IF, IHC,  IHC-P, WB
NBP1-85351
Species: Hu, Mu, Rt
Applications: ICC/IF, IHC,  IHC-P, WB
NLS3775
Species: Hu, Pm
Applications: ICC/IF, IHC,  IHC-P
H00003021-M01
Species: Bv, Dr, Hu, Mu, Xp
Applications: ELISA, ICC/IF, IHC,  IHC-P, KO, WB
NBP3-04894
Species: Hu
Applications: ELISA, IHC,  IHC-P, KO, WB
NB500-171
Species: Hu, I, Mu, Rt, Xp, Ye
Applications: ChIP, IB, ICC/IF, IHC,  IHC-P, Single-Cell Western, WB
NBP2-52483
Species: Hu, Mu, Rt
Applications: CyTOF-ready, ELISA, Flow, WB
H00029883-M01
Species: Hu, Mu, Rt
Applications: ELISA, ICC/IF, S-ELISA, WB
NB500-212
Species: Hu
Applications: ICC/IF, IP, KD, WB
NBP3-48615
Species: Hu, Mu, Rt
Applications: ICC/IF, IHC,  IHC-P, WB
NBP1-83077
Species: Hu
Applications: ICC/IF, IHC,  IHC-P, KD, WB
NB500-207
Species: Hu
Applications: ICC/IF, IP, WB
H00008815-M01
Species: Hu
Applications: ELISA, ICC/IF, IHC,  IHC-P, S-ELISA, WB
NB100-59787
Species: Hu, Mu
Applications: Flow, IB, ICC/IF, IHC,  IHC-P, IP, KD, PLA, WB

Publications for HIST1H3A Antibody (NBP3-44249) (0)

There are no publications for HIST1H3A Antibody (NBP3-44249).
By submitting your publication information earn gift cards and discounts for future purchases.

Reviews for HIST1H3A Antibody (NBP3-44249) (0)

There are no reviews for HIST1H3A Antibody (NBP3-44249). By submitting a review you will receive an Amazon e-Gift Card or Novus Product Discount.
  • Review with no image -- $10/€7/£6/$10 CAD/¥70 Yuan/¥1110 Yen
  • Review with an image -- $25/€18/£15/$25 CAD/¥150 Yuan/¥2500 Yen

Product General Protocols

Find general support by application which include: protocols, troubleshooting, illustrated assays, videos and webinars.

Video Protocols

WB Video Protocol
ICC/IF Video Protocol

FAQs for HIST1H3A Antibody (NBP3-44249) (0)

There are no specific FAQs related to this product. Read our general customer & technical service FAQs.

Secondary Antibodies

 

Isotype Controls

Additional HIST1H3A Products

Research Areas for HIST1H3A Antibody (NBP3-44249)

Find related products by research area.

Blogs on HIST1H3A

There are no specific blogs for HIST1H3A, but you can read our latest blog posts.

Customers Who Bought This Also Bought

Contact Information

Product PDFs

Calculators

Concentration Calculator

The concentration calculator allows you to quickly calculate the volume, mass or concentration of your vial. Simply enter your mass, volume, or concentration values for your reagent and the calculator will determine the rest.

=
÷

Review this Product

Be the first to review our HIST1H3A Antibody (CL4967) - Azide and BSA Free and receive a gift card or discount.

Bioinformatics

Gene Symbol H3C1